Caso Clinico
L'approccio digitale nella zona anteriore; gestione dei casi chirurgico-protesici
La mia proposta per un nuovo approccio all'odontoiatria digitale, illustrando processi chirurgico-protesici per una riabilitazione estetica complessa nella zona frontale, con particolare riferimento ai pazienti con "Gummy Smile". Per un risultato ottimale nei casi estetici, è necessario che vi sia armonia tra tessuti molli e dispositivi protesici. La visualizzazione aumentata, impiegata in ogni fase del processo di lavoro consente al clinico di curare i dettagli migliorando la precisione e l'accuratezza.
L'approccio digitale nella zona anteriore; gestione dei casi chirurgico-protesici
Dr. Roberto Molinari
Dentista

Odontoiata, specializzato in parodontologia,…

Leggi la bio
Dr. Roberto Molinari

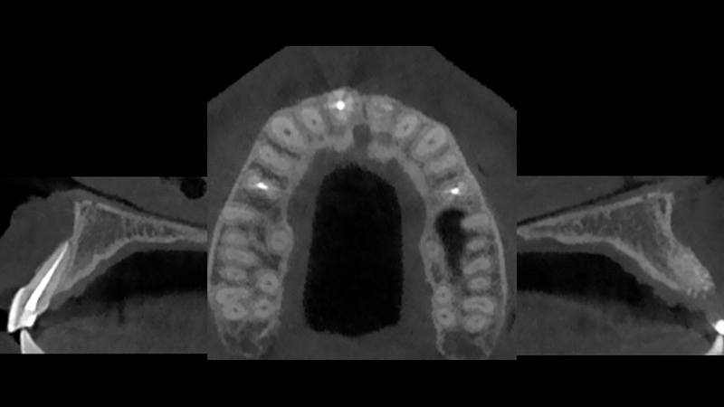
Per un trauma frontale, una paziente di 24 anni con sorriso gengivale, perde il dente 2.1. Il dente 1.1 è dislocato palatalmente e il dente 1.2 presenta un danno al margine incisale (Fig. 2a, Fig. 2b). La CBCT mostra una frattura in entrambe le placche vestibolari ossee, in corrispondenza dei due incisivi centrali superiori (Fig. 3).

 

Stato iniziale

Fig. 2a - Stato iniziale.

 

Stato iniziale intraorale

Fig. 2b - Stato iniziale intraorale.

 

CBCT dopo il trauma

Fig. 3 - CBCT dopo il trauma

 

Terapia immediata

Ho visitato la paziente per la prima volta a tre giorni dal trauma e non è stato possibile reimpiantare il dente 2.1.  A supporto temporaneo di papille e margine gengivale di quest'area, ho rimosso la radice del dente avulso, modificato il terzo cervicale della corona con del composito e cementato il dente avulso ai denti adiacenti con filo metallico e composito (Fig. 4).

 

Soluzione d'emergenza

Fig. 4 - Soluzione d'emergenza.

 

Caso studio e piano di trattamento

In tutti i casi in cui l'estetica è in gioco, eseguo lo studio estetico del sorriso seguendo il concetto DSD "Digital Smile Design" per ottimizzare l'armonia tra i denti e il viso del paziente.

In questo caso, testo il potenziale estetico del progetto, creo un mock-up, prototipando un modello in resina con la nuova morfologia e una mascherina in silicone per eseguire la prova direttamente nella bocca del paziente (Fig. 6d, Fig. 6e). Simulo il nuovo sorriso del paziente, verificandone armonia e proporzionalità (Fig. 7). 

È stato preparato un piano di trattamento definitivo in 4 fasi della durata di 8 mesi.

 

Modello STL con la nuova morfologia

Fig. 6d - Modello STL con la nuova morfologia.

 

Modello prototipato e indice in silicone

Fig. 6e - Modello prototipato e indice in silicone.

 

Mock-up e impatto estetico sul viso del paziente

Fig. 7 - Mock-up e impatto estetico sul viso del paziente.

 

Il processo di lavoro

 

Prima fase

Cinque giorni dopo il trauma, l'obiettivo era rigenerare il volume osseo in zona 2.1. La chiave del successo in questa fase è la creazione di un provvisorio che condizioni i tessuti molli mantenendo il biomateriale nell'alveolo. Per ottenere la corona provvisoria, seguendo un percorso digitale, ho proceduto come segue:

  1. Mordenzatura dei denti da 1.3 a 2.3 per fissare il mock-up testato con la tecnica adesiva. Questa decisione mi ha permesso di progettare virtualmente il dente provvisorio 2.1 con una forma cervicale adeguata, copiandola con lo scanner e poi specchiando la nuova morfologia del dente 1.1 con il software di progettazione (Fig. 9d).
     
  2. Rigenerazione ossea dell'alveolo 2.1 con Bio-oss e Muco-graft. In questa fase, il provvisorio fresato è stato cementato ai denti adiacenti con un filo metallico e composito. Dopo 5 mesi, ho ottenut il volume osseo necessario per poter posizionare l'impianto (Fig. 10a, Fig. 10b, Fig. 10c).
     
