Dott. Rivara - Laurea, Master in Implantologia e Dottorato di Ricerca all’Università di Parma, Perfezionamento in Parodontologia. Docente in programmi post graduate in Implantologia digitale. Socio attivo IAO e IAED.
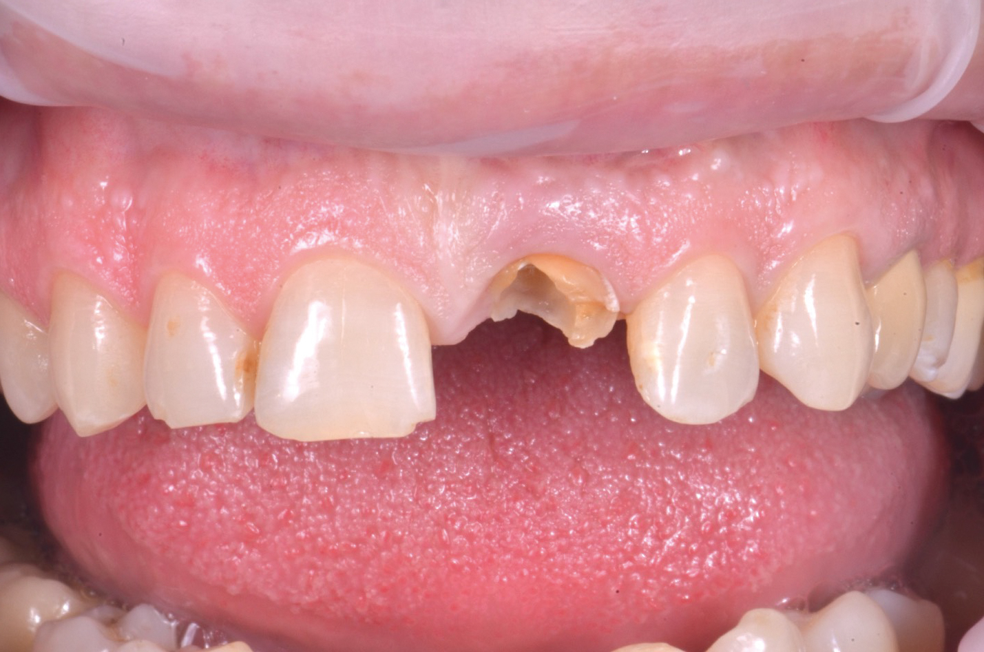
Il paziente, uomo di 50 anni, si presenta con una frattura orizzontale della corona dell’elemento 21 che lo rende non recuperabile (fig.1). Il piano di trattamento scelto è stato la riabilitazione del sito con un impianto post-estrattivo a carico immediato. Si è proceduto con la raccolta dati iniziale con scansione CBCT e impronta ottica. I dati ottenuti dalla CBCT e il file ottenuto dallo scanner sono stati importati all’interno di un software per la progettazione guidata (Msoft, MIS Implants ltd global, Bar Lev, Israele). Un terzo file corrispondente alla ceratura diagnostica ideale è stato ricavato da un software di disegno CAD (Exocad, Exocad Gmbh, Darmstadt, Germania). Una volta ottenuti tutti i file all’interno dello stesso ambiente virtuale, è stata eseguita la procedura di accoppiamento dei file e la progettazione del posizionamento implantare ideale a seconda della disponibilità ossea e dei tessuti molli come anche del futuro profilo di emergenza protesico (fig.2).


Dalla progettazione digitale sono state realizzate con l’utilizzo di una stampante 3D (Sprintray 55 PROs, Sprintray Inc, Los Angeles, CA, USA) una dima chirurgica per il posizionamento guidato dell’impianto e un posizionatore per il fissaggio del provvisorio immediato, oltre al provvisorio in resina dell’elemento 2.1 sgusciato e forato (fig.3,4,5).



