Il presente caso clinico illustra il trattamento “full digital” di un caso di inestetismi e diastemi, attraverso preparazioni minimamente invasive.

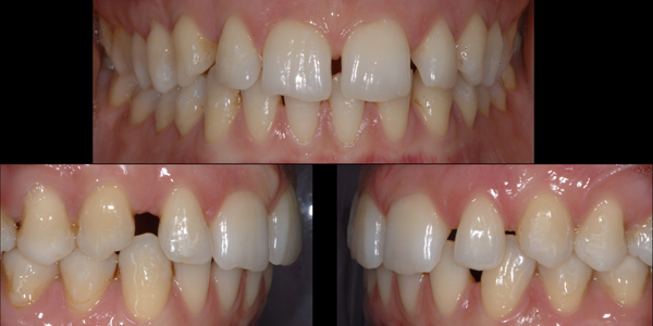
Fig. 1. Situazione intraorale iniziale. La presenza di diastemi importanti e di evidenti disarmonie morfologiche coronali ha spinto questa giovane ragazza a rivolgersi allo specialista per migliorare il suo sorriso, richiedendo espressamente una terapia che non fosse eccessivamente prolungata o aggressiva. Alla paziente è stato inizialmente spiegato che, per un risultato ottimale, sarebbe stata necessaria la correzione preliminare della posizione dei denti attraverso un’adeguata terapia ortodontica, magari con allineatori, minimizzando così l’intervento restaurativo sugli elementi dentari. Dopo lunghe discussioni, la paziente ha ribadito di non essere disponibile ad affrontare terapie prolungate ed ulteriormente dispendiose, con la consapevolezza di approdare ad una soluzione di compromesso.

Fig. 2. Prima di qualunque intervento, è stata realizzata alla poltrona una rapida previsualizzazione del possibile risultato estetico, utilizzando il software Dental Desktop Smile Design (3Shape, Copenhagen, Denmark), grazie alla quale sono stati evidenziati nuovi volumi, forme, disposizioni e simmetrie dentali, facendo notare alla paziente che, in assenza di ortodonzia, la linea mediana inferiore sarebbe comunque rimasta fuori centro.

Fig. 3. In seguito, attenendosi alle morfologie proposte nel “digital smile”, è stato effettuato un “mock-up” intraorale indiretto, con sei elementi in PMMA fresato fresatore DWX-50 (DGSHAPE a Roland Company, Hamamatsu, Giappone) uniti tra loro, da utilizzare in seguito come restauri provvisori, ottenendo dalla paziente un entusiastico consenso.

Fig. 4. Le preparazioni sono state effettuate nel settore antero-superiore da canino a canino con approccio mini-invasivo, preservando smalto sano su tutta la superficie ed ai margini delle preparazioni, per garantire adesione ottimale e longevità dei restauri.

Fig. 5. Al termine delle preparazioni sono state realizzate le scansioni intraorali delle arcate dentarie di cui in figura si evidenzia l’allineamento del piano occlusale in ambiente CAD (Dental System Premium 3Shape, Copenhagen, Denmark). Data la cospicua modifica di forme e volumi, si è optato per disilicato di litio, stratificato, preferendolo alla ceramica feldspatica in virtù della maggiore resistenza alla flessione.

Fig. 6. Controllo di riferimento con la scansione intraorale del mock-up.



Figg. 7-8-9. Progettazione digitale dei sottili gusci attraverso il cut-back per le masse ceramiche.

Fig. 10. Per le fasi di progetto CAD si è rivelata particolarmente utile la scansione del volto della paziente, realizzata con iPhone X (Apple, Cupertino, USA) e software Bellus 3D (Silicon Valley, USA), che è stata allineata alle scansioni intraorali, al fine di ottimizzare l’interazione tra studio e laboratorio.

Fig. 11. Progettazione di un modello digitale con elementi carotati sfilabili e sua realizzazione con stampante 3D DWS XFAB 2500 e resina Invicta 917 (DWS, Thiene, Italia), che servirà a consentire la stratificazione delle masse ceramiche.


Fig. 12,13. I restauri vengono fresati CAD CAM da un disco di cera calcinabile, già collegati ai canali di colata per il posizionamento sulla basetta di pressatura. I modellati in cera vengono in seguito sottoposti a presso-fusione, selezionando pellet ad alto valore e traslucenza (e-Max Press, Value 2, Ivoclar Vivadent, Schaan, Liechtenstein). Le veneers vengono infine stratificate con ceramica eMax Ceram (Ivoclar Vivadent, Schaan, Liechtenstein) e finalizzate con trattamenti meccanici di superficie, con feltrini imbibiti di pasta diamantata (Renfert Dia-Finish, Renfert, Hilzingen, Germany), per ottenere la brillantezza desiderata.



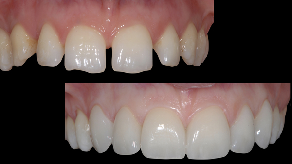
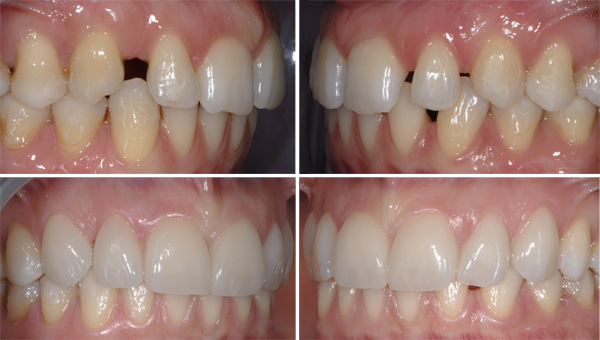
Fig. 14, 15 e 16. I restauri sono stati infine cementati adesivamente (Panavia V5 - Kuraray Noritake, Tokio, Japan). Le immagini mostrano una nuova armonia del sorriso più che accettabile, nonostante fosse stata fin dall’inizio rifiutata dalla paziente la terapia ortodontica preliminare.
Pubblicato su Infodent Dicembre 2019 - Rubrica Dental Tech pag 16