Produttori
Sorridi srl
Mesializzazione dei molari con allineatori Sorridi senza Attachments
Dalle aziende
La potenza degli allineatori trasparenti personalizzati in spazi edentuli molari di chiusura: Considerazioni cliniche e medico-legali in un esame di scoping e case report

Abstr
La potenza degli allineatori trasparenti personalizzati in spazi edentuli molari di chiusura: Considerazioni cliniche e medico-legali in un esame di scoping e case report

Abstract 

Questo studio presenta una revisione dell'ambito di applicazione della chiusura degli spazi molari mancanti con allineatori e un caso clinico. Questo studio mira a evidenziare la fattibilità della chiusura degli spazi molari mediante mesializzazione con allineatori senza supporti ibridi.
Seguendo le linee guida PRISMA Sc-review, sono stati ricercati studi clinici randomizzati/non randomizzati/osservazionali scritti in inglese su PubMed, Scopus, Cochrane e Lilacs. Una paziente di 18 anni, con spazi edentuli superiori e inferiori dovuti alla perdita di due primi molari, è stata riabilitata con allineatori (Sorridi, Sorridi® srl, Latina-Italia) senza supporti ibridi e attacchments.

La terapia è stata effettuata nell'arco di dieci mesi. Attualmente, non ci sono studi che documentano la chiusura degli spazi molari edentuli mediante mesializzazione con il solo uso di allineatori. Gli articoli esistenti documentano la chiusura degli spazi premolari o incisivi. I secondi molari superiore e inferiore sinistro hanno sostituito in questo caso clinico i primi molari mancanti e i terzi molari in eruzione sostituiscono i secondi molari.
Gli effetti biomeccanici nella chiusura dello spazio con allineatori relativi a casi di estrazione appaiono prioritari di interesse clinico/medico-legale. Il nostro caso sposta l'attenzione su questo movimento con allineatori senza attachments e senza supporti ibridi, indicando che anche un trattamento così complesso può essere comodo per i pazienti e sicuro prevedibile per gli specialisti.


Vuoi approfondire l'argomento? Leggi l’articolo completo

Allineatori e spazi edentuli: Mesializzazione dei molari
Caso Clinico

La chiusura degli spazi edentuli con allineatori trasparenti  è influenzata da molti fattori. Gli allineatori sono dispositivi ortodontici su misura la cui prevedibilità può avere implicazioni

La chiusura degli spazi edentuli con allineatori trasparenti  è influenzata da molti fattori. Gli allineatori sono dispositivi ortodontici su misura la cui prevedibilità può avere implicazioni medico-legali rilevanti. 
Questo studio presenta una revisione dell'ambito di applicazione della chiusura degli spazi molari mancanti con allineatori e un caso clinico. Inoltre, mira ad evidenziare la fattibilità della chiusura degli spazi molari mediante mesializzazione con allineatori senza supporti ibridi. 
Seguendo le linee guida PRISMA Sc-review, sono stati ricercati studi clinici randomizzati/non randomizzati/osservazionali scritti in inglese su PubMed, Scopus, Cochrane e Lilacs. 


 

Mesializzazione dei molari
Trattamento finito in 10 mesi, senza attachments e senza rifiniture


Una paziente di 18 anni, con spazi edentuli superiori e inferiori dovuti alla perdita di due primi molari, è stata riabilitata con allineatori (Sorridi, Sorridi® srl, Latina-Italia) senza supporti ibridi e attachments. La terapia è stata effettuata nell'arco di 10 mesi. Attualmente, non ci sono studi che documentano la chiusura degli spazi molari edentuli mediante mesializzazione con il solo uso di allineatori. 

Gli articoli esistenti documentano la chiusura degli spazi premolari o incisivi. I secondi molari superiore e inferiore sinistro hanno sostituito in questo caso clinico i primi molari mancanti e i terzi molari in eruzione sostituiscono i secondi molari. Gli effetti biomeccanici nella chiusura dello spazio con allineatori relativi a casi di estrazione appaiono prioritari di interesse clinico/medico-legale. Il nostro caso sposta l'attenzione su questo movimento con allineatori senza attachments e senza supporti ibridi, indicando che anche un trattamento così complesso può essere comodo per i pazienti e sicuro prevedibile per gli specialisti.


 

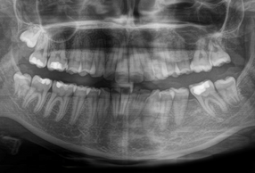
Ortopanoramica pre-trattamento della paziente. I due primi molari sinistri appaiono irrimediabilmente compromessi da carie destruenti

 

Teleradiografia latero-laterale pre-trattamento

 

Fotografie intraorali  pre-trattamento

 

Diagramma con flow chart della revisione secondo le linee guida PRISMA

 

Fig. 5 Foto di controllo con l'allineatore 9

 

Fotografie intraorali post-trattamento

 

Ortopanoramica post-trattamento che mostra la chiusura degli spazi estrattivi

 

Teleradiografia latero-laterale post-trattamento

 

Sovrapposizione dei tracciati cefalometrici

 

Sovrapposizione dei modelli virtuali