Caso Clinico
Restauri diretti di classe II su premolari: approccio semplificato con tecnica bulk fill
Applicazione clinica del composito SimpliShade™.
Prof. Angelo Putignano
Prof. Angelo Putignano

Medico Chirurgo Specialista in Odontostomatologia e…

Leggi la bio
Prof. Angelo Putignano

Per gentile concessione del Prof. Angelo Putignano.


Ripristinare in modo appropriato il punto di contatto nelle cavità di classe II è sempre stata una sfida per i dentisti. 
Nei premolari, in particolare, il successo risiede nel posizionamento delle matrici con l'anellino appropriato, ripristinando le corrette proporzioni.

Questo caso clinico presenta la sostituzione di due restauri non congrui, utilizzando una tecnica semplice che prevede la rottura del cuneo per inserire l'anello che si adatta correttamente alle due matrici sezionali e, infine, la realizzazione dei restauri con la tecnica delle Essential Lines.

 

Situazione iniziale dei restauri, vecchi e infiltrati

Fig. 1 - Situazione iniziale, il paziente di 65 anni presenta dei vecchi restauri infiltrati in composito che sono stati sostituiti per ripulire l'elemento dentale dalla lesione cariosa.

 

Rimozione dei vecchi restauri e ottenimento di due cavità di II classe

Fig. 2 - Dopo l'applicazione della diga di gomma, sono stati rimossi i vecchi restauri e si sono ottenute due cavità di classe II.

 

posizionamento di due matrici sezionali per ottenere dei punti di contatto corretti e adeguati

Fig. 3 - Dopo la preparazione della cavità, sono state posizionate due matrici sezionali su ogni cavità per ottenere dei punti di contatto il più possibile corretti e adeguati. Successivamente le matrici sono state bloccate con un cuneo di legno arancione.

 

La parte esterna del cuneo è stata spezzata per fare in modo che rimanesse solo nella zona interprossimale

Fig. 4 - Successivamente, la parte esterna del cuneo è stata spezzata per fare in modo che quest'ultimo rimanesse solo nella zona interpersonale.

 

l'anello utilizzato spingeva la matrice nel modo più forte possibile contro la superficie del dente, ripristinando le corrette proporzioni dei due denti

Fig. 5 - In questo modo, l'anello utilizzato spingeva la matrice nel modo più forte possibile contro la superficie del dente, ripristinando le corrette proporzioni dei due denti. Questo aspetto è molto importante per fare in modo che la matrice sigilli in modo adeguato la cavità di II classe.

 

mordenzatura selettiva dello smalto per 30 secondi

Fig. 6 - È stata effettuata una mordenzatura selettiva dello smalto per 30 secondi.

 

è stato applicato l’Optibond Universal di Kerr per l’adesione

Fig. 7 - Dopo il risciacquo e l'asciugatura, effettuate osservando lo stesso tempo della mordenzatura, è stato applicato l’Optibond Universal di Kerr per l’adesione.

 

è stato applicato un sottile strato di composito bulk fill flow per rivestire e proteggere lo strato ibrido e regolarizzare il pavimento della cavità

Fig. 8 - Come ultimo passaggio del protocollo di adesione, è stato applicato un sottile strato di bulk fill flow (SimpliShade Bulk Fill Flow di Kerr) per rivestire e proteggere lo strato ibrido e regolarizzare il pavimento della cavità. 
Dopo la ricostruzione delle pareti interprossimali, sono state ottenute due cavità di classe I.

 

Per completare il riempimento della cavità è stata applicato un sottile strato di composito bulk fill flow per rivestire e proteggere lo strato ibrido e regolarizzare il pavimento della cavità

Fig. 9 - Per completare il riempimento della cavità, è stata applicata una singola massa di composito bulk fill (SimpliShadeTM Bulk Fill) per ciascuna cavità e, dopo aver compattato il materiale e averlo adattato rimuovendo l’eccesso, è stata modellata la morfologia occlusale.

