Caso Clinico
Riabilitazione del primo quadrante attraverso navigazione dinamica
Navigazione dinamica con impianti su #17, #15, #14 e #12, con socket shield sul #12, rialzo di seno transcrestale sul #15 ed impianto pterigoideo sul #17.
Riabilitazione del primo quadrante attraverso navigazione dinamica
Dr. Luca Comuzzi
Dentista

Laureato in Odontoiatria, MSc in Parodontologia (EFP).…

Leggi la bio
Dr. Luca Comuzzi

La paziente, di 68 anni, buona salute generale, presentava un grave problema al ponte 17-15-14 con dolore alla masticazione, mobilità e grave perdita ossea su 17 e 12 (Figs. 1, 2, 3). 

Si procedeva inizialmente registrando in digitale la biocopia del ponte (STL) per conservare la posizione esatta dei denti da ricostruire, rimozione del ponte e del dente 17 riapplicando il ponte come provvisorio segnadolo distale al 14 ed estraendo il 17 (Fig. 4).


 

Radiografia iniziale

Fig. 1 - Radiografia iniziale 17, 13, 12 con estrazione del 17 e guarigione in zona Tuber dopo 3 mesi

 

Radiografie iniziali 13, 12

Fig. 2, 3 - Radiografie iniziali 17, 13, 12 con estrazione del 17 e guarigione in zona Tuber dopo 3 mesi

 

guarigione in zona Tuber dopo 3 mesi

Fig. 4 - Radiografie iniziali 17, 13, 12 con estrazione del 17 e guarigione in zona Tuber dopo 3 mesi

 


Una volta atteso 3 mesi di guarigione dei tessuti molli, si procedeva all'esecuzione della TAC mediante repere codificato secondo il protocollo "impression registration" e al posizionamento di una minivite Ustomed in zona 16 per aumentare la precisione del navigatore nella lunga sella edentula distale (Figs. 5, 6, 7, 8). 


 

Guarigione dopo 3 mesi, inserimento minivite Ustomed per inserire repere ed aumentare la precisione del Navigatore in zona edentula. Esecuzione della Cone Beam con repere per il protocollo "instant registration"


Fig. 5 - Guarigione dopo 3 mesi, inserimento minivite Ustomed per inserire repere ed aumentare la precisione del Navigatore in zona edentula. Esecuzione della Cone Beam con repere per il protocollo "instant registration"

 

esecuzione Cone Beam

Fig. 6 - Guarigione dopo 3 mesi, inserimento minivite Ustomed per inserire repere ed aumentare la precisione del Navigatore in zona edentula. Esecuzione della Cone Beam con repere per il protocollo "instant registration"

 

esecuzione della Cone Beam con repere per il protocollo "istant registration"

Fig. 7 - Guarigione dopo 3 mesi, inserimento minivite Ustomed per inserire repere ed aumentare la precisione del Navigatore in zona edentula. Esecuzione della Cone Beam con repere per il protocollo "instant registration"

 

protocollo "istant registration"

Fig. 8 - Guarigione dopo 3 mesi, inserimento minivite Ustomed per inserire repere ed aumentare la precisione del Navigatore in zona edentula. Esecuzione della Cone Beam con repere per il protocollo "instant registration"

 


Veniva eseguita la pianificazione del caso con l'utilizzo dell'STL della Biocopia (Fig. 9) e della gengiva guarita (Fig. 10), e di tutti gli impianti: zona 12 con pianificazione post-estrattiva flapless con Socket Shield (Fig. 11), zona 14 (Fig. 12), zona 15 (Fig. 13) e zona pterigoidea (Fig. 14). Dopo la chirurgia (Video 1 e 2), OPT post-operatoria e endorali venivano fatte per valutare il rialzo di seno trans-crestale (Figs. 15, 16, 17, 18).


 

 
 

Video 1. Preparazione dei siti implantari in chirurgia dinamica, impianto anteriore ed impianti posteriori.

 
 

Video 2. Preparazione dei siti implantari in chirurgia dinamica, impianto anteriore ed impianti posteriori.


