IL CASO CLINICO
Documentare un caso con una fotografia di qualità permette di dare il giusto valore al proprio operato. Le fotografie realizzate di seguito, non hanno solamente il compito di descrivere un caso clinico, ma diventano un importante elemento di comunicazione con altri pazienti, e un elemento per la formazione scientifica odontoiatrica e odontotecnica. Siamo convinti che la stragrande maggioranza dei professionisti siano in grado di riprodurre fotografie di qualità, in modo più semplice di quanto possano credere. Presentiamo di seguito alcune fotografie relative ad un caso chirurgico, dalla fase diagnostica al risultato post-operatorio, coronate da qualche scatto di stampo artistico. Il paziente è stato trattato dal Dr. Fabio Faustini e dall’Odt. Christian Dalla Libera. Abbiamo lavorato in un team sinergico che ha applicato conoscenza, attenzione, precisione, tecnologie all’avanguardia e materiali biocompatibili di ultima generazione.
MATERIALI UTILIZZATI: Componentistica implantare: OXY IMPLANT FIXO Componentistica protesica G-CAM MULTICHROMA disco in biopolimero di grafene nano rinforzato per il fresaggio CAD-CAM della Graphenano Dental Stratificato con composito BREDENT crealign Materiali da impronta: Rilievi iniziali con Carestream 3600 e occlusione con Occlufast con rilevamento della linea mediana.
Intraoperatorie con gesso KERR Snow White e Occlufast Intervento e diagnosi: Dott. FABIO FAUSTINI Realizzazione protesica: ODT. CHRISTIAN DALLA LIBERA e LAB GOLD DENTAL
Documentazione fotografica e gestione paziente extraclinica: SIG. LUCA GOISIS
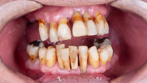
Il paziente ci è stato indirizzato dal caro amico Dott. Alex Temprendola, che desidero ringraziare per aver riconosciuto la nostra professionalità e attenzione nel trattare casi riabilitativi complessi. Il paziente si presentava alla nostra attenzione con estetica e funzionalità altamente compromesse a causa di una serie di fattori (principalmente fumo e scarsa motivazione all’igiene). Prima di effettuare l’intervento il paziente ha seguito un percorso finalizzato ad una riabilitazione all’igiene e alla diminuzione drastica del numero di sigarette giornaliere. Consapevole dei rischi biologici derivanti dal fumo, il paziente è poi passato definitivamente alla sigaretta elettronica a vapore. Il paziente era sottoposto ad un’anamnesi approfondita che risultava perfetta; nessuna patologia pregressa e valori ematochimici rientranti nella norma. Di seguito la documentazione fotografica del trattamento eseguito.


Fig. 1 e Fig. 2. Paziente pre e post-intervento. Fotografia realizzata con obiettivo a 50mm per non distorcere le proporzioni, flash a torcia e softbox e paziente posizionato su sgabello da riunito. I due scatti sono stati realizzati adottando dei punti di riferimento affinché fossero il più simili possibile. Quando si vuole riprodurre un prima e dopo è importante segnarsi i parametri dello scatto (posizione paziente, parametri luci, distanza). Premessa: tutte le fotografie sono state fatte con dei parametri standard: tempo di scatto 1/125 diaframma f28/32 e ISO 100/200. La differenza in fotografia viene sempre fatta dalla messa a fuoco e dalla gestione delle fonti di luce. La fotografia odontoiatrica può essere praticata con semplicità, ma è sempre bene che riproduca fedelmente il soggetto fotografato senza distorsioni o eccessive manipolazioni.




Fig. 3, 4, 5, 6. Status fotografico pre-operatorio mostrante le condizioni aggravate del paziente e l’evidente bisogno di ripristino estetico e funzionale. Le fotografie assieme agli esami radiografici e scansione intraorale sono state un importante elemento di studio. Scatti realizzati con flash laterali e bouncer.




Fig. 7, 8, 9, 10. Fotografie del paziente post-intervento dopo aver avvitato, rifinito e funzionalizzato le protesi. Le fotografie sono state scattate con apribocca “a manina” tenuti dal paziente, flash a torcia e softbox GODOX con obiettivo macro 105mm.





Fig. 11, 12, 13, 14, 15. Alcuni scatti effettuati durante la realizzazione protesica, avvenuta in contemporanea all’intervento di bonifica e inserimento implantare.

Fig. 16, 17, 18, 19, 20, 21, 22, 23. Fase chirurgica del caso. Dopo aver proceduto all’estrazione degli elementi cercando di mantenere il più possibile intatti gli alveoli è stato stabilito dall’indagine pre-operatoria quanta osteotomia realizzare al fine di ripristinare al meglio funzione ed estetica. Nelle immagini possiamo osservare l’approccio osteotomico applicato ad entrambe le arcate. Le fotografie sono state realizzate avvalendosi di flash anulare in TTL e correzione luci e ritaglio in post-produzione.

Fig. 24. Arcata superiore, impianti distali con mounter FIXO e impianti gruppo frontale in inserimento. La fotografia è stata realizzata avvalendosi di un contrastatore nero incliinato di 45° rispetto al piano occlusale, flash laterali con bouncer per ottenere un effetto con maggiore tridimensionalità (luce indiretta ovvero proveniente da una fonte che riflette la luce sul soggetto, lateralmente).


.
Fig. 25, 26, 27. Sequenza di inserimento dell’impianto tiltato distale, scattate con flash anulare in TTL e ritaglio corretto in post-produzione




Fig. 28, 29, 30, 31. Ultimazione della fase protesica attraverso rilievi occlusali per poter finalizzare la protesi. Flash anulare in TTL; questa scelta rimane un’opzione ottimale per le fotografie intraoperatorie, soprattutto quando abbiamo a che fare con un intervento chirurgico riabilitativo che può comportare diverse ore di lavoro. È fondamentale dunque riuscire a realizzare fotografie nel minor tempo possibile con il massimo della qualità.

Fig. 32. Adattamento della protesi post chirurgia dopo i rilievi effettuati attraverso impronta in gesso e posizione rilevata con Occlufast.

Fig. 33. Rifinitura e stratificazione delle protesi con i prodotti BREDENT, caratterizzati da una qualità che personalmente ritengo superi l’eccellenza dal punto di vista qualitativo ed estetico. Ringrazio l’ODT del caso Christian Dalla Libera per avermi fatto conoscere questo prodotto.


Fig. 34, 35. Fotografie realizzate su fondale bianco con flash a torcia e softbox GODOX con obiettivo 24-70mm. Per evitare la distorsione prospettica le fotografie sono state scattate tutte tra 50mm e 70mm.

Fig. 36. Scatto della protesi ultimata con sfondo nero e la configurazione fotografica riportata nelle figure precedenti.
Ribadiamo un concetto: molte volte una comunicazione insistente e mirata, può realmente cambiare le abitudini viziate di un paziente. Attualmente a 9 mesi dall’intervento il paziente presenta condizioni igieniche eccellenti ed un’estetica e funzione completamente riabilitate. Siamo riusciti a riabilitare un paziente non solo dal punto di vista chirurgico e protesico, ma anche dal punto di vista umano, dandogli consapevolezza del prendersi cura di sé.
Pubblicato su Infodent Dicembre 2022 - Rubrica Dental Tech