Tecniche di intervento e gestione clinica delle discromie dentali
Discromie dentali tecniche di intervento
Utilizzo di microabrasione e d'infiltrazione di resina come trattamento combinato

Andrea Vellotti, Margherita Pancrazi, Giacomo Ottonelli, Giacomo Oldoini, Saverio Cosola, Annamaria Genovesi

Attività del Master di I livello presso l'Istituto Stomatologico Toscano.


 

Introduzione

Le discromie nei denti anteriori sono spesso causa di disagio per i pazienti e motivo di trattamento.

Poiché gli obiettivi estetici sono diventati molto rilevanti negli ultimi anni, le richieste dei pazienti di un aspetto naturale attraverso applicazioni minimamente invasive sono aumentate.

L'ipomineralizzazione, limitata allo smalto, si verifica a causa del cambiamento nella composizione chimica come risultato della perdita di minerali e della sua sostituzione con fluidi organici. Di conseguenza, le caratteristiche ottiche dello smalto interessato vengono alterate.

L'aspetto biancastro deriva da un'elevata differenza negli indici di rifrazione (IR) tra i cristalli di smalto e il mezzo all'interno delle porosità, risultante dalla modifica degli spazi tra i cristalli riempiti con aria (IR 1,00) o mezzo acquoso (IR 1,33). La differenza degli indici di rifrazione all'interno delle porosità provoca la dispersione della luce, mostrando il tipico aspetto bianco e opaco. Una resina per infiltrazione che mostra buone caratteristiche di penetrazione è stata sviluppata presso l'ospedale universitario Charitè di Berlino e resa disponibile sul mercato con il marchio Icon® (DMG, Amburgo, Germania). Con l'obiettivo di riempire gli spazi intercristallini, questo sistema di infiltrazione di resina si basa sull'erosione con acido cloridrico della superficie della lesione demineralizzata, seguita dall'infiltrazione di una resina a bassa viscosità.

Progettato per colmare il divario tra prevenzione e restauro con una tecnica minimamente invasiva, Icon® può produrre un effetto estetico positivo riempiendo il sistema di pori indotto dall'ipomineralizzazione, imitando così lo smalto sano esistente per mezzo di una resina fotopolimerizzabile con un indice di rifrazione (IR 1,52) che è approssimativamente simile all'idrossiapatite (IR 1,62). L'uso di questa tecnica a volte porta a risultati incoerenti a causa delle caratteristiche topografiche delle lesioni. Il trattamento deve essere eseguito con la dovuta cautela, analizzando il tipo di lesione e cercando modifiche al protocollo per migliorare l'efficacia.

Nei casi in cui le lesioni, nonostante l'origine superficiale, si sviluppano in profondità, il potenziale di infiltrazione viene rapidamente raggiunto e solo una piccola parte della lesione viene infiltrata, con la conseguenza di un insufficiente mascheramento della lesione.

 

Obiettivo

Dimostrare il risultato estetico in una lesione discromica profonda, classificata come MIH, utilizzando la microabrasione e l'infiltrazione di resina come trattamento combinato.

 

