Terapia non chirurgica di peri-implantite con fotodinamica di II generazione
valutazione radiografica

Dr. Giacomo Oldoini1 Rdh Dha Msc, Dr.ssa Silvia Pelle1 Rdh Msc, Dr. Saverio Cosola1 Msc Phd, Prof.ssa Annamaria Genovesi1 Rdh Dha.

1: Fondazione Istituto Stomatologico Toscano Lido di Camaiore (LU)


La peri-implantite è una condizione patologica associata al biofilm batterico, che coinvolge i tessuti attorno agli impianti dentali, caratterizzata dall'infiammazione della mucosa peri-implantare e dal progressivo riassorbimento dell'osso di supporto.
La prevenzione e il trattamento delle patologie infiammatorie peri-implantari, mucosite e peri-implantite, costituiscono una sfida quotidiana per l’odontoiatria moderna, anche e soprattutto vista la loro elevata prevalenza, definita da una recente revisione sistematica rispettivamente del 43% (range: 19 – 65%) e del 22% (range: 1 – 47%).

Come per il binomio gengivite-parodontite, numerose evidenze scientifiche identificano la mucosite peri-implantare come precursore della peri-implantite, sebbene le caratteristiche cliniche e istopatologiche che determinano la conversione dall’una all’altra non siano ancora completamente chiarite.

Le prime evidenze provenienti da studi umani e animali suggerivano una teoria di affinità microbica tra dente e impianto, un paradigma che ha avuto un ruolo cruciale nella ricerca di una terapia per la peri-implantite, che seguisse le orme della terapia parodontale. Tuttavia, negli ultimi anni sono emerse prove che suggeriscono che gli ecosistemi microbiologici peri-implantari e parodontali differiscano sotto molti aspetti, e che gli impianti osseointegrati creino un ambiente microbico specifico, con conseguente adattamento e selezione della componente batterica.

La malattia parodontale e la peri-implantite, differiscono tra di loro anche a livello istopatologico. Nella peri-implantite, infatti, la lesione infiammatoria non risulta "incapsulata" come nella parodontite, ma entra a diretto contatto con l'osso alveolare. Inoltre, l'infiltrato infiammatorio risulta essere quantitativamente il doppio fino anche al triplo rispetto a quello della parodontite. La comprensione di tali differenze è di fondamentale importanza nella pianificazione dei protocolli terapeutici per la peri-implantite.

Essendo mancate fino al recente periodo linee guida cliniche, l’approccio terapeutico impiegato negli anni è sempre stato molto simile a quello utilizzato per la parodontite. Il trattamento della peri-implantite è stato proposto con diverse modalità, tra cui debridement a cielo aperto o chiuso, somministrazione sistemica o locale di antibiotici, innesti ossei, innesti di tessuti molli, e combinazioni di queste terapie.

Sebbene queste tecniche siano altamente efficaci nel trattamento della malattia parodontale, una recente revisione Cochrane suggerisce che nessuna di queste modalità sia efficace quando sono coinvolti i tessuti peri-implantari. Il trattamento delle malattie peri-implantari ad oggi risulta infatti efficace per lo più nel breve termine, con un'alta percentuale di persistenza dell’infiammazione e recidiva. Il comune denominatore tra tutti i protocolli proposti finora per la gestione della peri-implantite è la strumentazione meccanica, atta a rimuovere il biofilm disbiotico dalla superficie dell’impianto e già considerata il gold standard nella terapia parodontale non chirurgica. Tuttavia, la sua efficacia è minata da vari fattori, come la presenza delle spire, la ruvidità della superficie implantare, i diversi tipi di abutment e di protesi, la profondità della tasca peri-implantare e anche possibili reazioni avverse legate ai materiali che fomentino il quadro clinico infiammatorio. Questi fattori hanno spinto molti ricercatori a valutare terapie coadiuvanti per migliorare i risultati della disgregazione meccanica del biofilm, tra cui la somministrazione di antibiotici topici, il cui uso, però, resta controverso. Un recente articolo ha evidenziato infatti il rischio di un'esacerbazione della malattia, associato all'uso indiscriminato di antibiotici, in assenza di un monitoraggio microbiologico adeguato, nel trattamento della peri-implantite. Inoltre le resistenze microbiologiche rappresentano un tema cui l’intera comunità scientifica deve porre particolare attenzione. La letteratura concorda quindi sulla necessità di ampliare la ricerca di strumenti o terapie aggiuntive, che possano garantire una sufficiente decontaminazione e disinfezione dell'impianto, specialmente nei siti difficili da raggiungere e trattare.

