Allineatori e spazi edentuli: Mesializzazione dei molari
Allineatori e spazi edentuli: Mesializzazione dei molari

La chiusura degli spazi edentuli con allineatori trasparenti  è influenzata da molti fattori. Gli allineatori sono dispositivi ortodontici su misura la cui prevedibilità può avere implicazioni medico-legali rilevanti. 
Questo studio presenta una revisione dell'ambito di applicazione della chiusura degli spazi molari mancanti con allineatori e un caso clinico. Inoltre, mira ad evidenziare la fattibilità della chiusura degli spazi molari mediante mesializzazione con allineatori senza supporti ibridi. 
Seguendo le linee guida PRISMA Sc-review, sono stati ricercati studi clinici randomizzati/non randomizzati/osservazionali scritti in inglese su PubMed, Scopus, Cochrane e Lilacs. 


 

Mesializzazione dei molari
Trattamento finito in 10 mesi, senza attachments e senza rifiniture


Una paziente di 18 anni, con spazi edentuli superiori e inferiori dovuti alla perdita di due primi molari, è stata riabilitata con allineatori (Sorridi, Sorridi® srl, Latina-Italia) senza supporti ibridi e attachments. La terapia è stata effettuata nell'arco di 10 mesi. Attualmente, non ci sono studi che documentano la chiusura degli spazi molari edentuli mediante mesializzazione con il solo uso di allineatori. 

Gli articoli esistenti documentano la chiusura degli spazi premolari o incisivi. I secondi molari superiore e inferiore sinistro hanno sostituito in questo caso clinico i primi molari mancanti e i terzi molari in eruzione sostituiscono i secondi molari. Gli effetti biomeccanici nella chiusura dello spazio con allineatori relativi a casi di estrazione appaiono prioritari di interesse clinico/medico-legale. Il nostro caso sposta l'attenzione su questo movimento con allineatori senza attachments e senza supporti ibridi, indicando che anche un trattamento così complesso può essere comodo per i pazienti e sicuro prevedibile per gli specialisti.


 

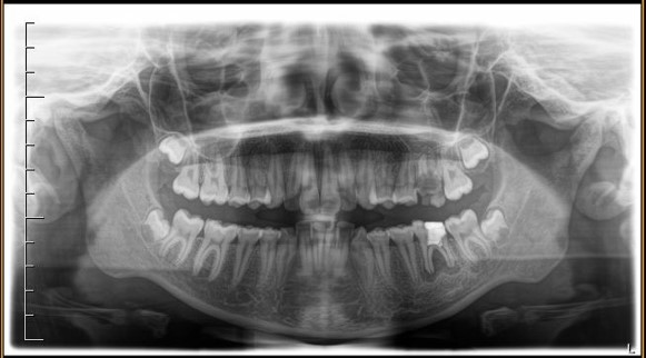
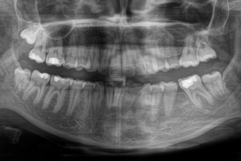
Ortopanoramica pre-trattamento della paziente. I due primi molari sinistri appaiono irrimediabilmente compromessi da carie destruenti
Fig. 1 Ortopanoramica pre-trattamento della paziente. I due primi molari sinistri appaiono irrimediabilmente compromessi da carie destruenti

 

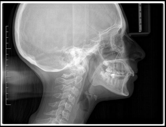
Teleradiografia latero-laterale pre-trattamento
Fig. 2 Teleradiografia latero-laterale pre-trattamento

 