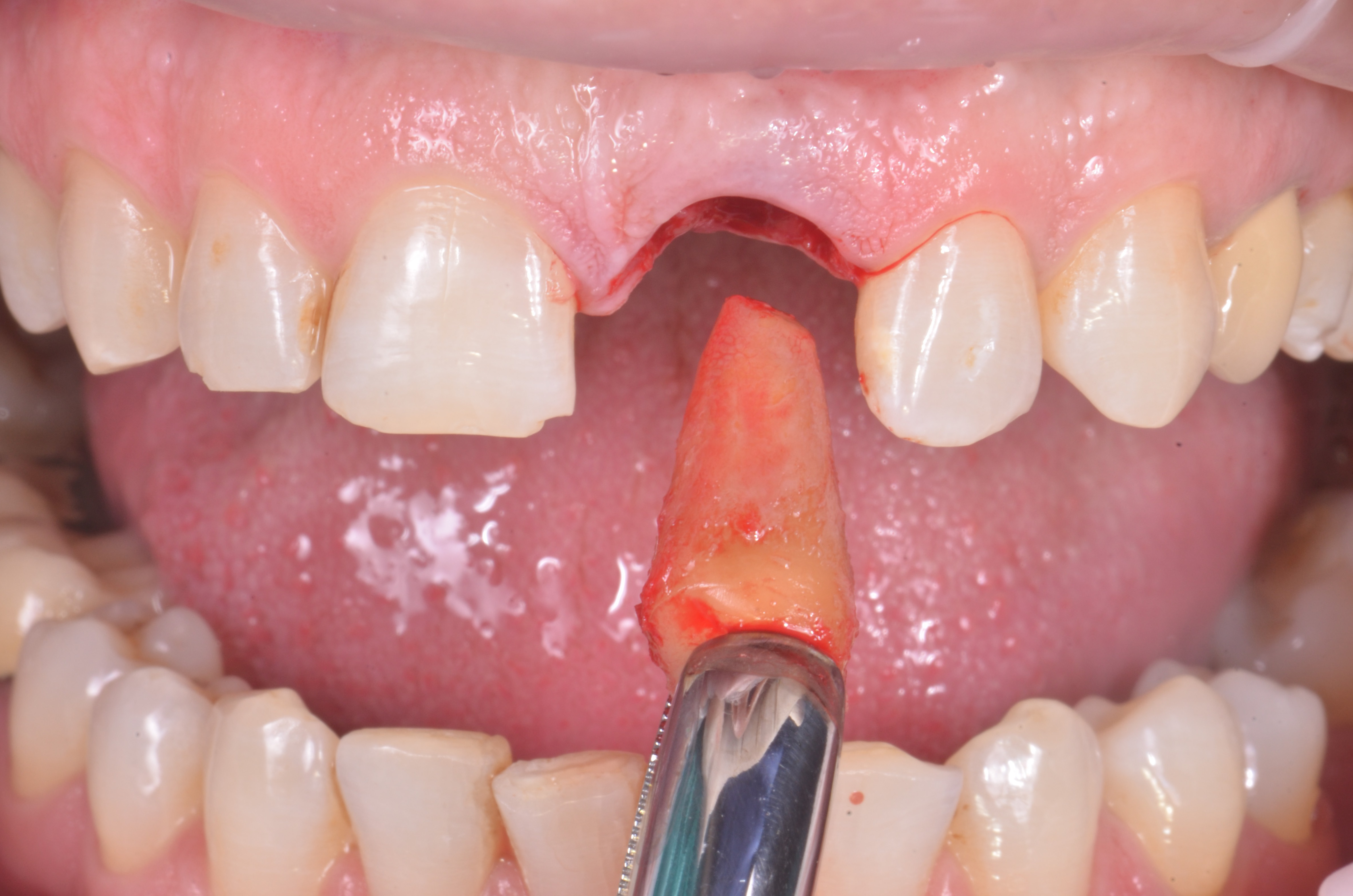
Previa somministrazione di anestesia plessica, l’elemento 2.1 è stato estratto con una procedura minimamente invasiva senza sollevare lembi (fig.6).

Una volta posizionata la dima chirurgica si è eseguita l’osteotomia guidata con frese a diametro crescente ed è stato posizionato l’impianto (MIS V3, MIS Implants ltd global, Bar Lev, Israele)(fig.7,8).


Seguendo le indicazioni del progetto chirurgico/protesico è stato posizionato un pilastro intermedio in titanio anodizzato (MIS Connect, MIS Implants ltd global, Bar Lev, Israele) con la tecnica del “one-abutment-one-time” con lo scopo di spiazzare la connessione protesica in una posizione più coronale (fig.9).