 

Terapia fotodinamica (PDT)

In questo contesto, l’uso della terapia fotodinamica (PDT) si presenta come un’alternativa particolarmente valida. Essa si basa sulla reazione di un fotosensibilizzatore (PS), attivato da una fonte di luce con lunghezza d’onda di circa 630-980 nm, che determina la produzione di specie reattive dell’ossigeno (ROS), tossiche per i batteri. Le ROS sono in grado di indurre segnali citotossici, apoptotici e autofagici, provocando la morte cellulare dei microrganismi. Negli ultimi anni, la ricerca ha identificato diverse sostanze fotosensibilizzanti di origine artificiale, come il blu di metilene e il blu di toluidina. Nel caso presentato, si è scelto invece di valutare la terapia fotodinamica di seconda generazione associata all’acido 5-aminolevulinico (ALA), un composto omologo che costituisce una parte integrante del processo metabolico del gruppo EME, che non presenta tossicità rispetto ai fotosensibilizzanti di sintesi. ALA di per sé non è un fotosensibilizzante: viene metabolizzato all’interno dei microorganismi e trasformato in Protoporfirina IX (PpIX), un potente fotosensibilizzante, nell'arco di 45-60 minuti. A differenza dei fotosensibilizzanti sintetici, ALA viene assorbito nell’ interno del biofilm, per cui la reazione fotodinamica ne interessa l’ intero spessore. Il trattamento fotodinamico costituisce una valida, moderna alternativa ai trattamenti antibiotici perché non induce resistenza nei batteri ed ha una azione ad ampio spettro.

In particolare, ci si è proposti di valutare il dispositivo medico Aladent (ALADENT, Alphastrumenti Srl., Melzo (MI), Italia), un gel termosetting contenete ALA al 5%, come adiuvante alla strumentazione meccanica nel trattamento della peri-implantite.

La terapia fotodinamica con ALA è stata sperimentata negli ultimi 10 anni, mostrando un'efficacia significativa nei confronti di un ampio spettro di patogeni, accompagnata da un profilo di sicurezza elevato. Il principale vantaggio della PDT con ALA risiede nella sua selettività: la reazione fotodinamica agisce principalmente sui microrganismi patogeni, riducendo al minimo il rischio di danneggiare i tessuti sani circostanti. In uno studio pubblicato sul Journal of Periodontology nel 2017, è stato evidenziato che l’utilizzo della terapia fotodinamica (PDT) con acido 5-aminolevulinico (ALA) non solo riduce la carica batterica nei siti di peri-implantite, ma favorisce anche una migliore stabilizzazione dei tessuti molli attorno agli impianti. In particolare, l’irradiamento con luce LED rossa a 635 nm, come quello utilizzato con il dispositivo Aladent, ha mostrato di prolungare l’effetto antimicrobico rispetto alle terapie convenzionali, riducendo così la probabilità di recidiva dell’infezione.
Un ulteriore beneficio dell’utilizzo di Aladent è la sua capacità di stimolare la risposta rigenerativa dei tessuti peri-implantari. Sebbene la terapia fotodinamica sia principalmente focalizzata sulla disinfezione, sono emersi anche effetti positivi sulla modulazione della risposta infiammatoria. In particolare, si osserva una riduzione dell’infiammazione locale, accompagnata dalla stimolazione della guarigione dei tessuti molli. Studi su modelli animali, come quello condotto da Barclay et al. (2018), hanno dimostrato che l’applicazione di ALA in combinazione con PDT può ridurre il riassorbimento osseo e migliorare la qualità dei tessuti molli peri-implantari.

