Curodont Repair: un approccio non invasivo alle lesioni cariosi iniziali
Curodont Repair approccio non invasivo alle lesioni cariosi iniziali
Quando l'innovazione incontra l'efficacia.

Pietro Giulia, Modaffari Carola, Pianigiani Sara, Grasso Gianluca, Annamaria Genovesi.

Istituto Stomatologico Toscano.


 

Le White Spot Lesions, sono la prima evidenza di carie dello smalto, si tratta di lesioni che diventano evidenti nel momento in cui la quantità di minerali persi supera la quantità di minerali acquisiti.
Queste, rappresentano una condizione clinica molto frequente, soprattutto nei pazienti pediatrici e nei soggetti sottoposti a trattamento ortodontico. La perdita di integrità dello strato superficiale dello smalto si manifesta clinicamente come porosità e ruvidità oltre all’alterazione cromatica.

In assenza di trattamento, la perdita di minerali proseguirà fino a provocare il collassamento del sottile strato superficiale indenne e la conseguente formazione di cavità cariose identificabili come lesioni ICDAS - II grado 1 e 2.
Al contempo, se intercettate precocemente, possono essere trattate senza ricorrere a procedure restaurative. In questo scenario si colloca Curodont Repair VVardis, un presidio innovativo basato su una tecnologia peptidica biomimetica che favorisce la remineralizzazione dello smalto.

 

Lo studio clinico

Un recente studio sperimentale in vivo ha valutato l'efficacia di Curodont Repair su un campione di 9 pazienti suddivisi in tre gruppi:

  • bambini con lesioni cariose iniziali su dentizione decidua;
  • adolescenti con ortodonzia fissa multibrackets;
  • pazienti sottoposti a debonding e clean-up ortodontico.

 

Materiali e metodi

I pazienti inclusi all’interno dello studio hanno soddisfatto criteri specifici, tra i quali presenza di almeno due lesioni cariose iniziali delle superfici lisce e occlusali, un alto rischio cariologico (DMF-T/t >1), età compresa tra i 2 e i 12 anni (dentizione mista), P.I. (Indice di placca) < 20%, un controllato introito di carboidrati < 5 gr al giorno un PH salivare compreso tra 6.8 - 7.8 e l’assenza di patologie sistemiche.

Al termine della fase diagnostica, per ogni paziente è stato trattato un elemento con White Spot Lesion, considerato TEST, con Curodont Repair VVardis CURODONT, ed un altro elemento simile, considerato CONTROLLO, non trattato.

A rendere il tutto ancor più interessante ed innovativo, è stata anche la tecnica di valutazione, la quale è avvenuta in tempi precisi attraverso esami obiettivi, valutazione fotografica e l'utilizzo di laser fluorescenza DIAGNOdent Pen KaVo.

I dati raccolti hanno mostrato che, su un campione totale di 9 pazienti, dopo una valutazione a tre mesi dall’applicazione, il presidio medico Curodont Repair, sembrerebbe in grado di arrestare la progressione delle lesioni cariose iniziali in pazienti con P.I. Inferiore al 20% e minimo o nullo introito di carboidrati.

A tre mesi dall’applicazione, la misurazione con Diagnodent pen Kavo ha evidenziato un miglioramento nella remineralizzione delle zone interessate da lesione cariosa iniziale trattate con Curodont Repair. Minore è stato il P.I. e l’introito di carboidrati maggiore è stato il miglioramento della lesione cariosa.

Ma cosa significa per la pratica clinica?

L’impiego di Curodont Repair si propone come un’opzione terapeutica non invasiva, semplice da applicare e ben accettata dai pazienti, soprattutto in:

  • bambini con elevato rischio cariogeno;
  • pazienti ortodontici, in cui le White Spot Lesions sono particolarmente frequenti;
  • situazioni post- debonding, dove è cruciale preservare l'integrità dello smalto.

La possibilità di favorire la remineralizzazione senza ricorrere a restauri rappresenta un vantaggio sia per il clinico sia per il paziente, riducendo i costi biologici e migliorando l'adesione alle cure preventive.

Sebbene si tratti di uno studio condotto su un campione limitato, i risultati preliminari indicano che Curodont Repair può costituire un valido alleato nella gestione delle lesione cariose iniziali.

La sua efficacia sembra essere strettamente correlata alla qualità dell'igiene orale e al controllo dell'assunzione di carboidrati.

Sono auspicabili ulteriori ricerche su campioni più ampi e con follow-up a lungo termine, ma già oggi questo approccio apre la strada a una gestione della carie più conservativa, mirata e rispettosa dei tessuti dentali.

