Introduzione:
La chirurgia guidata, soprattutto in ambito implantare, sta sempre più entrando a far parte della realtà clinica di tutti i giorni. Questa metodica permette infatti al clinico di avere il massimo controllo su tutte le fasi delle riabilitazioni implantari, a partire dalla diagnosi fino alle procedure operative, passando attraverso una precisa e accurata pianificazione del caso. La progettazione è incentrata sull’ottenimento del miglior risultato terapeutico possibile, spostando l’attenzione principale dell’operatore non più sulla ricerca del sito chirurgico maggiormente favorevole all’inserimento dell’impianto, ma sulla riabilitazione protesica finale. Oltre a questi aspetti, la chirurgia guidata presenta ulteriori vantaggi, sia per il clinico che per il paziente, in particolar modo consentendo una notevole riduzione dell’invasività degli interventi e un risparmio di tempo durante le fasi operative. Vantaggi che vengono accentuati anche grazie all’uso di una nuova vite di guarigione (Profile Designer iPhysio®, Lyra ETK, Sallanches, Francia) che permette di attuare un workflow completamente digitale e una riduzione ulteriore dei tempi durante le procedure di presa dell’impronta, rispetto ai protocolli tradizionali.
Il caso clinico
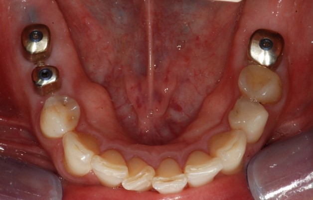
Il paziente, in buono stato di salute generale, si presentava con un’edentulia dei settori posteriori dell’arcata mandibolare. In particolar modo, all’esame obiettivo, si evidenziava l’assenza di tutti i molari inferiori e del secondo premolare di destra (Figure 1,2). Il paziente riferiva la perdita degli elementi dentali da qualche anno per motivi di carie e fratture, inoltre diceva di non aver mai provveduto ad una nuova riabilitazione principalmente per mancanza di tempo, a causa dei tanti impegni di lavoro. Si pianificava quindi una riabilitazione implantare degli elementi 45-46 e 36, da eseguire in chirurgia guidata in un’unica seduta, e con l’inserimento di nuovo tipo di abutment di guarigione chiamato Profile Designer iPhysio® (Lyra ETK, Sallanches, Francia) in grado di ridurre i tempi legati alle fasi di protesizzazione degli impianti.
Già in prima visita si procedeva alla rilevazione di una scansione intraorale con scanner TRIOS 3 (3SHAPE, Copenhagen, Danimarca) e all’esecuzione di una CBCT (NewTom, Cefla, Bologna, Italia) per la raccolta di tutti i dati utili alla realizzazione di una progettazione computer assistita. I dati DICOM e i file Stl venivano dunque importati in un software di pianificazione digitale (REALGUIDE Software Suite, 3DIEMME, Cantù, Italia). Il software permetteva come prima cosa l’identificazione del nervo alveolare inferiore, sia di destra che di sinistra, garantendo la pianificazione dell’intervento in massima sicurezza.

Fig. 1. Foto che mostra l’edentulia dei settori posteriori mandibolari.

Fig. 2. Scansione intraorale.
Successivamente, dopo l’esecuzione di una ceratura diagnostica digitale, veniva identificata la posizione corretta dove inserire i tre impianti. A questo punto veniva stabilito quale tipo di iPhysio® utilizzare per ogni singolo impianto: queste particolari viti di guarigione, infatti, possono essere scelte in base alla tipologia dell’elemento da sostituire, e allo spessore del tragitto transmucoso, offrendo i vantaggi sia degli abutment customizzati che di quelli commerciali (Figura 3).

Fig. 3. Ceratura e progetto digitale di posizionamento implantare e delle viti di guarigione.
Ultimati questi passaggi, si passava alla progettazione di una dima chirurgica a supporto dentale realizzata con tecnologia Polyjet (Stratasys, Rehovot, Israele), in modo da trasferire chirurgicamente in maniera pianificata e guidata, dal virtuale al reale, la pianificazione realizzata sulla piattaforma software (Figure 4, 5, 6, 7).

