INTRODUZIONE
Negli ultimi anni l'industria ha posto un'enfasi considerevole sulla tecnologia degli scanner intraorali, promettendoci che avremmo raggiunto risultati clinici senza precedenti. Tuttavia, ricerche recenti hanno esposto una significativa lacuna in questa premessa: le caratteristiche intrinseche degli scanner e l'intervento umano possono influenzare negativamente i risultati finali. Ovvero non solo l’accuratezza (verità e precisione), ma anche la difficoltà di realizzare una scansione continua senza introdurre un effetto saldatura (simile a quello tipico dei processi di restauro delle tazze in ceramica ideati alla fine del 1400 da ceramisti giapponesi, e conosciuti con il nome di Kintsugi).
L’obiettivo è quello di evitare di ricostruire un insieme frammentato con linee di saldature che offrono la possibilità di distorcere, deformare, alterare la forma dell’arco che stiamo scandendo.
Per affrontare e compensare gli errori generati durante la scansione entrano in gioco il software IOSFIX® e il suo algoritmo avanzato. Mediante IOSFIX® e protocolli rigorosi si eliminano e compensano questi errori, stabilendo un nuovo standard in precisione ed efficacia nell'odontoiatria digitale. IOSFIX® standardizza la mesh indipendentemente dal sistema di scansione intraorale utilizzato. In più, grazie alla calibrazione offerta dal RINGFIX®, la dimensione di qualsiasi componente scandita è conosciuta, consentendo di correggere sia la precisione che la verità dimensionale.
CASE REPORT
Per dimostrare che è possibile realizzare nella finalizzazione definitiva un full-arch con un flusso di lavoro completamente digitale in sole tre sedute, viene presentato il caso di un paziente con estrema compromissione degli elementi dentali. Prima il paziente è stato riabilitato tramite protesi fisse a supporto implantare provvisorie a carico immediato. Poi i restauri provvisori sono stati sostituiti dai definitivi in zirconio monolitico. Le protesi fisse definitive sono state progettate tramite un flusso interamente digitale.
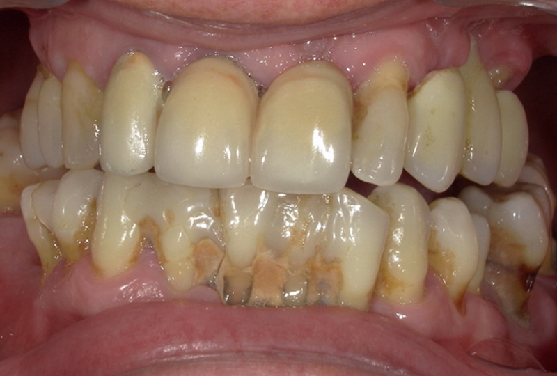
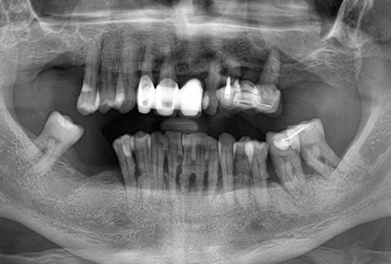
Il paziente di 57 anni, in buono stato di salute generale, si presentava con una vecchia riabilitazione con protesi fissa superiore, con i pilastri dentali a supporto delle protesi e i denti dell’arcata inferiore con un’elevata compromissione parodontale (Figure 1,2).
Da una prima analisi estetica, nonostante la dimensione verticale fosse mantenuta in massima intercuspidazione, si presentava la necessità di spostare la linea mediana, e di recuperare l’asse dentale molto inclinato rispetto al piano di Camper e al piano frontale.