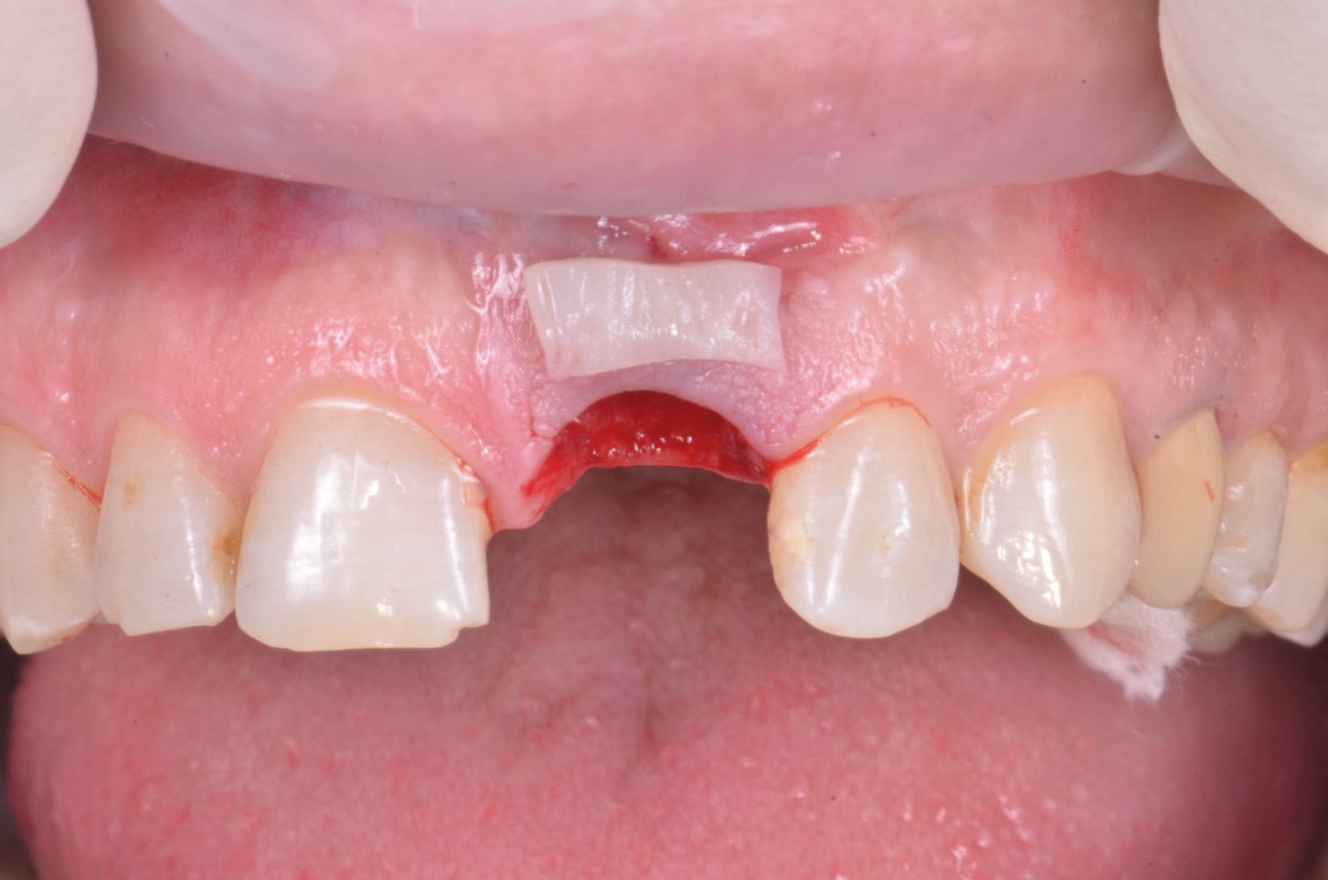
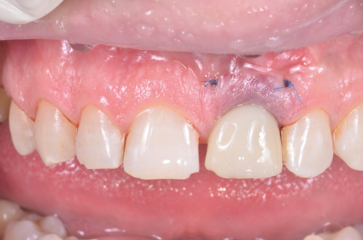
Un pilastro con vite dinamica è stato successivamente posizionato sul pilastro intermedio. Avendo optato per un inserimento post-estrattivo si è reso necessario compensare la “jumping distance” tra la parete vestibolare residua dell’alveolo e il corpo implantare e per questo è stato innestato osso bovino particolato deantigenato (Bioss, Gesitlich Biomaterials, Wollhousen, Svizzera). Successivamente sono stati gestiti i tessuti molli al fine di garantire un aspetto naturale del profilo esterno della cresta. Per questo è stato eseguito un prelievo epitelio-connettivale dal palato, successivamente de-epitelizzato, il quale è stato innestato “a busta” con un lembo a mezzo spessore con tecnica “a tunnel” sul versante vestibolare (fig.10,11).