 

Pianificazione chirurgica della posizione implantare

Fig. 9 - Pianificazione chirurgica della posizione implantare su Software Navident (Claronav) basandosi sulla posizione dei denti originali mediante sovrapposizione di impronta ottica con e senza i denti (STL). Particolare attenzione è stata posta al parallelismo degli impianti 15 e 14, al corretto posizionamento con tecnica Socket Shield su 12 e alla correzione predefinita di 30° del moncone dell'impianto pterigoideo per mantenere il parallelismo conometrico protesico

 

Pianificazione chirurgica della posizione implantare su Software Navident

Fig. 10 - Pianificazione chirurgica della posizione implantare su Software Navident (Claronav) basandosi sulla posizione dei denti originali mediante sovrapposizione di impronta ottica con e senza i denti (STL). Particolare attenzione è stata posta al parallelismo degli impianti 15 e 14, al corretto posizionamento con tecnica Socket Shield su 12 e alla correzione predefinita di 30° del moncone dell'impianto pterigoideo per mantenere il parallelismo conometrico protesico

 

Pianificazione chirurgica della posizione implantare su Software Navident

Fig. 11 - Pianificazione chirurgica della posizione implantare su Software Navident (Claronav) basandosi sulla posizione dei denti originali mediante sovrapposizione di impronta ottica con e senza i denti (STL). Particolare attenzione è stata posta al parallelismo degli impianti 15 e 14, al corretto posizionamento con tecnica Socket Shield su 12 e alla correzione predefinita di 30° del moncone dell'impianto pterigoideo per mantenere il parallelismo conometrico protesico

 

Pianificazione chirurgica della posizione implantare su Software Navident

Fig. 12 - Pianificazione chirurgica della posizione implantare su Software Navident (Claronav) basandosi sulla posizione dei denti originali mediante sovrapposizione di impronta ottica con e senza i denti (STL). Particolare attenzione è stata posta al parallelismo degli impianti 15 e 14, al corretto posizionamento con tecnica Socket Shield su 12 e alla correzione predefinita di 30° del moncone dell'impianto pterigoideo per mantenere il parallelismo conometrico protesico

 

Pianificazione chirurgica della posizione implantare su Software Navident

Fig. 13 - Pianificazione chirurgica della posizione implantare su Software Navident (Claronav) basandosi sulla posizione dei denti originali mediante sovrapposizione di impronta ottica con e senza i denti (STL). Particolare attenzione è stata posta al parallelismo degli impianti 15 e 14, al corretto posizionamento con tecnica Socket Shield su 12 e alla correzione predefinita di 30° del moncone dell'impianto pterigoideo per mantenere il parallelismo conometrico protesico

 

Pianificazione chirurgica della posizione implantare su Software Navident

Fig. 14 - Pianificazione chirurgica della posizione implantare su Software Navident (Claronav) basandosi sulla posizione dei denti originali mediante sovrapposizione di impronta ottica con e senza i denti (STL). Particolare attenzione è stata posta al parallelismo degli impianti 15 e 14, al corretto posizionamento con tecnica Socket Shield su 12 e alla correzione predefinita di 30° del moncone dell'impianto pterigoideo per mantenere il parallelismo conometrico protesico

 

OPT con pterigoideo 17, rialzo trans-crestale 15 e Socket Shield su 12 e applicazione monconi per le conometrie protesiche parallele

Fig. 15 - OPT con pterigoideo 17, rialzo trans-crestale 15 e Socket Shield su 12 e applicazione monconi per le conometrie protesiche parallele

 

Fig.  16, 17, 18 - OPT con pterigoideo 17, rialzo trans-crestale 15 e Socket Shield su 12 e applicazione monconi per le conometrie protesiche parallele

Fig.  16, 17, 18 - OPT con pterigoideo 17, rialzo trans-crestale 15 e Socket Shield su 12 e applicazione monconi per le conometrie protesiche parallele

 


Sul 12 veniva eseguito un impianto post-estrattivo con carico immediato mediante moncone conometrico e provvisorio ricavato ribasando una cappetta provvisoria in peek e applicazione a frizione mediante conometria (Figs. 19, 20, 21, 22, 23).


 

Carico immediato su 12 con moncone conometrico dritto e cappetta provvisoria in peek ribasata in resina su provvisorio. Foto dopo l'intervento con esecuzione flapless e leggera plastica gengivale del Tuber applicazione di cappette di guarigione in peek. Guarigione dei tessuti dopo 3 mesi e impronta digitale definitiva per finalizzare il caso

Fig. 19, 20 - Carico immediato su 12 con moncone conometrico dritto e cappetta provvisoria in peek ribasata in resina su provvisorio. Foto dopo l'intervento con esecuzione flapless e leggera plastica gengivale del Tuber applicazione di cappette di guarigione in peek. Guarigione dei tessuti dopo 3 mesi e impronta digitale definitiva per finalizzare il caso

 