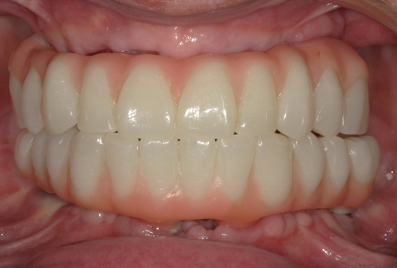
La proposta protesica fu una riabilitazione fissa supportata da impianti sia per l’arcata superiore che per quella inferiore, attraverso tecnica All-on 4. Prima della fase chirurgica, in un unico appuntamento, venivano acquisite le foto extra-orali in posizione di riposo, con un sorriso appena accennato, il massimo sorriso possibile, la CBCT delle arcate (ProMax 3D® Planmeca), le scansioni orali (TRIOS® 3, 3Shape) e le scansioni facciali (POP-2®, Revopoint) con un repere di posizionamento, in posizione di riposo e massimo sorriso. Con queste informazioni era possibile procedere, attraverso due sessioni di chirurgia eseguite secondo la tecnica All-on-4, al posizionamento di due protesi fisse a carico immediato in PMMA (Ceramill A-temp®, Amann Girrbach) (Figure 3,4).
A circa tre mesi dal secondo intervento si procedeva alla realizzazione delle protesi definitive in zirconia integrale. Come già sottolineato, il work flow digitale per la realizzazione dei definitivi prevedeva una serie di tre appuntamenti. Durante il primo di questi venivano rilevate nuove foto extra-orali (Figure 5,6,7) e scansioni intraorali (TRIOS® 3, 3Shape) (Figure 8,9,10).
Le scansioni intraorali rilevate secondo la tecnica del flusso invertito erano:
• Arcata superiore con la protesi avvitata
• Arcata inferiore con la protesi avvitata
• Occlusione tra i provvisori
• Profilo gengivale dell’arcata superiore
• Profilo gengivale dell’arcata inferiore
• Arcata superiore con gli scanbody (IPD-AbutmentCompatibili) avvitati
• Arcata inferiore con gli scanbody (IPD-AbutmentCompatibili) avvitati.
Inoltre venivano catturate nuove scansioni facciali (POP-2® Revopoint) con il repere, a riposo e in massimo sorriso (Figura 11) perchè i riferimenti necessari erano troppo diversi da quelli iniziali (supporto labiale, tessuti molli).
Con questo materiale raccolto si ricostruiva il paziente virtuale nel software CAD (Rijeka®, Exocad). Le arcate dentarie venivano inserite nell’articolatore virtuale (Figura 12) e successivamente venivano progettate le protesi definitive seguendo gli stessi criteri estetici ed occlusali delle provvisorie, ovvero:
- Il margine incisale dei centrali era posizionato con un'esposizione di circa 2 mm dal labbro superiore a riposo e, a livello antero-posteriore, sul confine del vermiglio del labbro inferiore.
- La linea mediana era posizionata a metà della distanza compresa tra le commessure labiali.
- Il piano occlusale frontale dell'arcata superiore era reso parallelo al piano bi-pupillare.
- Il piano occlusale antero-posteriore dell'arcata superiore era reso parallelo al piano di Camper.
La letteratura recente, tuttavia, ha evidenziato una significativa lacuna in questo flusso. Sia l’intervento umano con le strategie di scansione che le caratteristiche intrinseche degli scanner intraorali, possono influenzare negativamente i risultati finali. Da un lato abbiamo le condizioni ambientali con l’illuminazione esterna che influenza l’efficienza dello scanner, e dall’altra la difficoltà di realizzare una scansione continua evitando fenomeni di saldatura. Infatti le linee di saldatura che ricostruiscono un insieme frammentato possono distorcere, deformare, alterare la mesh dell’arco che viene scandito. Inoltre gli scanner hanno proprietà intrinseche che influiscono sul risultato della scansione. In particolare l’accuratezza, ovvero l’insieme di verità e precisione, pesa notevolmente sull’errore finale, che per quanto abbiamo descritto, sarà più grande con il progredire della scansione e irregolarmente distribuito all’interno della mesh. Con una delle più grandi intuizioni dell’odontoiatria dell’ultimo periodo si è reso possibile introdurre nel flusso di lavoro un sistema che consente di misurare questo errore e di correggerlo.