 

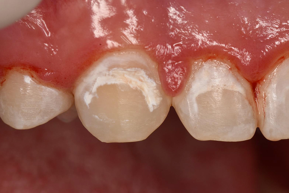
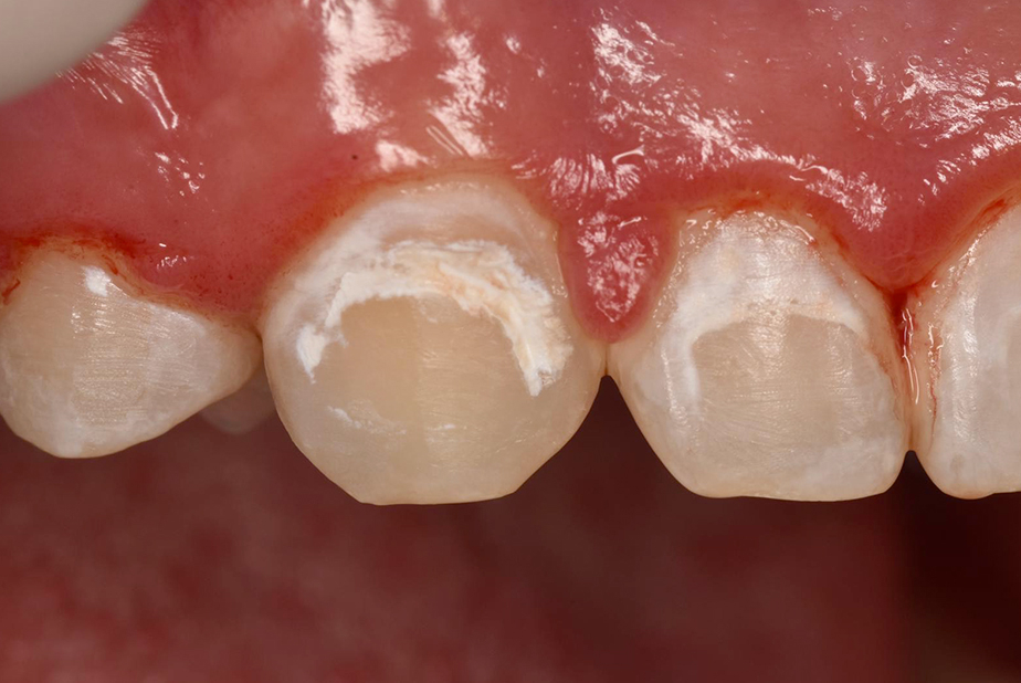
Caso esempio 1

Caso esempio 1

 

Caso esempio 2

Caso esempio 2

 


 

Bibliografia
  • Nardi G.M., Lo smalto dentale: conoscenze e approccio clinico, Ed. Edra, 2024.
  • Cortesi Ardizzone V., Abbinante A., Igienista orale, teoria e pratica professionale, Ed. Edra, 2017. pp. 93\94, 127\131, 134\135
  • Baik A., Alamoudi N., El-Housseiny A., Altuwirgi A., Fluoride Varnishes for Preventing Occlusal Dental Caries: A Review, Dentistry Journal, 64, 2021 Giu.
  • Hujoel PP., Hujoel MLA., Kotsakis GA., Personal oral hygiene and dental caries: A systematic review of randomised controlled trials. Gerodontology. 2018 Dec; 35(4):282-289. doi: 10.1111/ger.12331. Epub 2018 May 15. PMID:29766564.
  • Machiulskiene V., Campus G., Carvalho JC., Dige I., Ekstrand KR., Jablonski-Momeni A., Maltz M., Manton DJ., Martignon S., Martinez-Mier EA., Pitts NB., Schulte AG., Splieth CH., Tenuta LMA., Ferreira Zandona A., Nyvad B., Terminology of Dental Caries and Dental Caries Management: Consensus Report of a Workshop Organized by ORCA and Cariology Research Group of IADR. Caries Res. 2020;54(1):7-14. doi: 10.1159/000503309. Epub 2019 Oct 7. PMID.
  • Monesi V. et al, Istologia, Padova, Piccin Ed. 2018, pp. 512-515.
  • Talwar M., Borzabadi-Farahani A., Lynch E., Borsboom P., Ruben J., Remineralization of Demineralized Enamel and Dentine Using 3 Dentifrices-An InVitro Study. Dent J (Basel). 2019 Sep 2.

 

Materiale informativo
Non ci sono materiali per questa news.
Video
Non ci sono video per questa news.
A cura di
Infodent
Strada Teverina Km 3 , 600
Viterbo (VT)
T. E. contact@bec.it W. https://www.infodent.it