Il Prof. Joseph Giordanetto, partendo dal suo punto di vista di ortodontista, sicuramente condiviso dai colleghi, insiste sul ruolo effettivo dell’allineatore nella terapia, sottol
Il Prof. Joseph Giordanetto, partendo dal suo punto di vista di ortodontista, sicuramente condiviso dai colleghi, insiste sul ruolo effettivo dell’allineatore nella terapia, sottolineando che altro non è che un dispositivo medico, proprio come il bracket, di cui bisogna conoscere i limiti per superarli e risolvere il caso con soddisfazione del paziente.
SMILE PLUS è il piano di trattamento completo all-inclusive che, partendo da una valutazione fotografica gratuita, propone la soluzione del caso solo con allineatori per un allineamento, un diastema o spostamenti che prevedano rotazioni di canini e incisivi inferiori ai 15° oppure una terapia combinata per i casi più complessi. Ad una prima fase con ortodonzia linguale, che garantisce l’invisibilità degli attacchi, ne segue una seconda con gli allineatori, riducendo in questo modo i tempi di 1/3.
Gli allineatori non vengono forniti in un'unica soluzione, ma si prevede un check intermedio per accertare la risposta del paziente e procedere con la produzione dei rimanenti, rivedendo il piano cura, se necessario, senza costi aggiuntivi.
Nel preventivo sono comprese anche la mascherina iniziale, la mascherina check, la finitura.
SMILE FLEX è la soluzione per l’ortodontista che voglia formularsi il proprio piano di trattamento, partendo da un set up iniziale ed acquistando solo gli allineatori necessari. Il software è in comodato d’uso gratuito per 3 mesi.
GLI ALLINEATORI NON SONO TUTTI UGUALI
- RESINA: la resina utilizzata per gli allineatori è della migliore qualità e permette una texture perfettamente levigata e di alta trasparenza
- STAMPA: gli allineatori vengono stampati a 6 atmosfere per la massima aderenza all’arcata, senza alcun gioco
- SPESSORE: spessore degli allineatori diversificato in base alla fase del trattamento
- PIATTAFORMA SMILE ENGINEERING: strumento di facile utilizzo e molto intuitivo con aggiornamento costante delle fasi del piano cura e video 3D dimostrativo
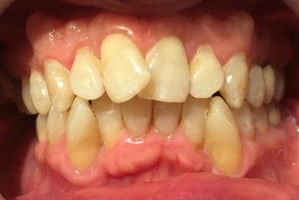
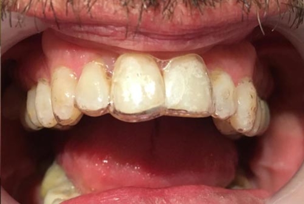
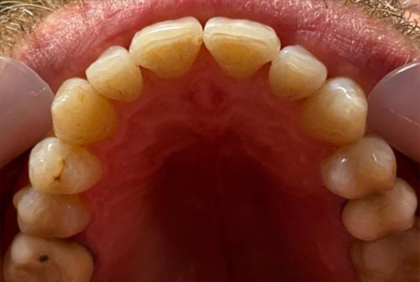
Caso clinico complesso risolto con terapia combinata

