Il presente case report descrive il trattamento di lesioni ipocalcifiche dello smalto in un paziente maschio di 25 anni mediante resina infiltrante, senza terapie aggiuntive, con monitoraggio strumentale tramite QrayCam Pro in tre tempi: pre-trattamento, immediato post-trattamento e controllo a un mese. I valori di fluorescenza (ΔF) sono passati da circa –47,8/–56,1% nella fase iniziale a –13,4% subito dopo il trattamento, fino a stabilizzarsi tra –6,2% e –8,5% al controllo, con una marcata riduzione dell’area di white spot (da 4007 px² a meno di 200 px²). I dati indicano che la sola infiltrazione può migliorare l’estetica e che l’uso di un sistema di quantificazione per fluorescenza consente di documentare il risultato in modo oggettivo.
Introduzione
Le lesioni bianche da ipocalcificazione o demineralizzazione iniziale rappresentano un’evenienza frequente nei pazienti giovani, soprattutto quando
sono localizzate nel settore frontale. In passato la gestione prevedeva approcci microabrasivi o restaurativi, con sacrificio, seppur minimo, di tessuto sano.
L’infiltrazione con resine a bassa viscosità consente invece di penetrare nelle microporosità subsuperficiali dello smalto, saturarle e ridurre la differenza
di indice di rifrazione tra smalto sano e smalto ipomineralizzato,
con un duplice effetto: blocco della progressione della lesione e miglioramento estetico immediato. La possibilità di affiancare alla valutazione clinica una documentazione per fluorescenza con dispositivi come il QrayCam Pro permette inoltre di quantificare il grado di demineralizzazione attraverso parametri numerici (ΔF, ΔR, area di lesione), rendendo dimostrabile e ripetibile il risultato nel tempo.
Caso clinico
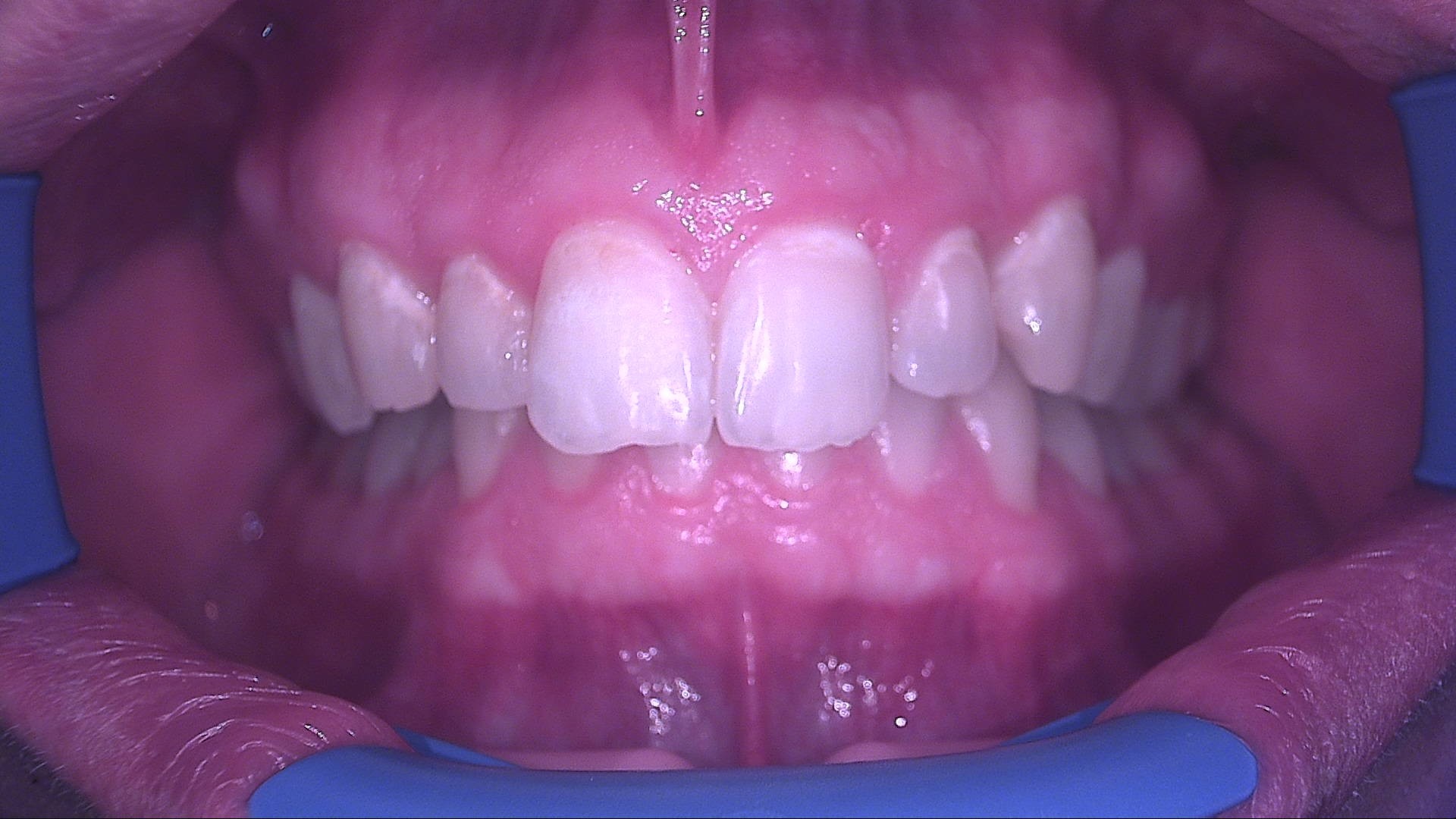
Paziente maschio, 25 anni, militare, riferisce fastidio estetico causato dalla presenza di aree bianche opache persistenti sugli incisivi superiori. All’esame
obiettivo in luce bianca si osservano white spot a livello degli elementi 11, 12, 21 e 22. L’esame in fluorescenza con QrayCam Pro conferma la presenza di zone a ridotta mineralizzazione con perdita di fluorescenza compresa tra –47,8% e –56,1% e area di white spot fino a 4007 px².
