Non sempre le storie vanno per il verso giusto, anzi, quasi mai. A volte capitano solo piccoli e quasi impercettibili scostamenti dall'ideale immaginato; altre volte, per fortuna più raramente, dei disastri completi. Quella che vi raccontiamo oggi è una di quelle storie dove non ho raggiunto il mio obiettivo, dove ho perso una sfida con un amico.. Tutto ha avuto inizio in una tiepida notte palermitana…il colpevole? L'ennesima comanda di Gin Tonic in un insolito bar nel centro città.
Presentazione della sfida
Il flusso digitale da scansione intraorale è, a distanza di qualche anno dal suo ingresso negli studi dentistici, ancora poco compreso dai clinici e a volte anche dalle aziende stesse. Il dubbio è se il flusso suggerito dalla casa costruttrice sia il miglior percorso possibile, e se ci siano delle differenze sostanziali tra un percorso consigliato ed uno maggiormente personalizzato.
“Sacrificando la complessità dei movimenti o l’interpretabilità della casistica, riceviamo in cambio una semplificazione dei protocolli facilmente accettabili dagli utilizzatori dei flussi digitali meno esperti.”
Mario con questa tesi voleva scardinare dalla mia mente la comoda sicurezza di un protocollo validato, e non era la prima volta. Lui l’aveva già fatto, nell'articolo che pubblicò un paio di anni fa con Francesco Mangano (Continuous Scan Strategy: A Novel Technique to Improve the Accuracy of Intraoral Digital Impressions – M. Imburgia, J. Kois, E. Marino, H. Lerner, F. Mangano, European Journal of Prosthodontics and Restorative Dentistry 2020). Pensai che stesse cercando di rifarlo ora, a notte fonda, con un Gin Tonic in mano. E per me fu subito una sfida irrinunciabile.
La sfida: sarà disfatta o gloria?
Quando hai in casa il flusso tecnologico e produttivo completo, puoi permetterti anche di accettare una sfida di questo genere.
Mario avrebbe preso per 3 volte le scansioni al paziente, con 3 strategie differenti: quella consigliata dall’azienda costruttrice (3Shape), quella consigliata da un’azienda concorrente, e la sua personale.
Io avrei modellato e fresato 3 strutture differenti, per poi confrontare i risultati statici e radiografici sul paziente.
Le costanti sarebbero state gli scan-abutments e nella sfida, come nella professione quotidiana, ci siamo affidati a quello che consideriamo il miglior prodotto in circolazione oggi, ovvero gli ScanBody IPD ProCam con connessione NobelActive CC (AbutmentCompatibili.com - IPD Dental Group - Barcellona - Spagna) (Fig.1).
Il caso e il suo percorso
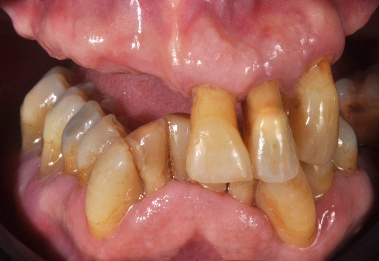
Il paziente era un uomo di Palermo, reso edentulo nell'arcata superiore dall'estrazione degli ultimi elementi dentari ormai irrecuperabilmente compromessi. Data l’età ancora non avanzata ed una vita sociale e lavorativa piena, chiedeva di essere riabilitato con un’arcata fissa e un'estetica eccellente.
La chirurgia, gestita con tecnica guidata, ha portato ad una prima protesizzazione provvisoria a carico immediato. Questo ci ha permesso di portare con tranquillità a maturazione i tessuti molli e l'integrazione degli impianti sottostanti (Fig. 2, 3, 4).

Fig. 2. Paziente prima dell’intervento implantologico

Fig. 3. Dima per chirurgia guidata

Fig. 4. Carico immediato con provvisorio in metallo/resina
Ormai da anni usiamo con successo protesi completamente avvitate su Multi-Unit o su connessione diretta all'impianto. Solo nei casi complessi usiamo viti con canali inclinati. L'assenza di cementi e la semplicità della rimovibilità della protesi, unita ad un flusso full-digital, rende questa procedura assolutamente predicibile ed economicamente vantaggiosa. Almeno su questo io e Mario siamo pienamente concordi, anche dopo svariati Spritz Campari.
L'importazione delle 3 serie di scansioni intraorali è stata gestita con due software differenti: Exocad (Exocad GmbH - Darmstadt - Germania) e ModelPro (AbutmentCompatibili.com - IPD Dental Group - Barcellona - Spagna) per la parte relativa ai modelli (Fig. 5, 6, 7).

