Dürr Dental a Expodental 2025: tecnologia, innovazione e un anniversario da celebrare insieme
radiografia
Dal 15 al 17 maggio saremo presenti a Expodental, l'appuntamento annuale che riunisce il mondo dell'odontoiatria.

Dürr Dental parteciperà con le sue soluzioni più avanzate per imaging, profilassi, disinfezione, aria compressa e aspirazione, ma anche con iniziative speciali per festeggiare un'importante anniversario.

 

Imaging: precisione e intelligenza a supporto della diagnosi

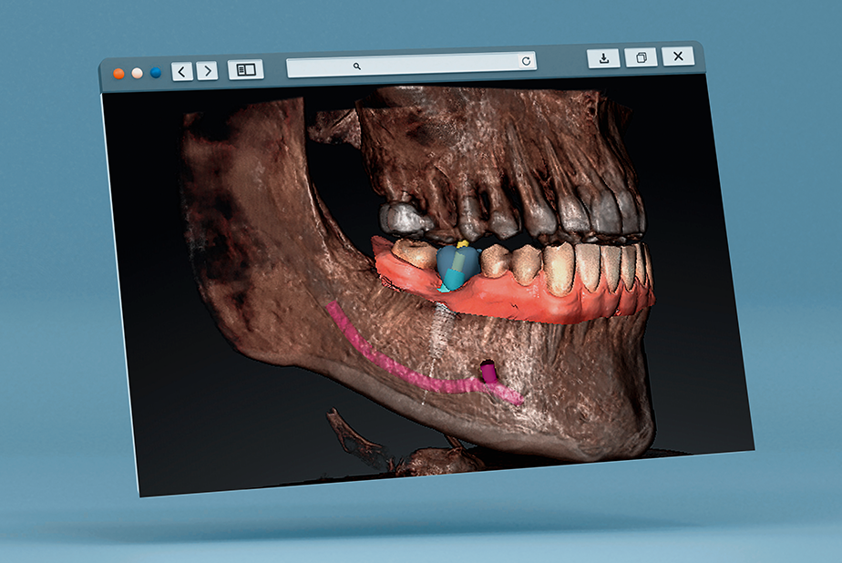
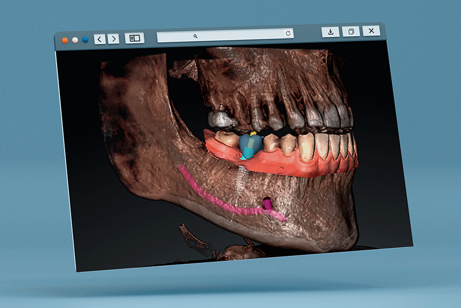
Tra le tecnologie più attese, spicca VistaVox, la CBCT che unisce massima precisione diagnostica e facilità d’uso. 
Grazie al volume di scansione adattato all’anatomia, alla qualità delle immagini e all’interfaccia intuitiva, VistaVox rappresenta una scelta eccellente per lo studio moderno che desidera offrire diagnosi affidabili e sicure con un’esposizione minima del paziente.

Accanto a VistaVox, presentiamo il nuovo VistaPano 2.0, il panoramico digitale 2D progettato per ottimizzare il flusso di lavoro e migliorare ulteriormente la nitidezza delle immagini.

A supporto del workflow diagnostico, mostreremo in anteprima VistaSoft AID, il software dotato di intelligenza artificiale per il rilevamento automatico della carie sulle immagini intraorali. L’analisi avviene in modo diretto, immediatamente dopo l’acquisizione, ed è disponibile in tempi rapidissimi, perfettamente integrata nel flusso di lavoro. Basato su algoritmi AI avanzati, VistaSoft AID contribuise a una diagnosi più accurata e tempestiva, riducendo l'incertezza e migliorando la qualità del trattamento. Disponibile a partire dalla versione VistaSoft 4.0, rappresenta un concreto valore aggiunto per ogni studio. 

 

Profilassi, disinfezione e tecnologie per lo studio

Non mancheranno le coluzioni per la profilassi, come il sistema combinato MyLunos Duo, dispositivo a ultrasuoni con manipolo spray, certificato per l'uso con la polvere Lunos di trealosio. Un sistema completo per la profilassi professionale, che garantisce comfort e risultati eccellenti.

Sarà inoltre possibile vedere da vicino le soluzioni per la sala macchine (aspiratori e compressori) e per la disinfezione, con i sistemi pensati per garantire igiene e sicurezza negli studi odontoiatrici. 

 

60 anni di Orotol: attività speciali in stand

Nel 2025 celebriamo un traguardo importante: 60 anni di Orotol, il prodotto simbolo per la disinfezione degli impianti di aspirazione. Per l'occasione, abbiamo organizzato momenti esclusivi per coinvolgere i visitatori.

Tra Scienza e Magia

Un'esperienza sorprendente con una performer professionista che eseguirà giochi di prestigio con le carte. Ogni partecipante riceverà un gadget speciale dedicato all'anniversario.

Demo & Drinks

Chi parteciperà alla dimostrazione di un nostro prodotto in stand potrà brindare con noi: un'occasione per scoprire le soluzioni Dürr Dental, dialogare con i nostri esperti e rilassarsi con un calice in mano.

Party in Stand - Venerdì 16 maggio

Dalle ore 17:00 celebreremo i 60 anni di Orotol con un evento aperto a tutti: un momento conviviale per ringraziare i professionisti  che ogni giorno scelgono la qualità Dürr Dental. Un'occasione per incontrarsi, condividere esperienze e festeggiare insieme questo importante traguardo. 

 

Expodental è da sempre l'occasione per scoprire le novità del settore e confrontarsi con colleghi e aziende. Nel nostro stand troverai tecnologia, formazione, ispirazione e...un po' di magia.

Non mancare, ti aspettiamo nel Padiglione A1, stand 75, corsia 2 e 3!

 


 

Per informazioni

Dürr Dental | www.duerrdental.com 

 

Materiale informativo
Non ci sono materiali per questa news.
Video
Non ci sono video per questa news.
A cura di
Dürr Dental
Via Dell’Artigianato , 8
Muggiò (MB)
T. E. info@durr.it W. https://www.duerrdental.de/it