Diversi studi clinici recenti hanno documentato significativi miglioramenti nei parametri clinici (PD, BoP) nei pazienti affetti da peri-implantite trattati con Aladent e terapia fotodinamica. Ad esempio, una ricerca pilota randomizzata pubblicata su Clinical Oral Implants Research nel 2019 ha mostrato che i pazienti trattati con una combinazione di debridement meccanico e PDT hanno riportato una riduzione del 50% della profondità della tasca peri-implantare (PD) e una diminuzione significativa del sanguinamento al sondaggio, rispetto ai gruppi trattati con il solo debridement meccanico.
Inoltre, l’uso di Aladent come adiuvante al trattamento meccanico è stato ben tollerato dai pazienti, con pochi effetti collaterali segnalati, tra cui lievi sensazioni di bruciore durante l’applicazione. La formulazione gel termosetting rende l’applicazione del prodotto pratica e sicura, riducendo il rischio di dispersione e garantendo una durata ottimale dell’effetto antimicrobico.

 

Caso clinico

Il caso clinico presentato è una paziente di sesso femminile di 60 anni, in buono stato di salute.

 

Prima seduta

Al baseline (t0) la paziente viene sottoposta a: 

  • valutazione anamnestica e del rischio peri-implantare,
  • status fotografico,
  • rilevamento radiografico con RX periapicali,
  • sondaggio peri-implantare.

All'anamnesi medica e dentale risulta negativa storia di malattia parodontale e non riporta presenza di fattori di rischio sistemici. La paziente aderisce adeguatamente alla terapia domiciliare e alla terapia di supporto professionale. Si sottopone infatti a sedute di igiene orale professionali con cadenza semestrale.

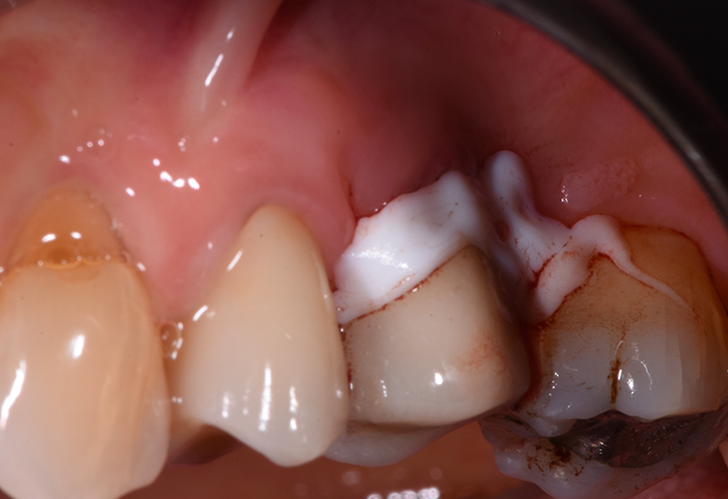
Nell'ultimo anno le è stata riscontrata complicanza a carico dei tessuti peri-implantari di elemento zona 25. L'esame visivo e lo status fotografico (Figs. 1-2) evidenziano un’alterazione dello stato dei tessuti molli peri-implantari, che guida il clinico verso un’indagine più approfondita tramite acquisizione RX. Si esegue perciò esame radiografico del sito coinvolto (Fig. 3), da cui risulta un’importante riassorbimento osseo a carico dell’impianto. Si procede con sondaggio peri-implantare profondo, con la finalità di definire estensione e forma del difetto (Fig. 4) e, associandolo all’esame radiografico, di eseguire la conta delle spire implantari esposte. Tale manovra verrà effettuata con l’impiego di anestetico da irrigazione, data la nota dolorolabilità in peri-implantite, in quanto tale patologia determina la perdita di barriere connettivali e pertanto la penetrazione in osso durante il sondaggio.


fotografia frontale baseline

Fig. 1 - Fotografia frontale al baseline che mostra una situazione generale di sufficiente controllo degli indici infiammatori.