Carico immediato su 12 con moncone conometrico dritto e cappetta provvisoria in peek ribasata in resina su provvisorio. Foto dopo l'intervento con esecuzione flapless e leggera plastica gengivale del Tuber applicazione di cappette di guarigione in peek. Guarigione dei tessuti dopo 3 mesi e impronta digitale definitiva per finalizzare il caso

Fig. 21 - Carico immediato su 12 con moncone conometrico dritto e cappetta provvisoria in peek ribasata in resina su provvisorio. Foto dopo l'intervento con esecuzione flapless e leggera plastica gengivale del Tuber applicazione di cappette di guarigione in peek. Guarigione dei tessuti dopo 3 mesi e impronta digitale definitiva per finalizzare il caso

 

Carico immediato su 12 con moncone conometrico dritto e cappetta provvisoria in peek ribasata in resina su provvisorio. Foto dopo l'intervento con esecuzione flapless e leggera plastica gengivale del Tuber applicazione di cappette di guarigione in peek. Guarigione dei tessuti dopo 3 mesi e impronta digitale definitiva per finalizzare il caso

Fig. 22 - Carico immediato su 12 con moncone conometrico dritto e cappetta provvisoria in peek ribasata in resina su provvisorio. Foto dopo l'intervento con esecuzione flapless e leggera plastica gengivale del Tuber applicazione di cappette di guarigione in peek. Guarigione dei tessuti dopo 3 mesi e impronta digitale definitiva per finalizzare il caso

 

Carico immediato su 12 con moncone conometrico dritto e cappetta provvisoria in peek ribasata in resina su provvisorio. Foto dopo l'intervento con esecuzione flapless e leggera plastica gengivale del Tuber applicazione di cappette di guarigione in peek. Guarigione dei tessuti dopo 3 mesi e impronta digitale definitiva per finalizzare il caso

Fig. 23 - Carico immediato su 12 con moncone conometrico dritto e cappetta provvisoria in peek ribasata in resina su provvisorio. Foto dopo l'intervento con esecuzione flapless e leggera plastica gengivale del Tuber applicazione di cappette di guarigione in peek. Guarigione dei tessuti dopo 3 mesi e impronta digitale definitiva per finalizzare il caso

 


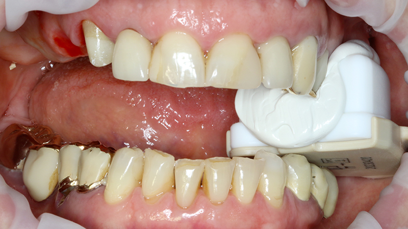
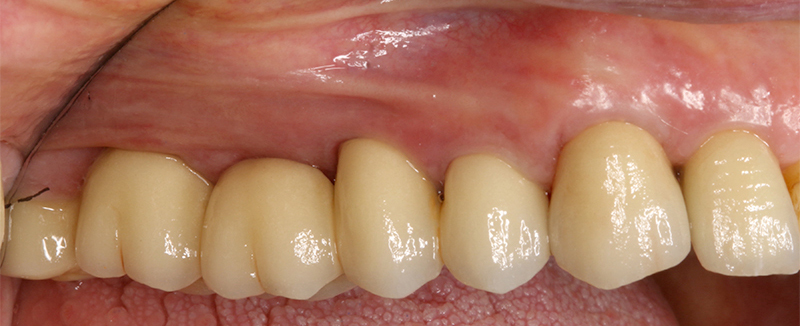
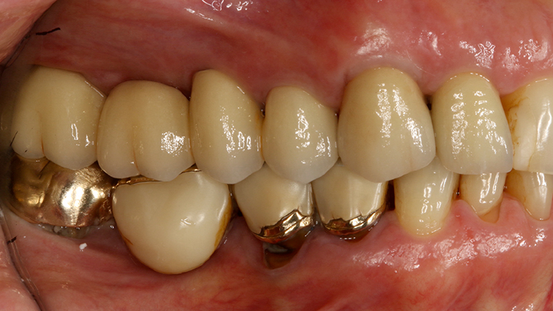
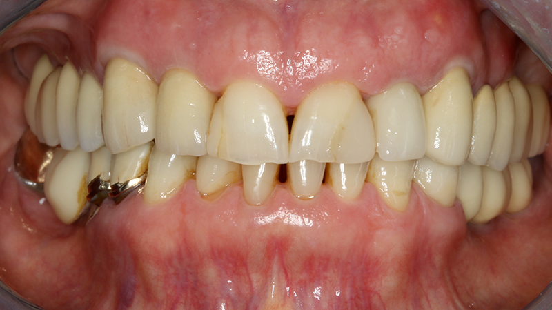
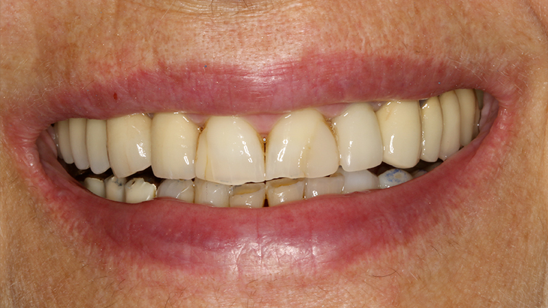
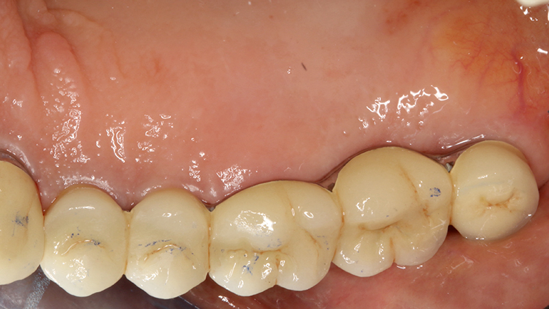
La finalizzazione del caso avveniva con protesi in metallo-ceramica passivata su cappe conometriche in bocca (Figs. 24, 25, 26, 27, 28, 29, 30, 31, 32) e radiografie finali ad un anno dal carico (Figs. 33, 34).