Inizio trattamento

Primo arco

Inizio fase allineatori - dopo 5 mesi di linguale

Fine trattamento - dopo 10 mesi
Aestetika srl, da sempre attenta alla ricerca di prodotti ad alto contenuto tecnologico e qualitativo, oggi rappresenta in esclusiva Dynamic per gli aspiratori extraorali, A
Aestetika srl, da sempre attenta alla ricerca di prodotti ad alto contenuto tecnologico e qualitativo, oggi rappresenta in esclusiva Dynamic per gli aspiratori extraorali, Admetec e Dr-Kim per le ottiche ingrandenti e i sistemi di illuminazione, RS Medico per l’ortodonzia
DS 3000 Dynamic, l’aspiratore extraorale con un’ efficienza di sterilizzazione pari al 99.995%
DS 3000 è l'unico aspiratore extraorale che, combinando un filtro HEPA 14, un generatore di plasma con campo elettrostatico a 8000 V e lampada led ad ultravioletti, elimina virus e microrganismi al 99,995%.
L’inalazione di aerosol, ad alto contenuto di agenti patogeni, rappresenta una delle principali vie di trasmissione di virus quali COVID-19, influenza, epatite B e C, HIV e, proprio per prevenire il contagio crociato durante il trattamento dentale, DS 3000 rappresenta ormai un partner irrinunciabile.
PERCHE’ DS 3000?
I filtri HEPA vengono classificati e raggruppati in 5 classi con caratteristiche prestazionali crescenti, in base all'efficienza di filtrazione delle particelle di 0,3 µm, in accordo alle norme UNI EN 1822 , e vengono collaudati con il metodo della dispersione di un aerosol di dioctilftalato (DOP test). L'efficienza calcolata è > del 99,999 % con particelle con diametro 0,3 µm (penetrazione 0,001%).
Partendo da questo parametro, il filtro HEPA 14 di DS 3000 viene definito “filtro assoluto”, in quanto garantisce un'efficienza del 99,995% con una penetrazione pari o inferiore a 0,005
Efficienza Penetrazione
H13 > 99,95 % ≤ 0,05
H14 > 99,995 % ≤ 0,005
Il Generatore di plasma, agendo attraverso un campo elettrostatico a 8000 V, associato alla lampada led ad ultravioletti, accelera drasticamente i tempi di sterilizzazione
La combinazione di HEPA14, Generatore di plasma a 8000 V e lampada led ad ultravioletti garantisce il più alto livello di sterilizzazione nel minor tempo possibile

ADMETEC e DR-KIM: i sistemi di ingrandimento e illuminazione unici sul mercato internazionale per qualità/leggerezza/ergonomia/modularità
ERGOLINE è l’ultimo nato della famiglia TTL di ADMETEC che, sfruttando il principio del periscopio, permette al dottore di lavorare mantenendo una postura corretta, senza dover neppure inclinare il capo.
Ingrandimenti Admetec :
- Lenti Schott AG del gruppo ZEISS
- Realizzati su misura
- Ultraleggeri – (a partire da 34 gr.)
- Galileiani TTL: 2.5x – 2.7x – 3.2x
- Prismatici TTL: 4x – 4.8x – 5,5x
- NUOVA LINEA TTL ERGOLINE: 4x – 5x – 6x con profondità di campo di circa 7 cm.
- Correzione diottrica dietro prescrizione medica

Ergoline, i primi occhiali ingrandenti periscopici
BUTTERFLY Admetec è la luce senza fili, ultraleggera – 27 gr. batteria inclusa - con tre batterie ricaricabili in dotazione, compatibile con qualsiasi ingrandente sul mercato
ORCHID-F Admetec è l’unica luce led con filtro giallo integrato antipolimerizzazione , intensità regolabile fino a 60.000 lux, compatibile con qualsiasi ingrandente sul mercato
DR-KIM rivoluziona il concetto di caschetto:
- Due luci per evitare l’ombra nel campo operatorio
- Luminosità 10000 lux
- Senza fili
- Ultraleggero: 104 gr.
- SENZA cingitesta, con due soli punti di appoggio
- Integrabile con ingrandimenti galileiani e prismatici con distanza di lavoro regolabile da 25 a 55 cm e telecamera ad alta definizione

QUEEN Brackets: gli unici attacchi prodotti con la stessa tecnologia applicata per gli orologi svizzeri
Gli attacchi Queen della RS Medico sono gli unici sul mercato internazionale ad essere prodotti interamente per fresatura con macchine CNC – a controllo numerico computerizzato -, la stessa tecnologia applicata per la produzione degli orologi svizzeri meccanici più sofisticati per garantire la precisione al micron.
- Profilo ultra basso
- Saldatura mesh/base in ogni punto di contatto per eliminare completamente il composito in fase di debonding
- Saldatura corpo/base (mesh 80) sul lato lungo per la massima stabilità
Il risultato è il trasferimento al dente del 100% delle informazioni contenute nello slot.
Queen bracket: la stessa precisione di un cronometro
www.aestetika.it