 

Dettaglio dell'elemento interessato da perimplantite

Fig. 2 - Dettaglio dell'elemento interessato da peri-implantite con evidente situazione clinica patologica.

 

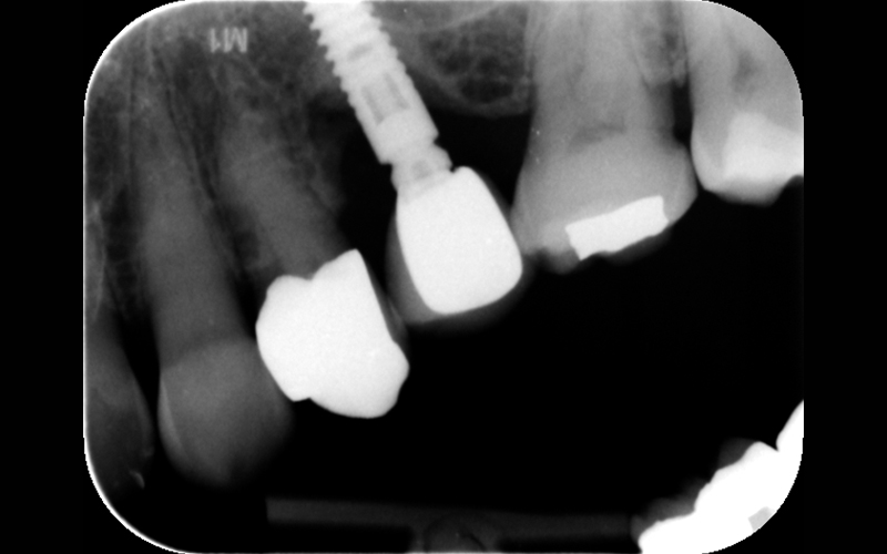
RX al baseline

Fig. 3 - Rx al baseline.

 

Sondaggio perimplantare profondo

Fig. 4 - Sondaggio peri-implantare profondo.

 


I dati raccolti consentono di identificare un difetto con componenti intraossee e sopraossee, scarsamente contenitivo e pertanto ci si aspetta difficile risposta in guarigione non chirurgica. Tuttavia, la presenza di un flusso ematico parodontale consistente degli elementi circostanti e la presenza di un connettivo parodontale interprossimale sano, sono rafforzativi per la scelta di un approccio terapeutico non chirurgico, che scegliamo di performare con terapia fotodinamica di nuova generazione (ALA) a seguito della terapia meccanica di superficie per la disgregazione del biofilm disbiotico. 

L’obiettivo della strumentazione è quello di detergere la superficie implantare preservando il tessuto di granulazione, caratterizzato da una elevata vascolarizzazione e da un abbondante infiltrato di cellule immunitarie, potendo giocare a favore nel processo di riparazione tissutale. Evidenze scientifiche infatti dimostrano che l’asportazione indiscriminata del tessuto di granulazione può compromettere la risposta rigenerativa, ostacolando la guarigione dei tessuti molli e la remineralizzazione ossea peri-implantare. Per raggiungere questo obiettivo utilizziamo curette mini DEPPELER parodontali per il debridement sottogengivale, rivolgendo la parte lavorante della curette verso la superficie implantare e performando movimenti trasversali tra i passi delle spire, poi verticali per lavorare sulle spire stesse.