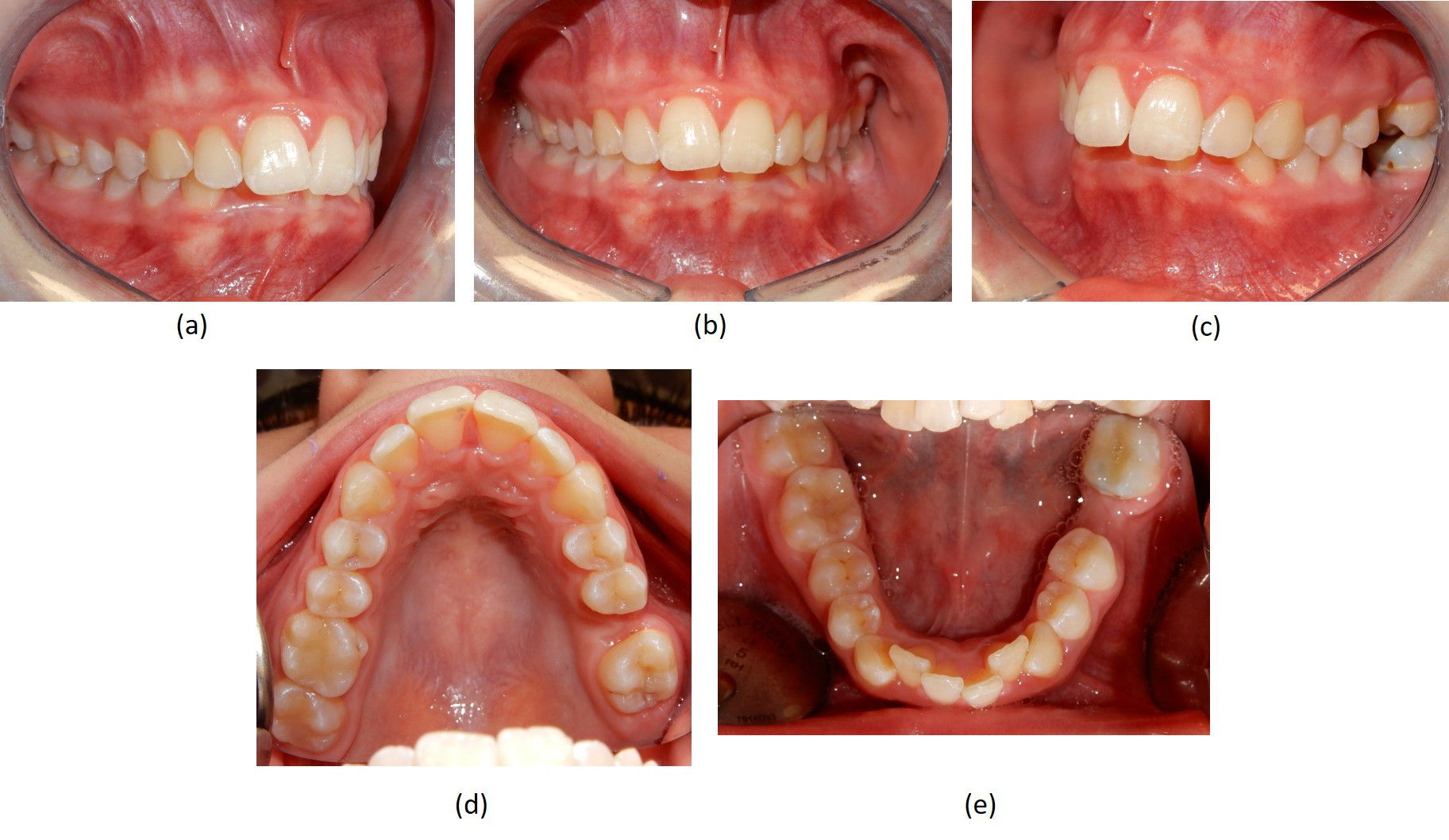
Fotografie intraorali  pre-trattamento
Fig. 3 Fotografie intraorali  pre-trattamento. (a) visione laterale destra; (b) visione frontale con morso profondo; (c) assenza dei due primi molari sul lato sinistro; (d) visione occlusale superiore che mostra l'assenza del primo molare sinistro; (e) visione occlusale inferiore che mostra sul lato sinistro l'assenza del primo molare e l'affollamento moderato degli incisivi

 

Diagramma con flow chart della revisione secondo le linee guida PRISMA

Fig. 4 Diagramma con flow chart della revisione secondo le linee guida PRISMA

 

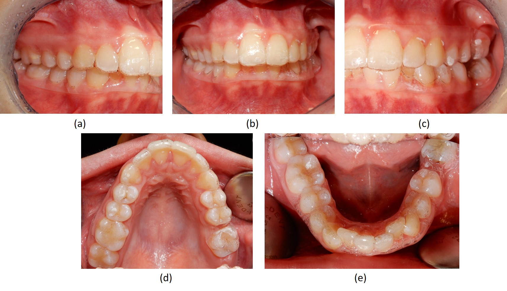
Fig. 5 Foto di controllo con l'allineatore 9
Fig. 5 Foto di controllo con l'allineatore 9 come richiesto dall'azienda Sorridi per monitorare il buon andamento della terapia ogni 2 mesi. (a-e) le immagini mostrano la progressiva chiusura degli spazi

