Il caso clinico esplora il trattamento odontoiatrico di un bambino giapponese di due anni e nove mesi affetto da questa condizione, sottolineando l'importanza di un approccio multidisciplinare per garantire risultati positivi.
Ittiosi congenita e implicazioni odontoiatriche
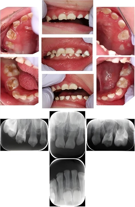
L’ittiosi congenita si manifesta con una disfunzione della barriera cutanea dovuta a mutazioni genetiche che alterano il metabolismo lipidico e la differenziazione epidermica. Tra le caratteristiche cliniche vi sono alterazioni dello smalto, ipoplasia dentale e rischio elevato di carie, come evidenziato nel caso analizzato. Questo quadro si complica ulteriormente nei pazienti pediatrici, che possono presentare anche disabilità intellettive o motorie, come nel paziente descritto.
La diagnosi genetica, effettuata tramite sequenziamento dell’esoma, ha rivelato due mutazioni nel gene ALOX12B, una delle quali mai descritta prima in letteratura. Questa scoperta sottolinea l'importanza della genetica nel comprendere la complessità della malattia e le sue manifestazioni sistemiche, inclusi gli effetti sulla salute orale.

Trattamento odontoiatrico sotto anestesia generale
A causa della giovane età, del comportamento non collaborativo e delle condizioni sistemiche, il paziente ha richiesto un trattamento odontoiatrico sotto anestesia generale. L’approccio è stato suddiviso in tre sessioni per minimizzare i rischi, in particolare quelli legati all’ipertermia, una complicazione comune nei pazienti con ittiosi congenita. Il trattamento ha incluso:
- terapie conservative: pulpectomia e restauri con corone prefabbricate.
- Gestione delle complicanze cutanee: adattamenti nel protocollo, come l’uso di fluoruri neutri per evitare irritazioni cutanee.
L'attenzione ai dettagli, come il controllo delle infezioni e il monitoraggio post-operatorio, ha garantito un recupero senza complicazioni e ha migliorato significativamente la salute orale del paziente.
Integrazione multidisciplinare
Il successo del trattamento è stato reso possibile grazie alla stretta collaborazione tra odontoiatri, pediatri, dermatologi e anestesisti. Questo modello integrato ha permesso di affrontare le esigenze specifiche del paziente, dalla preparazione pre-operatoria alla gestione delle complicanze post-trattamento.
Implicazioni per la pratica clinica
Il caso descritto evidenzia alcune lezioni chiave per i professionisti:
- prevenzione e mantenimento: l'educazione dei caregiver e le visite di follow-up regolari sono cruciali per prevenire recidive di carie e migliorare l'igiene orale.
- Adattamento terapeutico: la personalizzazione dei trattamenti, considerando le condizioni sistemiche e le peculiarità del paziente, è fondamentale.
- Ricerca genetica: l'uso della genetica per identificare mutazioni specifiche consente una gestione più mirata e potrebbe rivelare nuovi fenotipi associati a mutazioni non ancora descritte.
Conclusioni
Il trattamento odontoiatrico dei pazienti con ittiosi congenita richiede una gestione complessa e multidisciplinare, che consideri sia le esigenze orali che le implicazioni sistemiche della malattia. Il caso riportato rappresenta un esempio di eccellenza clinica e ricerca integrata, sottolineando l'importanza dell'innovazione e della collaborazione nella pratica odontoiatrica.
Leggi l'articolo completo.