La decontaminazione incompleta dell'impianto rappresenta la principale causa della limitata prevedibilità della terapia non chirurgica della peri-implantite, vista la complessa topografia delle strutture in titanio e delle anatomie dei difetti ossei. Decidiamo perciò di associare alla strumentazione manuale, la terapia con polveri di glicina (dispositivo Mectron CombiTouch), che sin dalle analisi condotte dai primi anni 2000 risulta essere l’approccio più conservativo ed efficace nella disgregazione del biofilm adeso alla superficie implantare. Si procede quindi con air polishing sottogengivale  impiego di tips dedicati, con digitocompressione esterna del tessuto per evitare danni pressori. Il movimento del tip è apicocoronale e obliquo, l’attivazione dello stesso viene eseguita a una distanza di qualche millimetro dal fondo della tasca e mettendolo in funzione per qualche secondo. 

Alla decontaminazione sottogengivale, si aggiunge lavaggio sopragengivale con polveri di glicina tramite manipolo 120, applicato dalla porzione coronale in direzione del solco, al fine di lavare la tasca perimplantare dai prodotti di scarto della strumentazione.

Si esegue infine irrigazione con acqua ozonizzata. L’ozono, grazie alle sue proprietà antiossidanti, esercita un’azione coadiuvante nelle tasche peri-implantari, inducendo la perossidazione delle membrane cellulari e causando la distruzione di batteri patogeni presenti. Inoltre, l'ozono stimola il microcircolo locale e promuove la sintesi di citochine e fattori di crescita, favorendo il processo rigenerativo dei tessuti molli e ossei compromessi.

 

Seconda seduta

Dopo qualche ora dal baseline (t1), la paziente viene rivista per essere sottoposta a terapia fotodinamica con dispositivo ALADENT. Si consiglia di procedere con questa fase in un secondo momento rispetto alla strumentazione iniziale, su un presupposto di sanguinamento ridotto. Nel nostro caso, la paziente era impossibilitata a presentarsi in clinica il giorno successivo, ma si sarebbe trattato comunque di una tempistica adeguata.

Si inserisce il prodotto a base di ALA, con ago a punta mozza da irrigazione (Fig. 5), avendo cura di irrigare tutta la superficie del difetto. Viene immediatamente realizzato un tappo con diga liquida polimerizzabile per contenere il liquido nel sito (Fig. 6), dopodiché la paziente viene dimessa per un tempo di 45 minuti invitandola a non fare manovre che possano determinare interferenze negative nella zona. Dopo 45 minuti viene riaccomodata la paziente e si inizia attivazione del prodotto con lampada led a luce rossa (TL-01 Alphastrumenti) con lunghezza d'onda 630 nm rispettando un timing di 7 minuti complessivi previsti (corrispondenti ad una dose luminosa di 161 J/cm2). La luce ha ottima potenza e pertanto si riesce ad osservare dal lato palatale la penetrazione  dei fasci luminosi durante l’applicazione vestibolare, viceversa si osserverà durante l’applicazione palatale. A metà del tempo circa, viene rimosso il tappo polimerizzato e si procede con la fotoattivazione.

La dimissione della paziente avviene con indicazione a riprendere le corrette manovre di igiene domiciliare dal giorno successivo:

  • spazzolino con tecnologia sonica PHILIPS Sonicare, con testina gum head, almeno 2 vv/dì, con pressioni gentili e potenza dello spazzolino ridotta, per poi aumentarla col passare dei giorni e risoluzione di eventuale sintomatologia.
  • Istruzione all’uso dello scovolino Emoform n. 4 negli spazi interprossimali, almeno 1 vv/dì.
  • Utilizzo due vv/dì, di dentifricio all’ozono DentO3®, formulato al 2% di olio di semi di girasole ozonizzato, denominato Ozonia 3000, ad elevato carico di ozono (numero perossidi >/= 3000 meqO2/Kg). 
    L’olio vegetale limita la volatilità del principio attivo e ne garantisce una stabilità più elevata rispetto altre formulazioni.

Applicazione di Aladent in tasca perimplantare

Fig. 5 - Applicazione del principio attivo Aladent in tasca peri-implantare.

 

realizzazione di sigillo in materiale fotopolimerizzabile

Fig. 6 - Realizzazione di sigillo in materiale fotopolimerizzabile.