Materiali e metodi

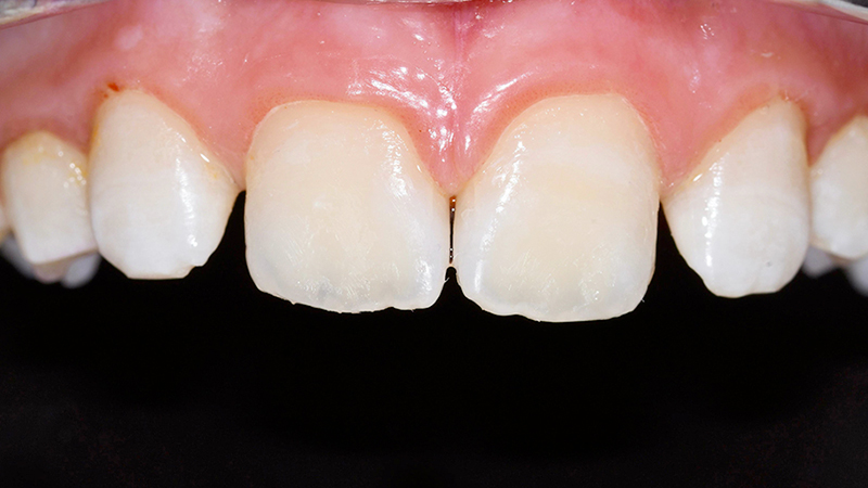
Lo studio descrive il caso clinico di un ragazzo di 11 anni che ha richiesto un trattamento per correggere delle macchie bianche presenti sulla superficie degli elementi centrali superiori. Questo caso è stato classificato come MIH sulla base di esami radiografici e clinici (Fig. 1, Fig. 2, Fig. 3).

 


 

situazione iniziale: discromie dentali evidenti

Fig. 1

 

Situazione iniziale, vista palatale

Fig. 2
Situazione iniziale, vista palatale

Fig. 3

 


 

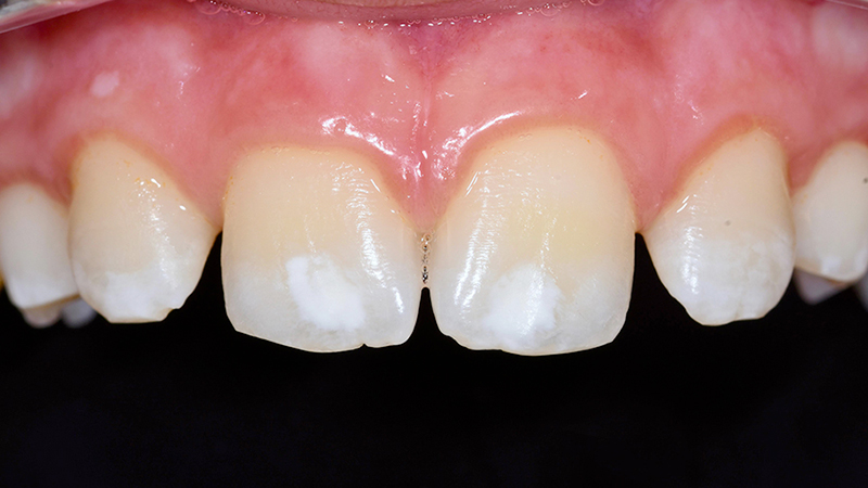
Prendendo in considerazione il tipo di lesione, è stato deciso di procedere con un trattamento combinato, eseguendo la tecnica di microabrasione con Opalustre® (Ultradent, St. Louis, MO, USA) e quella di infiltrazione di resina con Icon® (DMG, Amburgo, Germania) secondo le istruzioni dei produttori. È stato utilizzato Optragate per permettere la retrazione delle labbra e delle guance, fornendo l'isolamento esterno e facilitando la visione completa. Le superfici dentali sono state lucidate con la pasta da profilassi SuperPolish Kerr, utilizzando uno spazzolino montato su contrangolo per eliminare qualsiasi biofilm e le proteine salivari correlate (Fig. 3). Completata la lucidatura è stata applicata la diga liquida fotopolimerizzante OpalDam® (Ultradent) sia sulla gengiva che sui denti accanto a quelli da trattare. Dopo aver isolato il campo è stato applicato il prodotto Opalustre® (Ultradent), una pasta viscosa a base idrosolubile contentente il 6,6% di Acido Cloridrico con microparticelle di Carburo di Silicio, sulle lesioni con uno spessore di circa 1 mm per 60 secondi.

Il prodotto è stato attivato con uno spazzolino in gomma a 500 giri/minuto (Fig. 4). Al termine dell'applicazione il prodotto è stato aspirato, sciacquato e asciugato. Dopo aver ripetuto il passaggio per 4 volte, le discromie sono risultate esposte nella loro integrità e con i bordi ben definiti.