La sistematica IOSFIX® prevede l’utilizzo di un framework metallico (Ringfix®) che unisce gli scan body e assiste, rendendola continua, la scansione dell’arco completo dove dobbiamo realizzare la riabilitazione implantare-protesica: la continuità di scansione riduce gli errori di stitching. Ringfix® presenta dei markers a forma di tronco di cono la cui posizione nella struttura viene misurata con un sistema di misurazione delle coordinate. Questo framework fornisce pertanto informazioni sulla posizione sull’asse X, Y e Z dei markers. Vengono poi usati sistemi di progettazione computer assistiti per calcolare la posizione dell’impianto utilizzando come riferimento la posizione dei markers calibrati. In ultimo la posizione e le misure note sono utilizzate per correggere le discrepanze della scansione intraorale.
A questo punto il flusso di lavoro prevede che la scansione orale con gli scan body sia utilizzata per la costruzione del framework metallico, il Ringfix® (Figura 13), che poi sarà di nuovo scandito nel secondo appuntamento dei tre che sono necessari alla realizzazione di un full-arch a sostegno implantare.
Durante la visita successiva a quella delle impronte (secondo appuntamento) veniva effettuata la prova estetica utilizzando dei prototipi delle protesi definitive. Infatti i progetti venivano stampati in 3D in resina (Dental-try®, Asiga) e provati per verifiche di congruità e approvazione del paziente (Figura 14). In questa stessa fase si validavano le mesh per ottenere delle basi di lavoro virtuali corrette. Il Ringfix® era collocato in bocca e fissato mediante resina fotopolimerizzabile a dei particolari scanbody chiamati Scantransfer (Scantransfer®, IPD) (Figura 15).
Gli Scantransfer prima del loro impiego sono misurati utilizzando un micrometro. L’azienda produttrice dichiara che la loro lunghezza è di 12,500 mm. In realtà dalle misurazioni effettuate si trovano discrepanze fino a +/- 9 micron. Anche queste differenze sull’asse Z sono corrette dall’avanzato algoritmo su cui si basa la sistematica IOSFIX®. L’insieme Ringfix®-Scantransfer® viene scandito di nuovo e analizzato (Figure 16,17).
In primo luogo si accoppiano le matematiche sconosciute dell’area di mesh relativa allo Scantransfer® con le loro corrispondenti matematiche conosciute del software di misurazione. Durante la sovrapposizione si ricerca una sorta di best-fit compensando anche il generale aumento volumetrico che le scansioni subiscono durante la presa delle impronte per i noti fenomeni legati all’illuminazione di oggetti. In tal senso si usano delle matematiche disponibili in diverse compensazioni volumetriche scegliendo quella che meglio si adatterà alla scansione. Essendo il RINGFIX® un sistema calibrato, per comparazione, le dimensioni di qualsiasi componente scandita è conosciuta: questo consente di correggere sia la precisione che la verità dimensionale di qualsiasi sistematica IOS utilizzata. Si effettua poi un confronto tra il centroide dell’impianto-Scantransfer® e quello conosciuto e misurato dei markers a forma di tronco di cono del Ringfix®.
Le differenze rilevate tra questi due vettori nell’asse X-Y, Z e nella loro angolazione servono per la correzione della mesh e soprattutto per il corretto posizionamento della matematica implantare (Figure 18,19). La posizione definita e corretta a questo punto sarà la stessa di quella reale.
Nelle tabelle seguenti i valori di correzione rilevati per gli impianti del caso in oggetto:


Dopo le correzioni si riportava sulla mesh il progetto protesico definitivo e si procede con la fase CAM (Figura 20).
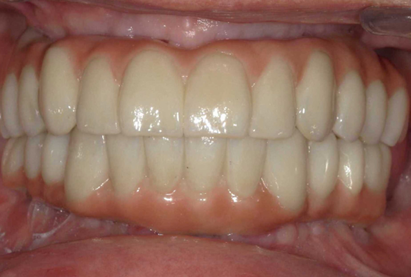
Le protesi definitive venivano prodotte in zirconia multilayer (ZOLID-GEN X 1100±150®, AMANN GIRRBACH) infiltrata e colorata con ceramiche fluide (MIYO®) sia nella parte bianca che in quella rosa. I T-base di connessione venivano incollati nel corpo protesico senza utilizzare nessun modello in gesso di riferimento. Nel terzo e ultimo appuntamento consegnavamo le protesi definitive (Figure 21,22,23).