Parodontite grave: un problema in crescita
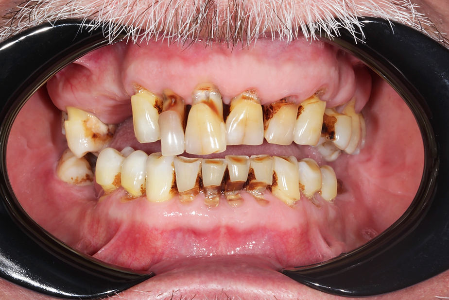
Parodontite grave
La parodontite grave è una delle malattie infiammatorie croniche più diffuse al mondo, che colpisce non solo la salute orale, ma anche il benessere generale.

Secondo uno studio recente basato sui dati del Global Burden of Disease (GBD) 2021, il carico globale della parodontite grave ha visto un notevole aumento negli ultimi 30 anni, con un impatto diretto sulle politiche sanitarie e sulla salute pubblica a livello mondiale.

Dal 1990 al 2021, il numero globale di casi di parodontite grave è aumentato del 76,32%, passando da circa 50,8 milioni di casi a quasi 90 milioni. Nonostante il tasso di disabilità (DALY) globale sia rimasto relativamente stabile, l’aumento del numero di casi evidenzia una crescente incidenza della malattia. In particolare, paesi come India, Cina e Stati Uniti hanno visto i maggiori aumenti, mentre altre regioni come le Isole Salomone e le Figi hanno registrato un calo dei casi.

Le tendenze regionali mostrano un chiaro legame tra lo sviluppo socio-economico e il carico di malattia: i paesi con un SDI (Indice Socio-Demografico) più alto, come quelli dell'Europa del Nord, tendono ad avere tassi di incidenza più bassi. Al contrario, nelle regioni con SDI più basso, come il Sud Asia, la malattia è in forte crescita. Questo indica che le politiche sanitarie efficaci, il miglior accesso alle cure e una maggiore educazione alla salute orale possono fare una grande differenza nella gestione della parodontite.

Un altro aspetto interessante riguarda le differenze di genere e di età. Fino ai 45 anni, gli uomini tendono ad essere più colpiti dalla parodontite grave, ma dopo questa età, le donne mostrano un'incidenza maggiore. Questa inversione potrebbe essere legata a fattori ormonali o altre variabili socio-economiche, ma dimostra comunque la necessità di interventi mirati per entrambi i sessi, soprattutto nelle fasce di età più avanzate.

La parodontite grave è molto più di un problema legato alla salute orale: è un indicatore di come la salute generale possa essere compromessa. Come ben noto, le malattie parodontali sono strettamente legate a condizioni sistemiche come il diabete, le malattie cardiovascolari e alcune forme di cancro. Questo sottolinea l'urgenza di adottare strategie di prevenzione mirate, capaci di ridurre il carico globale di questa patologia.

A fronte di questi dati, è essenziale rafforzare le politiche sanitarie a livello globale. L’integrazione della salute orale nei sistemi sanitari generali è fondamentale, così come promuovere l’accesso alle cure dentistiche preventive e a programmi di educazione sulla salute orale. In particolare, la prevenzione attraverso la corretta igiene orale, l'abbandono del fumo e una dieta equilibrata sono azioni indispensabili per contrastare la parodontite.

Il crescente carico di parodontite grave è una sfida che richiede azioni globali mirate. Le regioni con un alto SDI hanno dimostrato che interventi sanitari efficaci, politiche pubbliche orientate alla salute orale e miglioramento dell'accesso alle cure possono ridurre significativamente il carico di malattia. Tuttavia, nelle aree a basso SDI, dove l'accesso alle cure è più limitato, la parodontite continua a crescere e necessita di un'attenzione urgente.

Per affrontare questa problematica, è essenziale aumentare gli investimenti nella salute orale, garantire una maggiore sensibilizzazione del pubblico e rafforzare le politiche di prevenzione, affinché la parodontite grave non rappresenti più un problema di salute globale così rilevante.

Leggi lo studio completo.

 

Materiale informativo
Non ci sono materiali per questa news.
Video
Non ci sono video per questa news.
A cura di
Dermal Medical Division
Via dei Pioppi , 6
Padulle di Sala Bolognese (BO)
T. E. info@dermalmedical.it W. https://www.dermalmedical.it