Applicazione ponte 17-14 in metallo ceramica su cappette conometriche passivate in bocca mediante cemento

Fig. 24 - Applicazione ponte in metallo ceramica su cappette conometriche passivate in bocca mediante cemento Multilink Hybrid e risultato finale

 

Applicazione ponte 17 - 14 in metallo ceramica su cappette conometriche passivate in bocca mediante cemento Multilink Hybrid e risultato finale

Fig. 25 - Applicazione ponte 17 - 14 in metallo ceramica su cappette conometriche passivate in bocca mediante cemento Multilink Hybrid e risultato finale

 

Applicazione ponte 17 - 14 in metallo ceramica su cappette conometriche passivate in bocca mediante cemento Multilink Hybrid e risultato finale

Fig. 26 - Applicazione ponte 17 - 14 in metallo ceramica su cappette conometriche passivate in bocca mediante cemento Multilink Hybrid e risultato finale

 

Applicazione ponte 17 - 14 in metallo ceramica su cappette conometriche passivate in bocca mediante cemento Multilink Hybrid e risultato finale

Fig. 27 - Applicazione ponte 17 - 14 in metallo ceramica su cappette conometriche passivate in bocca mediante cemento Multilink Hybrid e risultato finale

 

Applicazione ponte 17 - 14 in metallo ceramica su cappette conometriche passivate in bocca mediante cemento Multilink Hybrid e risultato finale

Fig. 28 - Applicazione ponte 17 - 14 in metallo ceramica su cappette conometriche passivate in bocca mediante cemento Multilink Hybrid e risultato finale

 

Applicazione ponte 17 - 14 in metallo ceramica su cappette conometriche passivate in bocca mediante cemento Multilink Hybrid e risultato finale

Fig. 29 - Applicazione ponte 17 - 14 in metallo ceramica su cappette conometriche passivate in bocca mediante cemento Multilink Hybrid e risultato finale

 

Applicazione ponte 17 - 14 in metallo ceramica su cappette conometriche passivate in bocca mediante cemento Multilink Hybrid e risultato finale

Fig. 30 - Applicazione ponte 17 - 14 in metallo ceramica su cappette conometriche passivate in bocca mediante cemento Multilink Hybrid e risultato finale

 

Applicazione ponte 17 - 14 in metallo ceramica su cappette conometriche passivate in bocca mediante cemento Multilink Hybrid e risultato finale

Fig. 31 - Applicazione ponte 17 - 14 in metallo ceramica su cappette conometriche passivate in bocca mediante cemento Multilink Hybrid e risultato finale

 

Figs. 32, 33, 34 - Radiografie finali impianti 17, 15, 14 ad un anno dal carico con guarigione del rialzo di seno trans-crestale del 15, impianto pterigoideo 17 e Socket Shield 12

Figs. 32, 33, 34 - Radiografie finali impianti 17, 15, 14 ad un anno dal carico con guarigione del rialzo di seno trans-crestale del 15, impianto pterigoideo 17 e Socket Shield 12

 

Video correlati

Preparazione dei siti implantari in chirurgia dinamica, impianto anteriore ed impianti posteriori.

Preparazione dei siti implantari in chirurgia dinamica, impianto anteriore ed impianti posteriori.