Dal momento che l’impianto presentava un torque di inserimento superiore ai 40 N/cm2 è stato possibile proseguire con il trattamento come da progetto con la protesizzazione immediata. L’elemento provvisorio è stato fissato con del composito fluido al pilastro provvisorio grazie al posizionatore stampato 3D che ha permesso di mantenere l’esatta posizione progettata a software (fig.12).

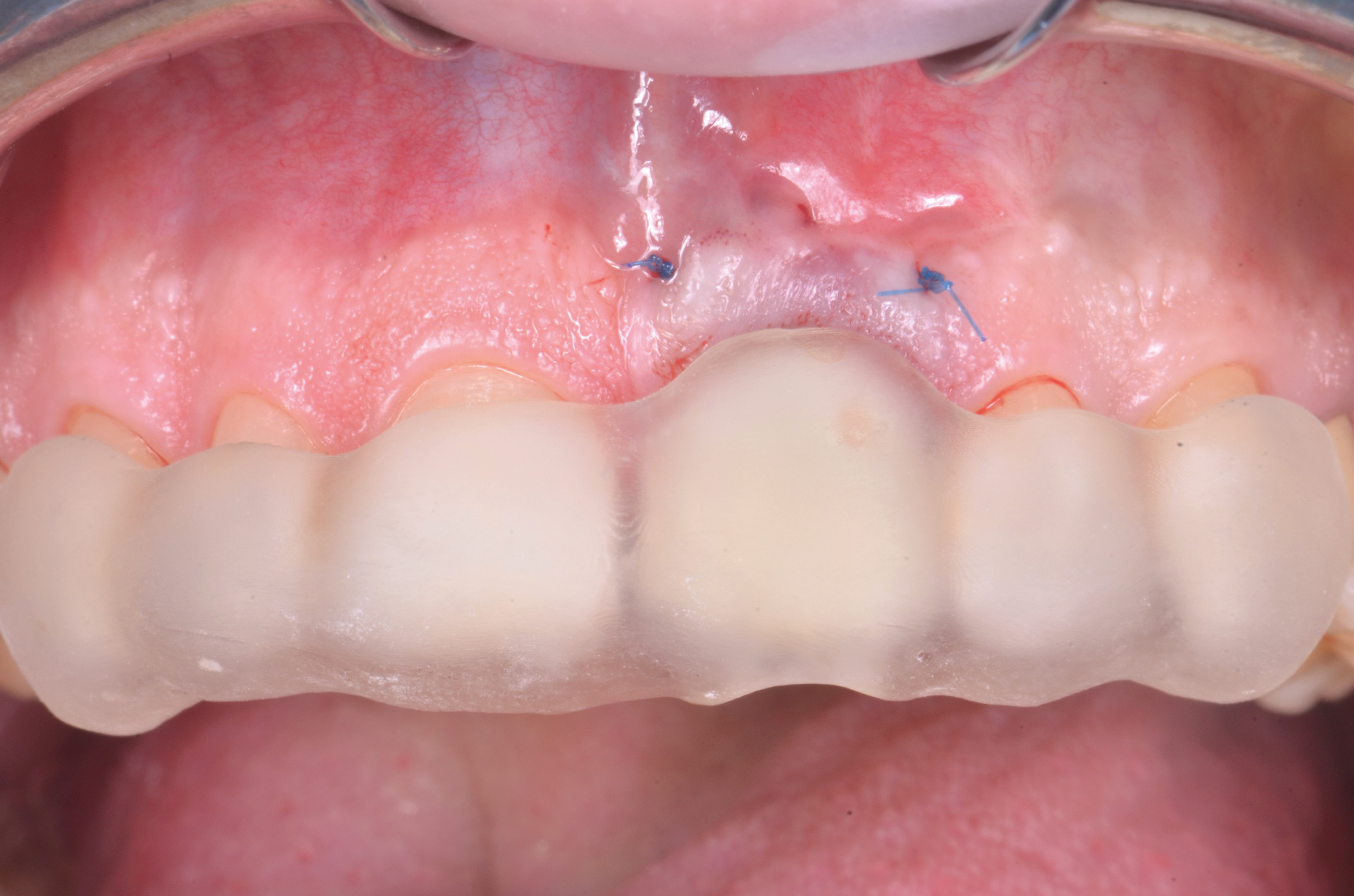
A questo punto, il provvisorio è stato rimosso e rifinito in modo da creare un profilo di emergenza che sostenesse il tessuto innestato e poi consegnato (fig.13, 14).