Fig. 5. ScanBody IPD ProCam su paziente

Fig. 6. Scansione intraorale importata in Exocad

Fig. 7. Scansione intraorale importata in ModelPro per la progettazione dei modelli da stampare
Un solo operatore ha modellato 3 arcate con connessione diretta ed un solo operatore ha progettato 3 modelli da stampa 3D (Fig. 8, 9, 10).

Fig. 8. Evidenza del perfetto accoppiamento tra libreria e scansione intraorale

Fig. 9. Modello stampato in resina con analoghi IPD ProCam con doppia vite assiale e laterale

Fig.10. Provino in alluminio medicale
In Exocad abbiamo utilizzato le librerie ufficiali IPD-ProCam Direct-to-Implant-(ANG) (AbutmentCompatibili.com - IPD Dental Group - Barcellona - Spagna). La modellazione è stata eseguita come se fosse la definitiva, con il medesimo livello di attenzione ai dettagli e con l'utilizzo di 2 viti TPA, sempre di IPD Dental Group, nel settore frontale.
Le prove e i futuri definitivi sono stati comunque consegnati con sole viti TPA per fori angolati, anche dove i canali vite non sono stati inclinati; questo ha semplificato il montaggio della protesi e faciliterà la gestione futura, in caso di rimozione dal cavo orale.
In ModelPro abbiamo utilizzato le librerie per Analogo 3D digitale con "OffSet00" nei settori distali, mentre nei frontali è stato impiegato "OffSet15" per via dell'inclinazione degli impianti e di conseguenza della leggerissima tendenza a stringere che hanno le resine su cave non verticali.
Le due triplette di file sono state inviate: una verso un fresatore Evolution PLUS (Santa Barbara srl - Pagliare Ascoli Piceno - Italia) da metallo a 5 assi con mandrino da 3,5 kw con l'intento di fresare una cialda di alluminio ad alta resistenza; l'altra, ovveri i 3 file dei modelli da stampa, ad una delle stampanti Voco Solflex 170HD, caricata con la sua rispettiva resina da modelli Voco V-Print Model (Voco Gmbh- Cuxhaven, Germania) (Fig. 11, 12, 13).

Fig. 11. Assemblaggio delle strutture in alluminio con le anatomie stampate in 3D

Fig. 12. I tre provini in fase di lavorazione

Fig. 13. Viti TPA per fori inclinati fornite contestualmente ai provini
Le anatomie stampate per la presa della masticazione e dimensione verticale sono state mantenute identiche tra loro e sono state poi correttamente assemblate sui propri provini in metallo, così da completare i 3 Kit inviati a Mario per la valutazione clinica e il responso della scommessa.
I provini sono stati quindi posizionati e valutati dal punto di vista radiografico e con la prova di Sheffield. Abbiamo subito scartato il 2° provino metallico, quello che prevedeva la strategia di acquisizione proposta da una nota azienda concorrente mentre, tra il movimento ufficiale suggerito della casa produttrice dello scanner e quello modificato da Mario, è stato clinicamente scelto quello modificato, anche s la differenza tra i due era davvero minima. Soggettivamente le strutture venivano valutate come "quasi identiche”.
Una volta confermato il progetto che clinicamente offriva più precisione rispetto alla posizione implantare, ho prodotto la struttura definitiva con tecnologia additiva e successiva fresatura in ripresa (Fig. 14, 15, 16).

Fig. 14. Struttura in LaserMelting con particolari meccanici ripresi in fresatura a 5 assi

Fig. 15. Viti TPA per fori inclinati forniti contestualmente alla struttura definitiva

Fig. 16. Vista occlusale della lavorazione sui canali vite ripresi in fresatura
La parte di ceramizzazione è stata affidata ad una solida certezza interna al nostro laboratorio DentOne: Fabrizio Pasini, il quale ha espresso il suo sublime gusto estetico stratificando ad arte una base in CoCr con ceramica Shofu (Fig. 17, 18, 19, 20, 21).