 


Terza/Quarta seduta

A 15 (t2) e a 30 gg (t3) sono state effettuate sedute di controllo intermedie. La rivalutazione a 15 gg consiste in esame visivo, a 30 gg si utilizza sonda parodontale per saggiare lo stato dei tessuti e valutare così un tempo di richiamo adeguato.

In entrambe le occasioni viene eseguito rinforzo motivazionale e controllo della manualità in termini di spazzolamento e uso dello scovolino.

 

Quinta seduta

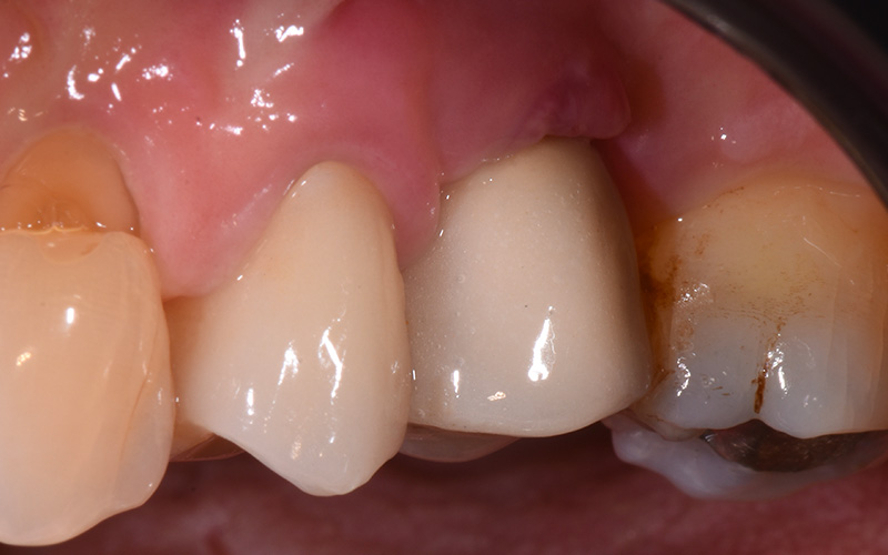
A 3 mesi viene fatto deplaquing di mantenimento e monitorato il sito, che presenta contrazione del tessuto molle adducibile a guarigione in atto, e contenuti indici infiammatori (Fig. 7).

A 6 mesi dal baseline (t4) si esegue rivalutazione. La paziente viene sottoposta a esame radiografico e documentazione fotografica (Figs. 8-9). All’esame visivo i tessuti molli perimplantari si presentano in buono stato, in termini di colore e consistenza. 

All’esame radiografico si apprezza una remineralizzazione dell’osso. Viene valutata dal chirurgo l’eventualità di riposizionamento di tessuto cheratinizzato a gestione della recessione gengivale, ma si decide di aspettare. Il buon mantenimento domiciliare della paziente ha reso sufficiente un air polishing sopragengivale con polvere di glicina, al fine di disgregare eventuale biofilm patogeno, sostenitore di eventuale recidiva. Si esegue anche in questa occasione rinforzo motivazionale.


Rivalutazione a 1 mese

Fig. 7 - Rivalutazione a un mese del sito dove si denota positiva contrazione tissutale e viraggio della colorazione del tessuto.

 