 


 

Attivazione Opalustre Ultradent con spazzolino in gomma

Fig. 4

 


 

A questo punto è stato eseguito il trattamento con Icon® . Con l’aiuto del Tip vestibolare contenuto nel kit è stato applicato sulla zona da trattare il gel mordenzante Icon- Etch (HCl al 15%) che prepara il dente ad essere infiltrato, rimuovendo circa 40 μm di superficie dello smalto (Fig. 5). Dopo aver applicato Icon-Etch per 2 minuti, l'acido è stato completamente rimosso dalla superficie del dente, lavando per 30 secondi e asciugando con aria priva di acqua. È stato applicato Icon-Dry (etanolo al 99%) per 30 secondi in modo da asciugare il dente e osservare il grado di preparazione (Fig. 6). Questi due passaggi sono stati ripetuti per 3 volte, fino a quando le discromie sono diminuite in modo significativo. A questo punto le lesioni sono totalmente raggiungibili. La luce del riunito e la luce LED delle ottiche ingrandenti sono state spente per evitare una fotopolimerizzazione prematura. È stato collegato un nuovo Tip ad Icon-Infiltrant (Fig. 7) e il prodotto è stato lasciato agire per 3 minuti. La resina è stata attivata muovendola lentamente con il Tip montato sulla siringa di Icon-Infiltrant. È stato eliminato il prodotto in eccesso con un rotolino di cotone e con il filo interdentale e fotopolimerizzato per 40 secondi (Fig. 8). È stato riapplicato e lasciato agire Icon-Infiltrant per 1 minuto, eliminato il materiale in eccesso e fotopolimerizzato per altri 40 secondi.

 


 

Applicazione gel mordenzante Icon-Etch

Fig. 5
Applicazione Icon-Dry

Fig. 6
Nuovo Tip Icon-Infiltrant

Fig. 7
fotopolimerizzazione per 40 secondi

Fig. 8

 


 

È stata rimossa la diga liquida, le superfici di contatto sono state controllate ed è stata lucidata la superficie del dente con dischi lucidanti (Fig. 9) ed infine con un gommino (Fig. 10).

 


 

lucidatura del dente con dischi lucidanti

Fig. 9
lucidatura del dente con gommino

Fig. 10

 


 
Risultati

Il trattamento ha prodotto un miglioramento estetico soddisfacente per il paziente e per il professionista (Fig. 11).

 


 
miglioramento estetico

Fig. 11

 
Conclusioni

L’ipomineralizzazione di molari e incisivi è una preoccupazione crescente in odontoiatria pediatrica. L’estetica insoddisfacente dovuta alle lesioni a macchie bianche nei denti anteriori è solitamente la ragione principale per cui i pazienti cercano un trattamento. Una diagnosi corretta deve essere stabilita con una valutazione completa della storia medica e dentale del paziente, nonché un esame clinico che valuti la posizione della lesione, la simmetria, la forma del contorno, la profondità e l'opacità.

Esistono diverse alternative disponibili per il trattamento dei difetti dello smalto ipoplastico o ipomineralizzato, che vanno da trattamenti meno invasivi a più invasivi. La scelta dell'opzione di trattamento appropriata dipende dalla gravità della lesione.

Una gestione efficace dei casi può essere ottenuta con vari approcci conservativi e metodi minimamente invasivi sviluppati per le lesioni rilevate nella fase iniziale. La microabrasione e l'infiltrazione di resina sono tecniche minimamente invasive su cui si può fare affidamento per produrre risultati soddisfacenti nelle opacità MIH.

 

Materiale informativo
Non ci sono materiali per questa news.
Video
Non ci sono video per questa news.
A cura di
Infodent
Strada Teverina Km 3 , 600
Viterbo (VT)
T. E. contact@bec.it W. https://www.infodent.it