Progetto digitale del dente 2.1

Fig. 9d - Progetto digitale del dente 2.1.

 

Risultato estetico del primo step

Fig. 10a - Risultato estetico del primo step.

 

Rigenerazione ossea

Fig. 10b - Rigenerazione ossea.

 

CBCT dopo 5 mesi

Fig. 10c - CBCT dopo 5 mesi.

 

Seconda fase

L'obiettivo è inserire un impianto nella cresta ossea rigenerata e ripristinare il volume del tessuto gengivale cheratinizzato nell'area vestibolare circostante. 

In questa fase, la prerogativa fondamentale è creare un secondo dente provvisoriocon un profilo di emergenza appropriato. Ecco la procedura:

  1. Impronta digitale tramite scanner intraorale e creazione della "Maschera gengivale", con la copia dei tessuti molli precedentemente condizionati. Questa scansione ci guiderà durante la fase di progettazione del profilo di emergenza del dente provvisorio.
     
  2. Disegno del lembo. Eseguo un'incisione vestibolare intrasulculare, creando una piccola tasca mucosa, ottenuta con una incisione a spessore parziale dei tessuti molli, in corrispondenza della porzione vestibolare dell'area edentula.
     
  3. Posizionamento dell'impianto. L'impianto è posizionato centralmente con un'inclinazione palatale per evitare che il foro di accesso della vite interferisse con il bordo incisale del dente provvisorio o con la sua superficie vestibolare (Fig. 13).
     
  4. Personalizzazione della matrice di collagene (Fig. 14c).
     
  5. Posizionamento e sutura della matrice in collagene. La matrice in collagene viene posizionata nella tasca mucosa creata. I tessuti molli sono suturati ermeticamente sopra la matrice in modo che sia completamente immersa (Fig. 15).
     
  6. Impronte definitive per la realizzazione del provvisorio immediato. Una volta scansionato lo scan body, si disegna il profilo di emergenza (Base Line) sulla maschera gengivale. Successivamente, selezionando la porzione anatomica del dente 1.1 (Copy Line), il dente 2.1 verrà creato automaticamente e fresato in PMMA, grazie al software di progettazione. Il restauro del 2.1 è cementato alla T-base e avvitato all'impianto con una coppia di 20 Ncm. Il provvisorio, grazie al profilo di emergenza personalizzato, favorirà il condizionamento dei tessuti molli supportandoli e sigillando i margini del gap chirurgico. Ciò proteggerà la matrice collagenica sottostante, garantendo un risultato finale di successo (Fig. 16a, Fig. 16b, Fig. 16c, Fig. 16d).

 

Posizionamento dell'impianto

Fig. 13 - Posizionamento dell'impianto.

 

Posizionamento della matrice al microscopio

Fig. 14c - Posizionamento della matrice al microscopio.

 

Sutura al microscopio

Fig. 15 - Sutura al microscopio.

 

Pianificazioner digitale del secondo dente provvisorio avvitato sull'impianto

Fig. 16a - Pianificazione digitale del secondo dente provvisorio avvitato sull'impianto.

 

Dente fresato in PMMA

Fig. 16b - Dente fresato in PMMA.

 

Secondo dente provvisorio avvitato

Fig. 16c - Secondo dente provvisorio avvitato.

 

Guarigione a 3 mesi

Fig. 16d - Guarigione a 3 mesi.

 

Terza fase

Il caso è stato finalizzato protesicamente seguendo un metodo digitale "chairside".
Grazie alla funzione "Copia Biogenerica" del software protesico, è possibile copiare la morfologia del mock-up precedentemente incollato e della corona provvisoria avvitata all'impianto. Condivideremo con il software di progettazione le forme testate per creare i restauri protesici definitivi.

  1. Impronte definitive digitali. Ho eseguito con lo scanner intraorale la "Biocopia" dei denti anteriori e copiato la posizione delle papille e del margine gengivale, creando la "Maschera gengivale", condividendo contemporaneamente le informazioni morfologiche dei tessuti molli con il software di progettazione CEREC che creerà i dispositivi protesici finali (Fig. 17, Fig. 18a, Fig. 18b).
     
  2. Preparazione dei denti anteriori. Nel piano di trattamento avevo previsto la realizzazione di 5 faccette da 1.3 a 2.3, ad eccezione della 2.1, su cui era prevista una corona da avvitare all'impianto (Fig. 19).
     
  3. Impronta definitiva dei denti preparati. L'arcata preparata è scansionata con lo scanner intraorale (Fig. 20).
     
  4. Sviluppo dei modelli master e progettazione digitale. Completata la fase di impronta, il software progetta i denti protesici definitivi. Per iniziare, traccio la "Linea di base" sul profilo dei tessuti molli, evidenziando l'area entro la quale il software rileverà e creerà una corona protesica con un profilo di emergenza adeguato a supportare le papille e il margine gengivale condizionati. Si traccia poi la linea di finitura della preparazione ed in seguito, la "Linea di copiatura", copiando il mock-up. Con queste informazioni, il software creerà i denti protesici definitivi (Fig. 21a, Fig. 21b, Fig. 21c).
     