Fig. 17. Stratificazione estetica multi-massa effettuata da Fabrizio Pasini

Fig. 18. Vista palatina della ceramizzazione del gruppo frontale e degli accessi vite con foro inclinato

Fig. 19. Vista vestibolare della ceramizzazione conclusa

Fig. 20. Vista linguale della ceramizzazione conclusa

Fig. 21. Vista occlusale della ceramizzazione conclusa
In questa fase, con queste procedure, sono fondamentali i materiali dei modelli stampati e le relative macchine di produzione (stampante, vasca di lavaggio, forno di polimerizzazione).
Le posizioni implantari sono validate dai provini in metallo e dall’incredibile precisione degli Analoghi 3D con doppia vite. L'occlusione è invece affidata alla qualità della scansione ed alla stabilità delle resine.
In passato era facile ritrovare sovra occlusioni o sotto occlusioni vistose dovute alla compenetrazione dei file di scansione, alle resine e alle stampanti che non risultavano stabili neanche a modello fresco di stampa ed ad un’inevitabile inesperienza degli operatori clinici e tecnici.
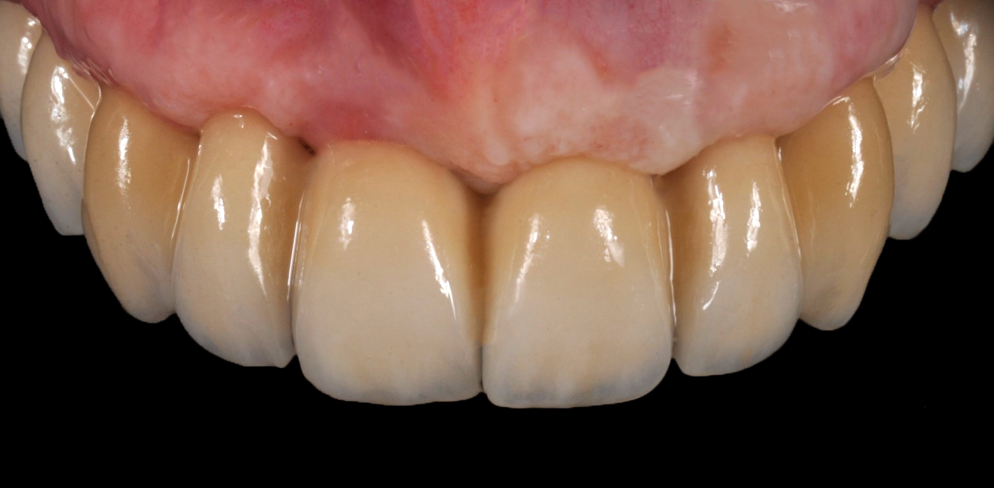
La consegna dall'arcata definitivamente ceramizzata e con le connessioni, solo minimamente pulite dall'ossido creato dai passaggi in forno, ha generato le radiografie di validazione della corretta lavorazione, sia meccanica che estetica, permettendo al paziente di tornare alla sua frizzante vita pubblica, sfoggiando un sorriso all'altezza dello studio Imburgia di Palermo (Fig. 22, 23).

Fig. 22. Consegna dell’arcata in metallo/ ceramica

Fig. 23. Radiografia panoramica di validazione e controllo dei corretti accoppiamenti implantoprotesici
Purtroppo la scommessa con Mario è andata persa: io sostenevo che il movimento di acquisizione ufficiale sarebbe stato il migliore, mentre Mario riteneva che il movimento modificato avrebbe dato esiti preferibili. Ahimè, per il mio orgoglio campano, ho dovuto accettare la sconfitta (almeno per ora...).
Conclusioni, titoli di coda e sigla finale:
Premettendo che considero questa sfida da me persa, ma per poco, resta ancora aperta la discussione sulla necessità di modificare o meno le traiettorie ed i percorsi di scansione intraorali. I movimenti suggeriti dalle case produttrici garantiscono standard estremamente validi, per ciò che concerne veridicità ed accuratezza della scansione. Resta, tuttavia, la possibilità di personalizzare la strategia di scansione, innalzando ulteriormente la qualità finale del file, anche se a discapito di una rassicurante standardizzazione dei protocolli. Ciò rende la procedura meno semplice per un neofita del digitale. Abbiamo iniziato a vivere con difficoltà la nostra professione nel momento in cui abbiamo smesso di chiederci cosa fosse giusto o sbagliato, e abbiamo iniziato a domandarci cosa convenisse. Ragionare per “convenienza”, ha tirato fuori l'animo che non è né di Ettore, né di Achille, ma di Ulisse: la convenienza è essere scaltri, cercare il “cavallo di Troia”, voler essere più furbi degli altri. Ma a noi due è sempre piaciuto essere l’uno Ettore, e l’altro Achille.