Salta al contenuto principale

Ricerca

User account menu

  • Accedi
  • News
    • Tutte le News
    • Associazione
    • Dalle aziende
    • Eventi
    • Interviste
  • Confronti
  • Annunci
  • Eventi
  • Focus
  • INFODENT Rivista
    • Leggi la rivista
    • Archivio
    • Storia
  • articoli
  • video
  • aziende
  • chi siamo
  • contatti
  • Accedi
Home

Light menu

  • La Rivista
  • News
  • Articoli
  • Confronti
  • Annunci
  • Eventi
  • Focus

Briciole di pane

  1. Home
  2. News
  3. Igiene Dentale
NEWS
Igiene dentale
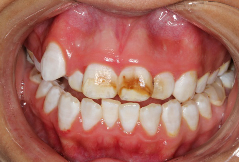
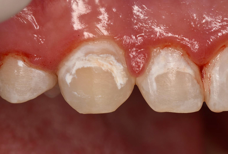
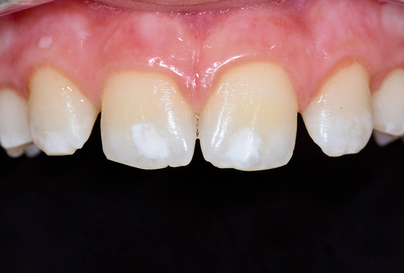
Infiltrazione resinosica per il trattamento non invasivo delle lesioni ipocalcifiche
Igiene dentale
Infiltrazione resinosica per il trattamento non invasivo delle lesioni ipocalcifiche
23 Dicembre 2025
ClinCheck
Igiene dentale
Predicibilità di ClinCheck nella correzione dell'overbite con allineatori
13 Novembre 2025
Curodont Repair approccio non invasivo alle lesioni cariosi iniziali
Igiene dentale
Curodont Repair: un approccio non invasivo alle lesioni cariosi iniziali
27 Ottobre 2025
Discromie dentali tecniche di intervento
Igiene dentale
Tecniche di intervento e gestione clinica delle discromie dentali
08 Settembre 2025
Approccio mini invasivo della TPNC e presidi domiciliari per il mantenimento dell'eubiosi sistemica nei pazienti diabetici di tipo 1
Igiene dentale
TPNC e presidi domiciliari per il mantenimento dell'eubiosi sistemica nei pazienti diabetici di tipo 1
15 Luglio 2025
i probiotici nel trattamento parodontale non chirurgico
Igiene dentale
Le nuove tecnologie a disposizione dell'igienista dentale nell'era del microbioma
09 Giugno 2025
Efficacia di Olio ozonizzato
Igiene dentale
Efficacia di olio ozonizzato e clorexidina digluconato allo 0,12% nella terapia parodontale non chirurgica
22 Aprile 2025
Primo piano di ragazza con tatuaggio dentale
Igiene dentale
Modifiche dentali estetiche: tra tendenza e rischi per la salute orale
26 Marzo 2025
valutazione radiografica
Igiene dentale
Terapia non chirurgica di peri-implantite con fotodinamica di II generazione
25 Febbraio 2025
Osteonecrosi della mandibola
Igiene dentale
Osteonecrosi della mandibola e del mascellare superiore (onj - osteonecrosis of the jaw)
30 Settembre 2024
probiotici
Igiene dentale
Il ruolo dei probiotici nella modificazione del microbiota orale in pazienti parodontali fumatori, diabetici e cardiopatici
27 Giugno 2024
probiotici
Igiene dentale
Il ruolo dei probiotici nella modificazione del microbiota orale in pazienti parodontali fumatori, diabetici e cardiopatici
23 Maggio 2024
carica di più
Casi clinici sull'applicazione della tecnologia QFL per il trattamento delle lesioni dello smalto
Igiene dentale
Casi clinici sull'applicazione della tecnologia QFL per il trattamento delle lesioni dello smalto
16 Maggio 2024
lesioni dello smalto
Igiene dentale
Applicazione della Fluorescenza quantitativa indotta per il trattamento delle lesioni dello smalto
03 Maggio 2024
lesioni dello smalto
Igiene dentale
Applicazione della Fluorescenza quantitativa indotta per il trattamento delle lesioni dello smalto
24 Aprile 2024

Info e condizioni

  • Regolamento annunci
  • Certificazioni
  • Privacy policy
  • Cookies policy
  • Gestione preferenze

Sitemap

  • Home
  • Rivista
  • News
  • Articoli
  • Focus
  • Confronti
  • Eventi
  • Annunci
  • Video
  • Aziende

I nostri siti

  • Bplus - Comunicazione Odontoiatrica e Medicale
  • La storia di Infodent
  • Schede di sicurezza
  • Contatti

Logo BPlus

INFODENT® è un prodotto editoriale di Bplus
Seguici sui social
        
Reg. tribunale di Viterbo al n. 9/17 del Registro Stampa V.G. 1808/16 - P.IVA 13609231009