Fig. 1A - Situazione iniziale in luce bianca: aree bianche opache su 11, 12, 21 e 22.
Fig. 1B - Fluorescenza pretrattamento. Valori ΔF medi intorno a –47,8%, indicativi di demineralizzazione.
Trattamento
Si è deciso di intervenire con sola resina infiltrante per valutare l’efficacia del protocollo senza fattori confondenti.
Dopo isolamento e pulizia della superficie, è stata eseguita la mordenzatura localizzata, quindi la resina a bassa viscosità è stata applicata e lasciata penetrare nelle micro-porosità, quindi fotopolimerizzata secondo protocollo.
Non sono state eseguite terapie complementari (nessuna mousse remineralizzante, nessun fluoruro topico finale), in modo da valutare l'efficacia del solo infiltrante.
Fig. 3A - Luce bianca subito dopo l'infiltrazione: evidente omogeneizzazione cromatica rispetto al pre.
Fig. 3B - Fluorescenza immediata post-trattamento: ΔF ridotto a circa –13,4%, segno di saturazione dei micro-pori.
Follow-up a un mese
Il paziente è stato richiamato a un mese per la rivalutazione. La situazione clinica risulta stabile: le aree precedentemente opache mantengono un aspetto più uniforme e meno evidente.
La nuova acquisizione con QrayCam Pro mostra valori ΔF compresi tra –6,2% e –8,5% e una ulteriore riduzione dell’area di white spot a meno di 200 px², a conferma di una stabilizzazione del risultato.
Fig. 5A - Controllo a un mese in luce bianca: mantenimento dell'uniformità cromatica.
Tabella dei valori

Sintesi quantitativa
Tra la fase iniziale e il controllo a un mese si osserva:
- una riduzione complessiva della perdita di fluorescenza di circa l’85%;
- una riduzione dell’area di white spot superiore al 90%;
- una stabilità clinica e strumentale del risultato senza terapie aggiuntive.
Discussione
La resina infiltrante consente una gestione minimamente invasiva delle white spot, il principio è ben noto e con un duplice beneficio: arresto o rallentamento della progressione della lesione e miglioramento estetico legato alla riduzione del contrasto ottico. Nel caso descritto, la sola infiltrazione ha determinato il passaggio da ΔF fortemente negativi (–47,8/–56,1%) a valori prossimi alla normalità (–6,2/–8,5%) già al primo mese.
La documentazione QrayCam Pro ha reso possibile dimostrare il risultato con dati numerici, caratteristica particolarmente utile in ambito pubblicabile e formativo.
Clicca qui per consultare le tabelle specifiche dei valori.
Conclusione
Il caso mostra che, in un paziente giovane, la gestione delle white spot con la sola resina infiltrante se usata nella maniera corretta può produrre risultati estetici evidenti e stabili nel breve termine. L’associazione con un sistema di quantificazione per fluorescenza permette di documentare l’efficacia del protocollo e di renderlo standardizzabile anche per altri operatori.
Fonti scientifiche
- Meyer-Lueckel H, Paris S. Infiltration of natural caries lesions with experimental resins differing in penetration coefficients and ethanol addition. Caries Res. 2010;44(4):408–414. https://doi.org/10.1159/000316541
- Kim BI, Lee H, Kwon HK, Kim J. Evaluation of QLF-D imaging for detection and quantification of enamel demineralization. J Dent. 2013;41(1):29–35. https://doi.org/10.1016/j.jdent.2012.10.004
- Paris S, Meyer-Lueckel H. Infiltrant technique for the treatment of white spot lesions and mild enamel defects: A review. Quintessence Int. 2020;51(10):830–839.
- Kim J, Lee ES, Kwon HK. Clinical evaluation of quantitative light-induced fluorescence for monitoring remineralization of early enamel lesions. Lasers Med Sci. 2022;37(7):3195–3202. https://doi.org/10.1007/s10103-022-03528-1