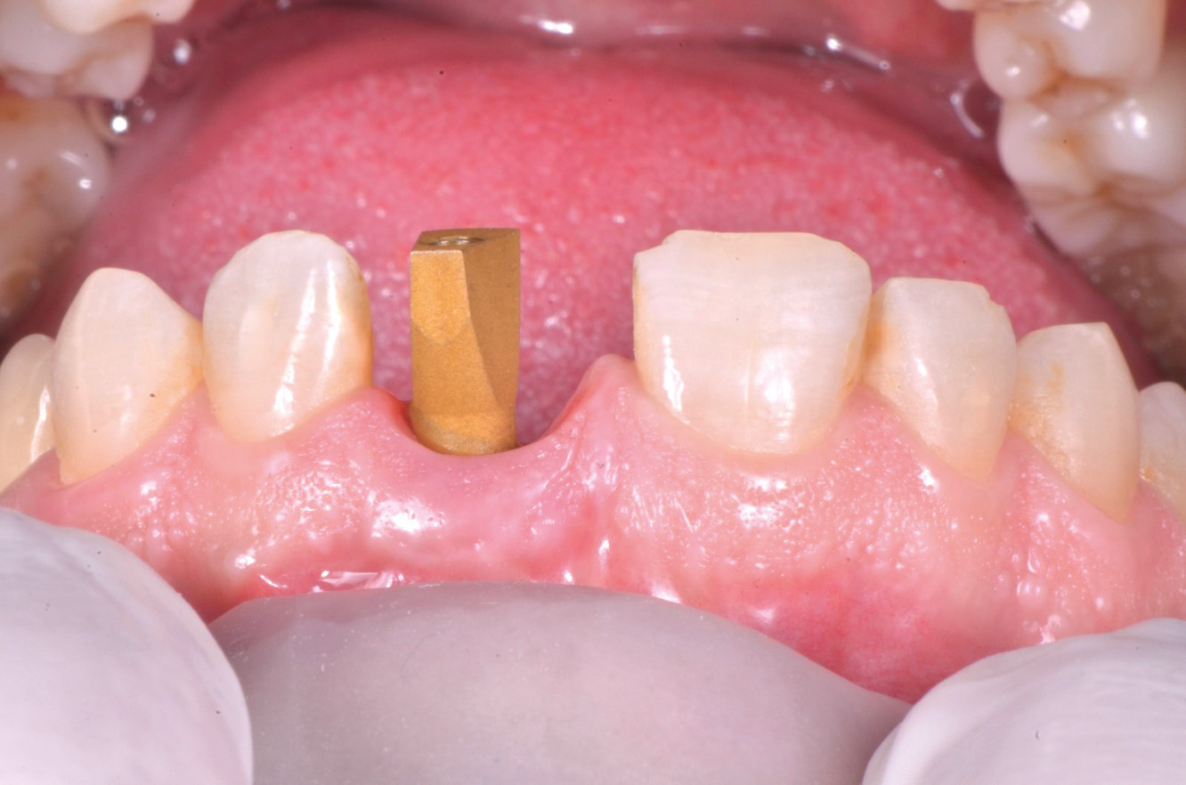
A 4 mesi dall’inserimento implantare il provvisorio è stato rimosso e si è potuto apprezzare la perfetta maturazione dei tessuti (fig.15).
È stato poi posizionato uno scan abutment ed è stata eseguita la scansione intraorale (TRIOS 3, 3Shape, Copenhagen, Danimarca) (fig.16).


Il tecnico, per creare il design della corona definitiva, ha utilizzato il design del provvisorio precedentemente creato, unendolo al profilo di emergenza creato nell’immediato post chirurgico. È stata quindi creata una corona in zirconia con colorazione superficiale incollata ad abutment in titanio che è stata successivamente serrata al pilastro intermedio (fig.17,18).


Al controllo a 12 mesi la situazione appare stabile e al controllo radiografico si apprezza il mantenimento dei livelli ossei peri-implantari (fig.19,20).

