Introduzione
Viene presentato il caso di una paziente portatrice di protesi totale rimovibile inferiore e di riabilitazione mista superiore, la cui componente precedentemente fissa non aveva più stabilità posizionale a causa dell’estrema compromissione degli elementi dentali di supporto.
La paziente è stata riabilitata tramite protesi fisse a supporto implantare provvisorie a carico immediato. I restauri provvisori sono stati sostituiti dai definitivi in zirconio monolitico dopo 3 mesi.
Sia le protesi fisse provvisorie sia quelle definitive sono state progettate tramite un flusso digitale.
Caso clinico
La paziente di 78 anni, in buono stato di salute generale, si presentava con una vecchia riabilitazione parziale rimovibile superiore supportata, tramite attacchi di precisione, da una protesi fissa che aveva ormai perso la sua stabilità posizionale a causa della grave compromissione degli elementi dentali. L’arcata inferiore era riabilitata tramite protesi totale rimovibile ormai incongrua (Fig. 1, 2).
La protesi fissa superiore veniva riportata nella sua posizione originale quando la paziente chiudeva in massima intercuspidazione (MI).
La paziente accettava la proposta di trattamento atta a riabilitare le arcate mediante due protesi fisse a supporto implantare.
Considerata l’età della paziente, venivano programmati due interventi separati da eseguire secondo la tecnica All-on-4 seguiti da carico immediato mediante protesi avvitate in metil-metacrilato (MMA) rinforzate da una barra di titanio estesa fino ai monconi provvisori distali e saldata al laser ai due monconi mesiali (LM500S, Sisma®).
Vista l’urgenza di una soluzione percepita dalla paziente il primo intervento è stato eseguito 3 giorni dopo la prima visita.
L’impronta, la registrazione e la costruzione della protesi provvisoria sono state eseguite seguendo il protocollo DENTI FISSI IN 5 ORE®.

Fig. 1. Situazione iniziale aspetto extraorale.

Fig. 2. Situazione iniziale aspetto intraorale
Durante il primo ed unico appuntamento precedente l’intervento superiore sono stati acquisiti i dati radiologici necessari (CBCT delle due arcate), campioni ematici per gli esami ematochimici e l’elettrocardiogramma. Al fine di progettare il ponte provvisorio superiore ed una protesi totale provvisoria inferiore sono state acquisite le scansioni intraorali dell’arcata superiore (TRIOS® 5, 3shape) bloccando provvisoriamente la protesi fissa superiore con materiale resinoso (OpalDam®, Ultradent) ai residui radicolari nella posizione di relazione centrica.
Sono state poi acquisite la scansione della protesi totale inferiore fuori dalla bocca e la scansione delle arcate in occlusione (Fig. 3).
Le scansioni facciali con apposito Fork per l’accoppiamento, in posizione di riposo e in massimo sorriso sono state acquisite nella medesima seduta (Easy Face Scan®).
Utilizzando un programma CAD (Rijeka®, Exocad) le lOS e la scansione facciali sono state accoppiate grazie ad un apposito Fork il quale viene relazionato all’arcata superiore mediante un’impronta, sul Fork stesso, in materiale siliconico (Occlufast Rock®, Zhermack). (Fig. 4, 5)
Tutti i file necessari per la costruzione del paziente virtuale vengono importati nel CAD dove vengono fatti tutti gli allineamenti necessari attraverso zone di repere che i file hanno in comune.

Fig. 3. Massima intercuspidazione rilevata con scanner intraorale

Fig. 4. Adattamento del fork durante la scansione facciale

Fig. 5. Impronta dell’arcata superiore sul fork mediante silicone rigido a rapido indurimento
Una volta costruito il paziente virtuale all’interno del software CAD (Rijeka®, Exocad) e inserito lo stesso all’interno del modulo di articolatore virtuale (Artex CR®, Amann Girrbach) le nuove arcate sono state progettate partendo da una libreria (Heros Collection®, ZIRKONZAHN).
I parametri estetici sono stati decisi in modo standardizzato:
- Posizionando il margine incisale dei centrali con un’esposizione di 2 mm dal labbro superiore a riposo e, a livello antero-posteriore sul bagnasciuga del labbro inferiore
- Posizionando la linea mediana equidistante dalle commessure labiali nel massimo sorriso
- Rendendo il piano occlusale frontale dell’arcata superiore parallelo al piano bi-pupillare (Fig. 6)
- Rendendo il piano occlusale antero-posteriore dell’arcata superiore parallelo al piano di Camper.
Tutte le sopraelencate informazioni, grazie alle scansioni facciali, sono a disposizione dell’odontotecnico che, durante tutte le fasi di progettazione, potrà lavorare direttamente all’interno del volto del paziente. L’arcata superiore è prioritaria nel concepimento della nuova estetica e funzione.
Una volta progettata l’arcata superiore sulla base dei criteri estetici sopraelencati, i denti dell’arcata inferiore vengono poi posizionati con occlusione standard da protesi fissa e con guida canina.
Ultimato il settaggio dei denti, è stata progettata una base per la protesi totale rimovibile provvisoria inferiore, ed una base di supporto per l’arcata superiore che sarà poi necessaria per le fasi di trasferimento delle informazioni di relazione centrica e dimensione verticale nonché della posizione implantare in fase post-chirurgica. Entrambe le basi verranno incollate alle rispettive arcate provvisorie.