  5. Scelta del materiale e fresatura dei denti protesici. La scelta del materiale è un punto importante. La mia prima scelta sono le ceramiche feldspatiche, permettono di ottenere risultati molto simili alle caratteristiche estetiche dei denti naturali. Nel caso in cui sia necessario avere denti protesici con uno spessore molto sottile (0,2-0,3 mm), meglio scegliere una ceramica ibrida con una percentuale variabile di resina che conferisce maggiore elasticità, evita fratture durante la fresatura e ottiene margini precisi (Fig. 22).
     
  6. Finalizzazione dei denti protesici. Questo punto è molto importante, definirà l'aspetto finale dei denti protesici. L'obiettivo a cui mirare non è creare “specchi" che riflettano la luce in modo uniforme, ma la creazione di una texture superficiale che rifletta la luce in modo diverso, conferendo un aspetto più naturale (Fig. 23b).
     
  7. Cementazione adesiva. Questa ultima fase, se non gestita correttamente, potrebbe vanificare il risultato finale dal punto di vista estetico e funzionale. Gli aspetti principali da considerare per una ottimale stabilità dei dispositivi protesici nel tempo dopo la loro cementazione sono i seguenti: isolamento del sito operatorio con diga di gomma; preparazione conservativa; valutazione del colore finale.

 

Aspetto dei tessuti molli dopo la rimozione del provvisorio

Fig. 17 - Aspetto dei tessuti molli dopo la rimozione del provvisorio.

 

Impronta digitale dei tessuti molli

Fig. 18a - Impronta digitale dei tessuti molli "Maschera gengivale".

 

Copia Biogenerica del mock-up e del provvisorio avvitato

Fig. 18b - "Copia Biogenerica" del mock-up e del provvisorio avvitato.

 

Preparazioni al microscopio

Fig. 19 - Preparazioni al microscopio.

 

Impronta digitale definitiva

Fig. 20 - Impronta digitale definitiva.

 

Definizione della maschera gengivale e della corona con profilo di emergenza 2.1

Fig. 21a - Definizione della maschera gengivale e della corona con profilo di emergenza 2.1.

 

Disegno della "Linea di base" che evidenzia la preparazione della linea di finitura

Fig. 21b - Disegno della "Linea di base" che evidenzia la preparazione della linea di finitura.

 

Disegno della "Linea di copia"

Fig. 21c - Disegno della "Linea di copia".

 

Restauri protesici definitivi fresati

Fig. 22 - restauri protesici definitivi fresati.

 

Denti lucidati

Fig. 23b - Denti lucidati.

 

Conclusione

Spero che la lettura di questo articolo possa essere uno stimolo a vedere il proprio lavoro con occhi diversi. Nel corso degli anni, la mia "visione" mi ha portato a cambiare continuamente il mio approccio e il mio processo di lavoro e a guardare a ciò che facevo con occhio critico, per migliorarmi. Dopo tanti anni di navigazione nel mare digitale, devo ammettere che oggi, rispetto a 20 anni fa, le procedure si sono semplificate e ciò che all'epoca era considerato pionieristico è ormai parte dei protocolli clinici accettati. 

Innovazioni tecnologiche e materiali sempre più performanti mi hanno permesso di ridurre i tempi di terapia e il disagio per i miei pazienti e di aumentarne il margine di profitto (Fig. 24d, Fig. 24e).

 

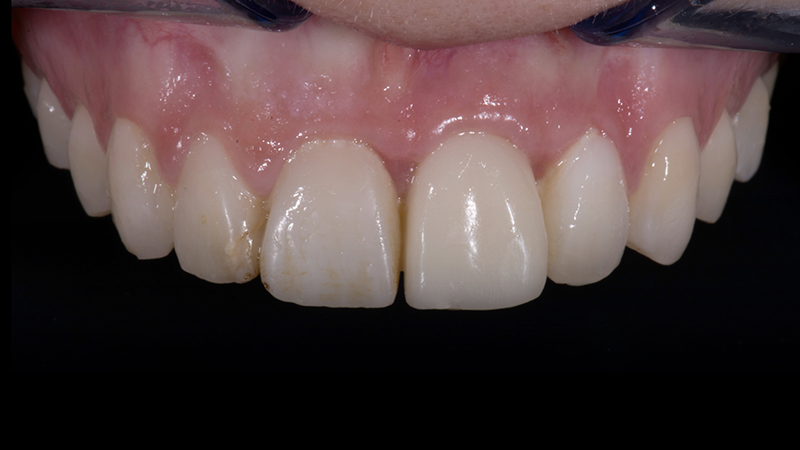
Risultato finale

Fig. 24d - Risultato finale.

 

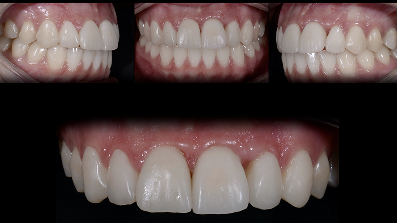
Risultato finale complessivo

Fig. 24e - Risultato estetico finale.
Video correlati
Non ci sono video associati a questo articolo.