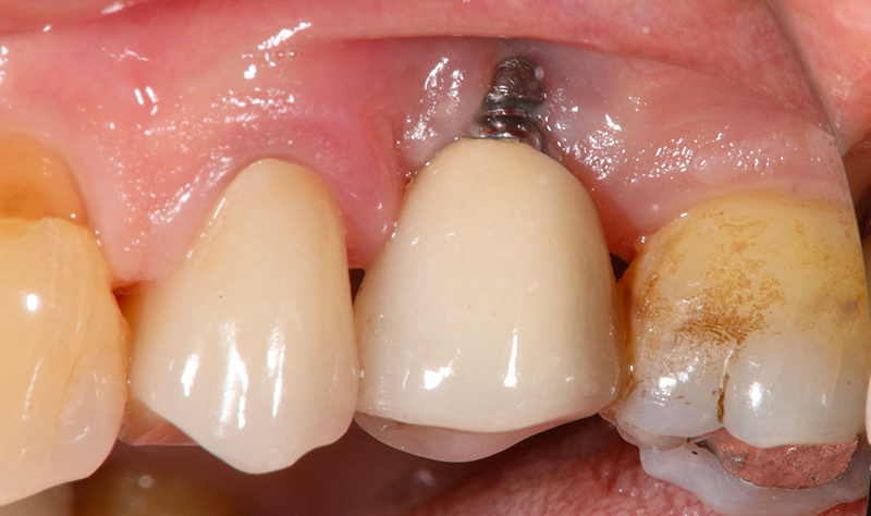
rivalutazione a 6 mesi

Fig. 8 - Rivalutazione fotografica a sei mesi in cui è possibile apprezzare la riorganizzazione dell'architettura gengivale peri-implantare con aumento dei volumi del tessuto nelle aree prossimali alla fixture, accentuata la contrazione nel punto vestibolare.

 

rivalutazione radiografica dei 6 mesi

Fig. 9 - Rivalutazione radiografica dei sei mesi che mostra aumentata mineralità della componente ossea con neotrabecolatura delle aree del difetto.

 


Settima seduta

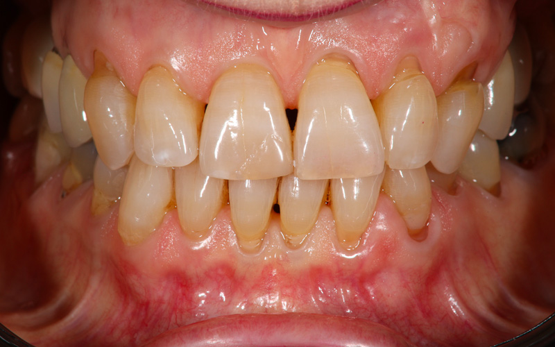
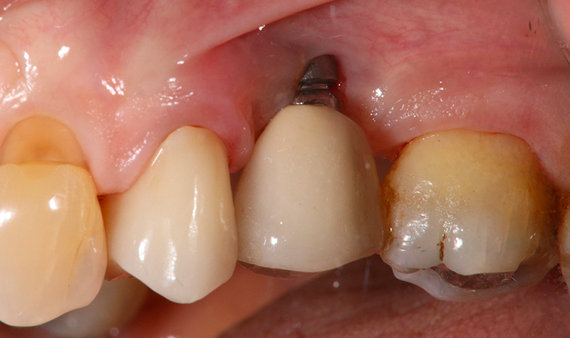
La rivalutazione finale viene eseguita ad 1 aa dal baseline (t5). La paziente viene sottoposta a:

  • documentazione fotografica (Fig. 10),
  • valutazione radiografica del sito implantare trattato (Fig. 11),
  • rinforzo motivazionale.

Si procede poi con seduta di igiene orale professionale e organizzazione dei follow up successivi, stabiliti con cadenza di 3/4 mesi per il primo anno post terapia.


Rivalutazione fotografica a 1 anno

Fig. 10 - Rivalutazione fotografica a un anno, il tessuto epiteliale mostra una migrazione coronale e la formazione di una banda più stabile di tessuto, che rende auspicabile la stabilità della lesione non mostrando al momento necessità assoluta di chirurgia.

 

Analisi radiografica  ad un anno

Fig. 11 - Analisi radiografica che rafforza la buona guarigione ottenuta con la terapia non chirurgica supportata senza una franca necessità di chirurgia, mostrando rispetto ai sei mesi un'apprezzabile aumento della componente trabecolare ossea e di densità fotografica.