Fig. 6. Paziente virtuale inserito nel modulo Artex di Exocad
Le arcate dentarie sono state fresate (Wet & Dry M1®, ZIRKONZAHN) in PMMA (Temp Basic® A1, ZIRKONZAHN) come anche la base della protesi inferiore provvisoria (Denture Gengiva Basic Mono®, Zirkonzahn) (Fig. 7, 8). La base del prototipo superiore è stata stampata (Key Model Ultralight® gray, Key Print). I vari componenti sono poi stati assemblati: inferiormente incollati con resina a freddo (Blue Aesthetic®, Candulor), superiormente mantenuti in posizione con cera.
Dopo l’intervento di posizionamento degli impianti superiori la posizione del prototipo protesico è stata relazionata alla posizione implantare utilizzando come riferimento l’occlusione con la nuova protesi inferiore, stabilizzata mediante una mascherina in silicone (Fig. 9), e lo stop fornito dal palato duro e dai tuber maxillae durante la chiusura guidata in relazione centrica (Fig. 10). L’impronta delle viti di guarigione è stata ottenuta sotto il prototipo con un materiale siliconico rigido a veloce indurimento (Occlufast Rock®, Zhermack) (Fig. 11).
La posizione implantare è stata invece rilevata grazie ad un’impronta in gesso (Snow White®, Keer) presa all’interno di un porta impronte customizzato (Fig. 12).

Fig. 7. Base stampata del prototipo superiore che fornirà lo stop palatale durante le fasi di registrazione

Fig. 8. Arcate dentarie dei provvisori e base inferiore fresate

Fig. 9. Mascherina in silicone per relazionare il prototipo superiore alla protesi provvisoria inferiore

Fig. 10. Verifica della correttezza della registrazione dopo la chirurgia

Fig. 11. Impronta delle cappette di guarigione sotto la base del prototipo

Fig. 12. Impronta in gesso in cucchiaio customizzato
Una volta colato il modello in gesso ed avvitate le viti di guarigione sugli analoghi il prototipo viene posizionato e bloccato (Fig. 13). Viene poi costruita una mascherina in silicone (Zetalabor®, Zhermack) (Fig. 14) che permetterà di mantenere i denti della protesi in pozione durante la fase di resinatura che avverrà inglobando i cilindri provvisori ai quali è stata saldata una barra in titanio da 2 mm che copre tutta la lunghezza della protesi e che in essa verrà inglobata (Fig. 15). I due cilindri posteriori vengono resinati alla fine in modo da ottenere una buona passivazione dopo la resinatura. La struttura del provvisorio viene rifinita convessa e mantenuta a circa 2mm di distanza dai tessuti rilevati con l’impronta (Fig. 16, 17).
Nell’arco di meno di 5 ore è possibile consegnare la protesi provvisoria fissa avvitata al paziente. La standardizzazione della procedura la rende replicabile e quindi delegabile ad operatori deputati a procedure di bassa complessità.
Dopo 2 settimane, le stesse procedure sono state replicate per la provvisoria inferiore partendo dalla protesi provvisoria opportunamente scaricata (Fig. 18).

Fig. 13. Adattamento del prototipo sul modello in gesso derivato dall’impronta

Fig. 14. Mascherina in silicone per il riposizionamento dei denti provvisori durante la fase di resinatura

Fig. 15. Barra in titanio saldata sui due cilindri provvisori anteriori

Fig. 16. Protesi provvisoria resinata

Fig. 17. Adattamento intraorale della protesi fissa provvisoria superiore e della protesi provvisoria mobile inferiore