 

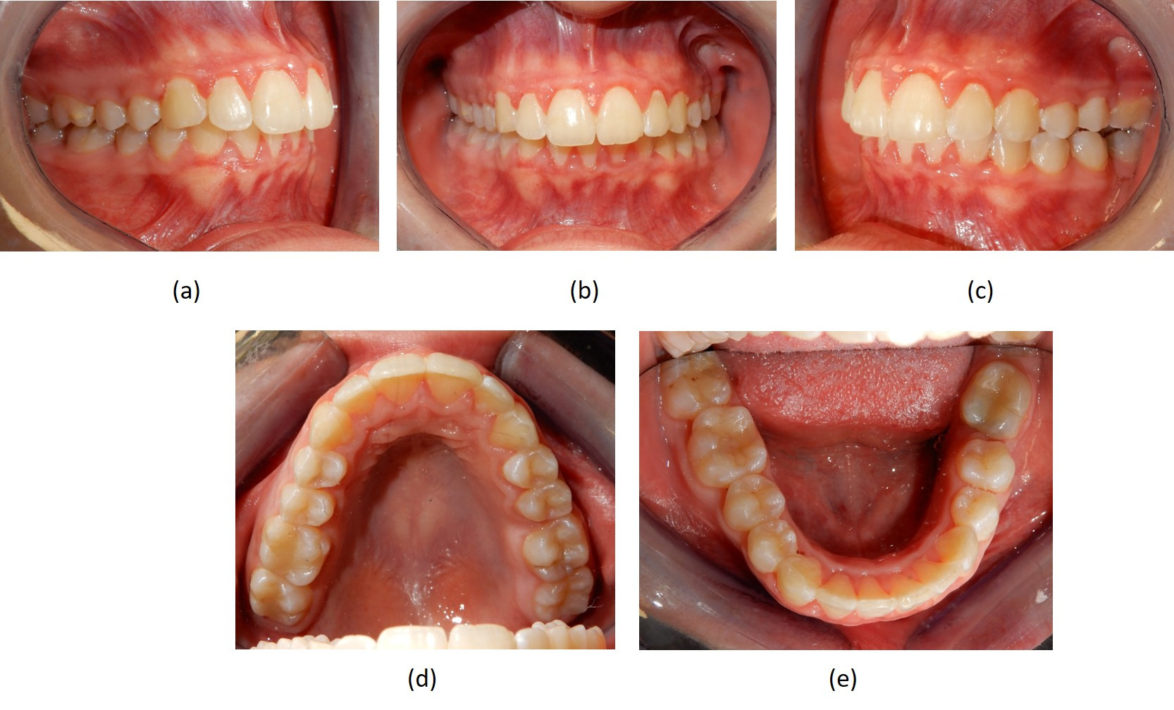
Fotografie intraorali post-trattamento
Fig. 6 Fotografie intraorali post-trattamento. (a-c) Immagini che mostrano l'occlusione finale; (d) spazio estrattivo superiore chiuso sul lato sinistro per mesializzazione del secondo molare nello spazio del primo molare mancante; (e) inferiormente rimane una lieve mesio-rotazione  del secondo molare inferiore sinistro, ortodonticamente trasposto nello spazio del primo molare mancante, ma lo spazio estrattivo è stato chiuso in modo efficiente

 

Ortopanoramica post-trattamento che mostra la chiusura degli spazi estrattivi
Fig. 7 Ortopanoramica post-trattamento che mostra la chiusura degli spazi estrattivi

 

Teleradiografia latero-laterale post-trattamento
Fig. 8 Teleradiografia latero-laterale post-trattamento

 

Sovrapposizione dei tracciati cefalometrici
Fig. 9 Sovrapposizione dei tracciati cefalometrici pre (blu) e post (verde) trattamento (piano di riferimento SN) con l'apposita funzione della piattaforma Cephio

 

Sovrapposizione dei modelli virtuali
Fig. 10 (a-d) Sovrapposizione dei modelli virtuali pre (arancione chiaro) e post (verde chiaro) trattamento (Maestro 3D Software, Version 6, AGE Solutions S.r.l., Pontedera, Toscana, Italia)

 

 

Materiale informativo
Non ci sono materiali per questa news.
Video
Non ci sono video per questa news.