Fig. 4. Pianificazione della dima chirurgica a supporto dentale.

Fig. 5. Creazione della dima chirurgica a supporto dentale.

Fig. 6. Stampa della dima chirurgica a supporto dentale.

Fig. 7. Prova della dima chirurgica prima dell’intervento.
Si procedeva quindi il giorno dell’intervento all’esecuzione, su entrambi i lati, di un lembo sollevato a tutto spessore con un piccolo scarico distale. I lembi venivano poi ancorati alla mucosa geniena con delle suture, in modo da ottenere un miglior posizionamento della dima, la cui stabilità veniva garantita dagli elementi dentali presenti; ciò evitando che i tessuti molli potessero finire al di sotto della dima stessa, durante le fasi di fresatura. Si sceglieva di allestire i due lembi e di non eseguire una chirurgia flapless, per mantenere la maggior quantità possibile di tessuto cheratinizzato.
Posizionata la dima si passava alla preparazione dei siti implantari, con un kit di frese dedicato alla chirurgia guidata, e all’inserimento degli impianti (Naturactis, Lyra ETK, Sallanches, Francia). Queste fasi si svolgevano in modo veloce e sicuro, non dovendo pensare alla posizione finale, sia in senso verticale che orizzontale, degli impianti, essendo considerazioni già effettuate in fase di progettazione.
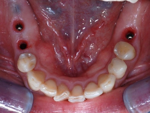
A completamento dell’intervento venivano avvitati gli abutment di guarigione selezionati e suturati i lembi.
Il controllo radiografico finale evidenziava il buon esito dell’intervento e la riproduzione fedele del progetto digitale iniziale (Figura 8).
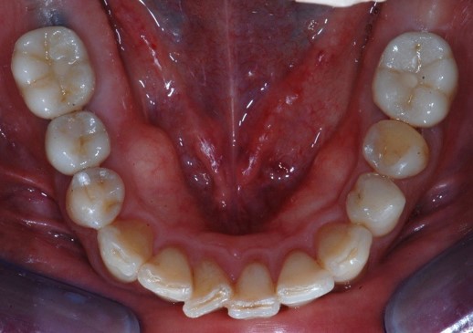
Passato un periodo di circa 3 mesi per la corretta osteointegrazione degli impianti, si procedeva con le fasi di protesizzazione (Figura 9).

Fig. 9. Controllo a 3 mesi di distanza dall’intervento.
L’utilizzo degli iPhysio® permette, in queste fasi, un ulteriore risparmio di tempo. Questo tipo di abutment di guarigione presenta l'ulteriore vantaggio di funzionare infatti da scanbody, permettendo una presa dell’impronta con tecnica digitale senza dover esser rimosso (Figura 10).

Fig. 10. Scansione intraorale per la realizzazione delle corone protesiche.
Ne consegue la possibilità di lasciare il dispositivo in situ, fino al posizionamento della protesi definitiva, evitando ripetute procedure di disconnessione e riconnessione, potenzialmente in grado di portare ad un maggior riassorbimento osseo peri-implantare.
L’impronta digitale per la realizzazione dei manufatti protesici veniva quindi inviata al laboratorio; qui l’odontotecnico poteva recuperare automaticamente il profilo di emergenza sottogengivale della vite di guarigione, progettato per essere identico al profilo di emergenza dei monconi finali, e realizzare le corone con tecnica CAD/CAM (Figure 11, 12).

Fig. 11. Progettazione delle corone protesiche in laboratorio tramite software CAD.

Fig. 12. Visualizzazione tramite software CAD delle corone finali.
A distanza di circa una settimana dalla scansione il paziente veniva fatto venire nuovamente in studio per la consegna delle tre corone definitive avvitate e completare così la riabilitazione implanto-protesica (Figure 13, 14).

Fig. 13. Rimozione degli iPhysio® Profile Designers.

Fig. 14. Consegna delle corone avvitate.