Fig. 18. Adattamento intraorale di entrambe le protesi provvisorie fisse
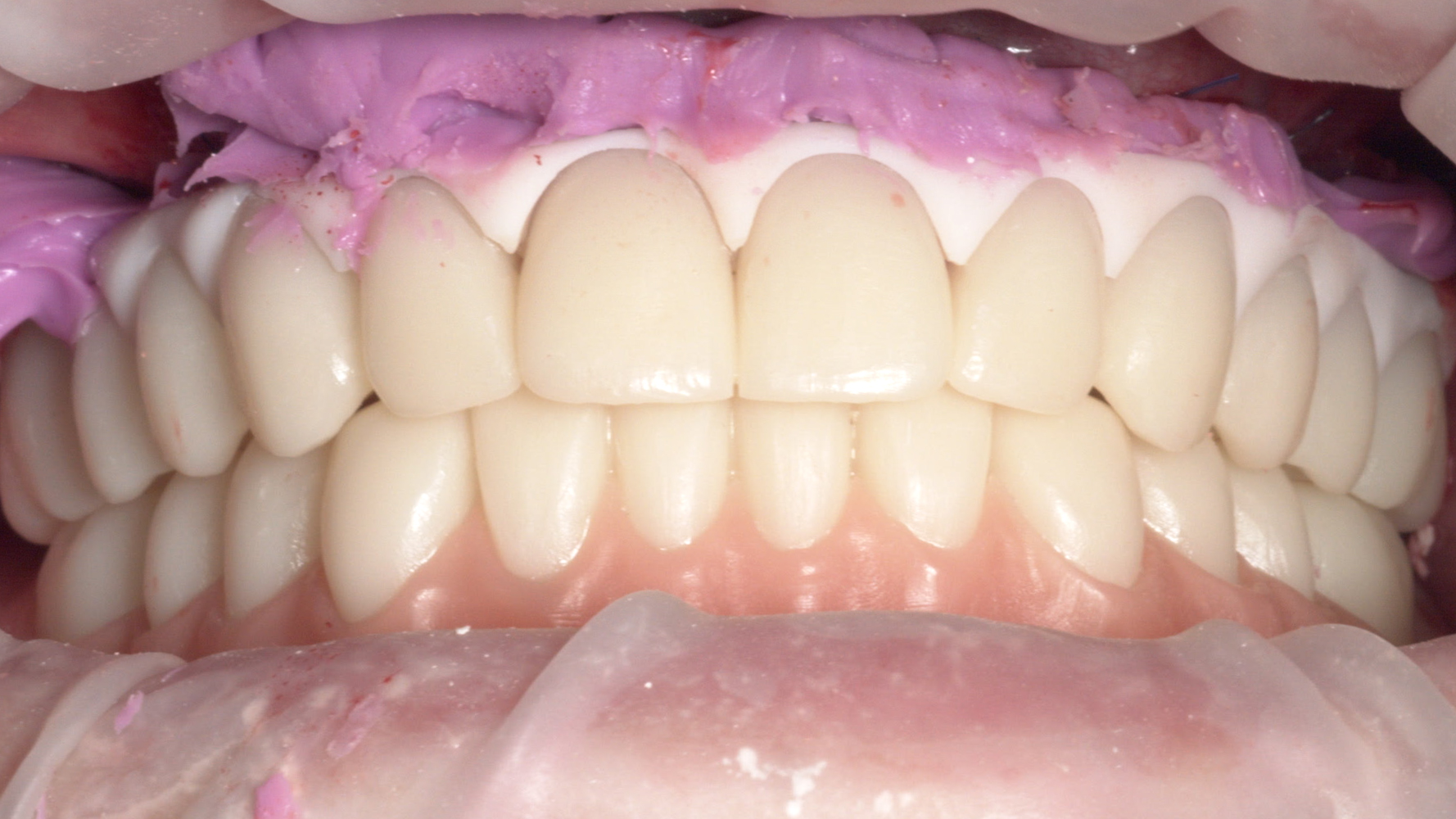
A tre mesi dal secondo intervento sono state acquisite le seguenti IOS:
1) Arcata superiore con la protesi avvitata
2) Arcata inferiore con la protesi avvitata
3) Occlusione tra i provvisori
4) Arcata superiore con gli scan-body avvitati
5) Arcata inferiore con gli scan-body avvitati.
Sono state poi acquisite nuove scansioni facciali con fork, a riposo e in massimo sorriso perché il supporto del labbro potrebbe essere stato modificato rispetto all’inizio e i tessuti molli utili per gli allineamenti potrebbero essere troppo diversi dalla condizione iniziale.
Dopo aver ricostruito il paziente virtuale nel software CAD ((Rijeka®, Exocad) e averlo posizionato nell’articolatore virtuale, sono state progettate le protesi definitive seguendo gli stessi criteri estetici ed occlusali delle provvisorie.
I progetti sono poi stati fresati in cera (Wax Disc, DENTSPLAY SIRONA®) e provati per verifiche di congruità e approvazione del paziente. I T-base definitivi sono stati bloccati con resina autoindurente (Pattern Resin LC, GC America inc.) nei due gig in zirconia, precedentemente preparati sulla base della IOS, dopo essere stati serrati a 15 Ncm sui Multi Unit Abutment in bocca (Fig. 19).
Da questo bloccaggio è ottenuto un modello in gesso dal quale i T-base non verranno mai svitati e sul quale verranno incollati nel corpo protesico definitivo dopo aver bruciato la resina e averli puliti.
Le protesi definitive sono state infine prodotte in zirconia multilayer infiltrata la quale viene stratificata solo nella parte rosa (Fig. 20, 21, 22).

Fig. 19. Cementazione dei T-base nel gig in zirconia

Fig. 20. Protesi definitive avvitate in zirconia monolitica stratificate solo nella componente rosa

Fig. 21. Protesi definitive avvitate in zirconia monolitica stratificate solo nella componente rosa

Fig. 22. Situazione finale aspetto extraorale