 


Discussione

Gli impianti dentali rappresentano attualmente una delle alternative più sicure per la sostituzione dei denti mancanti. Risultati di numerosi studi a lungo termine indicano che le protesi dentali supportate da impianti presentano un protocollo terapeutico per la gestione dei pazienti completamente e parzialmente edentuli, con elevata predicibilità e una sopravvivenza compresa tra il 90% e il 95% per più di 5 anni.
Tuttavia, gli impianti non sono esenti da complicazioni biologiche, argomento di grande interesse nella odontoiatria contemporanea. Tra quelle a patogenesi batterica, si possono distinguere due varietà cliniche: mucosite peri-implantare e peri-implantite.

La peri-implantite porta a un riassorbimento osseo e all’eventuale perdita dell’impianto, motivo per cui la prevenzione e il trattamento della stessa rappresentano una delle sfide più significative nel panorama attuale dell’odontoiatria. In questo contesto, una adeguata decontaminazione della superficie implantare e la disgregazione del biofilm disbiotico diventano il focus primario nell’approccio terapeutico alla peri-implantite.

L’obiettivo principale nella decontaminazione della superficie dell'impianto è quello di rimuovere il biofilm. A tale scopo, sono stati introdotti in commercio numerosi strumenti dedicati, tra cui punte rivestite in plastica o fibra di carbonio e curettes in titanio, fibra di carbonio o plastica. Tuttavia, la complessità della gestione dei difetti ossei e la resistenza batterica, spesso associate alla peri-implantite, costituiscono un limite alla strumentazione meccanica, sia manuale che ultrasonica e nell’impiego di alcuni materiali le cui sezioni delle parti lavoranti si rilevano spesso inadatte. Pertanto, sono stati testati numerosi protocolli di decontaminazione chimica e fisica, tra cui air polishing con polvere di glicina, terapia antibiotica locale e sistemica, gel a base di ozono o clorexidina e terapia fotodinamica.

Il caso clinico presentato ha permesso di valutare l'efficacia di un approccio terapeutico non chirurgico combinato, tramite l’associazione della strumentazione meccanica con la terapia fotodinamica (PDT) a base di acido 5-aminolevulinico (ALA) mediante il dispositivo Aladent. I risultati ottenuti evidenziano il potenziale positivo di questa combinazione nel migliorare la decontaminazione della superficie implantare e nel promuovere la guarigione dei tessuti peri-implantari. L’uso di di ALADENT ha contribuito a migliorare l’efficacia del trattamento, riducendo la presenza di batteri resistenti e migliorando l’integrità dei tessuti peri-implantari. La remineralizzazione ossea osservata a sei mesi e poi ad un anno dal trattamento suggerisce un recupero significativo, sebbene siano necessarie ulteriori indagini per confermare la stabilità a lungo termine dei risultati.

L’approccio non chirurgico adottato si è rivelato appropriato al caso preso in esame, grazie anche all’adeguata adesione alla terapia domiciliare da parte della paziente e al supporto professionale costante. I controlli periodici e la motivazione al mantenimento domiciliare sono stati determinanti per il successo del trattamento e per la riduzione del rischio di recidiva. Sebbene i risultati siano promettenti, la peri-implantite continua a rappresentare una patologia complessa, che necessita di un monitoraggio continuo e di interventi patient tailored, soprattutto tenendo conto del fatto che i concetti attuali sulla patogenesi della peri-implantite si concentrano su diversi parametri, tra cui presenza di cemento residuo, forze occlusali traumatiche, particelle di titanio nei tessuti adiacenti e la reazione biologica che potrebbero innescare, nonché la predisposizione genetica individuale.

 

Conclusione

L'uso della terapia fotodinamica (PDT) associata ad ALADENT può rappresentare una strategia terapeutica innovativa ed efficace per il trattamento della peri-implantite. Ulteriori studi clinici sono necessari per definire chiaramente il ruolo e ottimizzare i protocolli terapeutici.

 

Materiale informativo
Non ci sono materiali per questa news.
Video
Non ci sono video per questa news.
A cura di
Infodent
Strada Teverina Km 3 , 600
Viterbo (VT)
T. E. contact@bec.it W. https://www.infodent.it