 

Tracciamento delle linee essenziali di ogni premolare in base all'anatomia del dente

Fig. 10 - Le linee essenziali di ogni premolare sono state tracciate in base all'anatomia del dente.

 

applicazione delle caratterizzazioni per completare i restauri

Fig. 11 - Sono state applicate delle caratterizzazioni per completare i restauri.

 

rifiniture dei restauri

Fig. 12 - In seguito, è stato utilizzato un dischetto OptiDisc di media granulometria, a bassa velocità di rotazione, per rifinire i restauri.

 

lucidatura a bassa velocità di rotazione

Fig. 13 - È stata effettuata la lucidatura utilizzando il sistema HiLuster Polishing System a bassa velocità di rotazione.

 

Lucidatura dei restauri con lo spazzolino Occlubrush

Fig. 14 - Infine, è stato utilizzato lo spazzolino Occlubrush per completare la lucidatura dei restauri. Quest'ultima è stata effettuata durante lo stesso appuntamento.

 

Aspetto finale dei restauri prima della rimozione della diga di gomma

Fig. 15 - Aspetto finale dei restauri prima della rimozione della diga di gomma.

 

Risultato finale

Fig. 16 - Risultato finale dopo la rimozione della diga di gomma.

 

Aspetto finale dopo il follow-up ad un mese di distanza

Fig. 17 - Aspetto finale dopo il follow-up ad un mese di distanza.

 

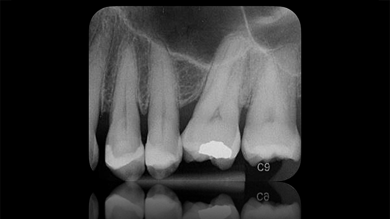
radiografia dopo il follow-up ad un mese di distanza

Fig. 18 - L'indagine radiografica mostra l'assenza di radiolucenza apicale dei due premolari e, pertanto, la vitalità della polpa è stata mantenuta dopo il follow-up ad un mese di distanza.

 

Conclusioni

La migliore strategia per ottenere il miglior risultato consiste nello scegliere la tecnica più semplice che funziona meglio nelle tue mani. La scelta corretta della matrice del cuneo è fondamentale nei restauri di II Classe. L'ultima generaziona di compositi bulk-fill possiede delle eccellenti proprietà unite a delle caratteristiche ottiche che migliorano il risultato estetico. La tecnica delle Essential Lines offre una soluzione alternativa per completare velocemente il restauro, ottenendo un risultato soddisfacente.

 


 

Bibliografia


1. Bailey O. Sectional matrix solutions: the distorted truth. Br Dent J. 2021 Nov;231(9):547-555. doi: 10.1038/s41415021-3608-5. Epub 2021 Nov 12. PMID: 34773017; PMCID: PMC8589656.

2.Chiodera G, Orsini G, Tosco V, Monterubbianesi R, Manauta J, Devoto W, Putignano A. Essential Lines: a simplified filling and modeling technique for direct posterior,composite restorations. Int J Esthet Dent. 2021 May 10;16(2):168-184. PMID: 33969973.

3. Hardan L, Sidawi L, Akhundov M, Bourgi R, Ghaleb M, Dabbagh S, Sokolowski K, Cuevas-Suárez CE, Lukomska-Szymanska M. One-Year Clinical Performance of the Fast-Modelling Bulk Technique and Composite-Up Layering. Technique in Class I Cavities. Polymers (Basel). 2021 Jun 4;13(11):1873.

4. Monterubbianesi R, Tosco V, Orilisi G, Grandini S, Orsini G, Putignano A. Surface evaluations of a nanocomposite after different finishing and polishing systems for anterior and posterior restorations. Microsc Res Tech. 2021;10.1002/jemt.23850. doi:10.1002/jemt.23850.

 

Video correlati
Non ci sono video associati a questo articolo.