Introduzione
Vediamo di seguito due casi protesici semplici, risolti nella stessa seduta con i pazienti alla poltrona, attraverso tecnologia additiva e flusso digitale diretto basato su procedura #chairside:
1) scansione intraorale (iTero Element 5D Plus®, Align Technologies);
2) modellazione CAD (Galway®, Exocad) del restauro protesico;
3) stampa 3D (DFAB®, DWS) del restauro protesico in ceramica ibrida (IrixMax®, DWS Systems), lavaggio, polimerizzazione e caratterizzazione;
4) applicazione clinica.
Caso clinico 1
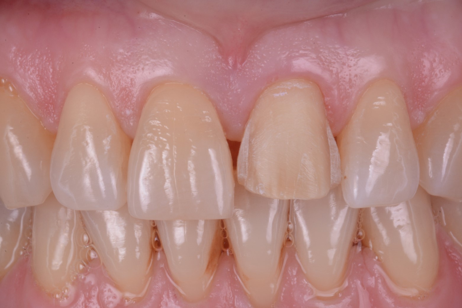
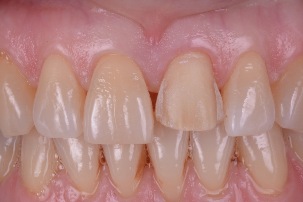
La paziente si presentava con la necessità di rifare una vecchia faccetta pre-esistente sul dente #21, che si era fratturata (Figure 1,2).

Fig. 1. Scansione intraorale (iTero Element 5D Plus®, Align) della vecchia faccetta pre-esistente fratturata sul dente #21.

Fig. 2. Si noti la rima di frattura verticale sul #21, evidente dalla scansione intraorale.
Il vecchio restauro incrinato veniva rimosso ed il dente veniva ri-preparato (Figura 3), veniva scelto il colore e nella stessa seduta si procedeva a scansione intraorale (Figure 4,5,6) con potente scanner (iTero Element 5D Plus®, Align Technologies).

Fig. 3. Preparazione dell’incisivo centrale superiore di sinistra (#21).

Fig. 4. Scansione intraorale (iTero Element 5D Plus®, Align) dopo la nuova preparazione del #21: visione frontale delle arcate.

Fig. 5. Dettaglio dell’acquisizione in HD (iTero Element 5D Plus®, Align) del dente preparato.

Fig. 6. Visione laterale della preparazione del dente #21.
La scansione era immediatamente inviata tramite cloud al laboratorio, che procedeva subito a modellazione di restauro tipo veneer (Figure 7,8,9) in software di CAD dedicato (Galway®, Exocad). Il file della modellazione era quindi inviato per posta elettronica allo Studio Dentistico, dove il restauro veniva immediatamente stampato in gradiente colore con stampante 3D (DFAB®, DWS Systems) basata su tecnologia laser denominata “Tilted Stereolithography”.

Fig. 7. Modellazione della nuova faccetta in software di CAD (Galway®, Exocad): visione frontale.

Fig. 8. Particolare del modellato in CAD in sezione 2D.

Fig. 9. Rendering fotorealistico della modellazione della nuova faccetta in CAD (Galway®, Exocad).
Il materiale prescelto era un ceramico ibrido (IrixMax®, DWS Systems) certificato anche per uso definitivo (Figure 10,11,12,13). Il restauro era quindi lavato in alcool, prima di essere rimosso dal piatto di stampa, e polimerizzato all’interno di fornelletto dedicato (DCure®, DWS Systems) (Figura 14). Il processo di stampa 3D e polimerizzazione del restauro richiedeva soltanto 15-20 minuti. Dopo la polimerizzazione, il restauro era successivamente caratterizzato (OptiglazeTM color, GC corporation) prima di essere cementato in bocca alla paziente (Figura 15). Il restauro in materiale ibrido si adattava perfettamente sulla preparazione, mostrando elevata accuratezza, oltre ad una buona integrazione estetica. L’intera procedura veniva realizzata con la paziente alla poltrona, attraverso procedura #chairside, e richiedeva poco più di un’ora.

Fig. 10. La stampante DFAB® (DWS Systems).

Fig. 11. Il materiale utilizzato in questo caso era un ceramico ibrido: IrixMax® (DWS Systems).

Fig. 12. Particolare del software proprietario di preparazione alla stampa (Nauta Photoshade®, DWS Systems): la scelta dei livelli di colore è il passaggio fondamentale del processo. Nella fattispecie, il restauro veniva stampato utilizzando una cartuccia small.

Fig. 13. La faccetta appena stampata, prima di essere rimossa dal piattino di stampa.

Fig. 14. Il restauro nel fornelletto di polimerizzazione proprietario DCure® (DWS Systems).

Fig. 15. Il restauro appena cementato.
Caso clinico 2
Il paziente necessitava di restauro su impianto (Anyridge®, Megagen) in posizione #36, e pertanto veniva sottoposto a scansione intraorale (iTero Element 5D Plus®, Align Technologies) (Figure 16,17,18,19,20).

Fig. 16. Scansione intraorale dell’arcata master (iTero Element 5D Plus®, Align) per impianto in posizione #36 (Anyridge®, Megagen): collare mucoso in evidenza dopo rimozione dell’abutment di guarigione.

Fig. 17. Per la scansione intraorale abbiamo utilizzato uno scanbody IPD ProCam (Abutmentcompatibili®, BiagginiMedicalDevices).

Fig. 18. Particolare della scansione del modello master con lo scanbody in posizione (Abutmentcompatibili®, BiagginiMedicalDevices).

Fig. 19. Particolare dell’alta definizione dello scanbody. Lo scanner (iTero Element 5D Plus®, Align) è dotato di risoluzione adattativa.

Fig. 20. Le arcate in occlusione con lo scanbody in posizione.
Mentre il paziente attendeva in poltrona, la scansione era inviata al laboratorio, che procedeva subito a modellazione di corona singola monolitica (Figure 21,22,23) in software di CAD dedicato (Galway®, Exocad). Il file della modellazione era quindi re-inviato allo Studio Dentistico, dove il restauro veniva immediatamente stampato in gradiente colore con stampante 3D (DFAB®, DWS Systems) in materiale ceramico ibrido (IrixMax®, DWS Systems) certificato per uso definitivo (Figure 12,13,24).

Fig. 21. Modellazione CAD del restauro monolitico (Galway®, Exocad).

Fig. 22. Rendering fotorealistico della modellazione della corona.

Fig. 23. Dettaglio occlusale della modellazione del restauro.

Fig. 24. Stampa 3D del restauro monolitico con stampante SLA (DFAB®, DWS Systems).
Dopo essere stato sciacquato in alcool per due minuti, il restauro era rimosso dal piatto di stampa e polimerizzato all’interno di fornelletto dedicato (DCure®, DWS Systems) (Figura 14). Il processo di stampa 3D e polimerizzazione del restauro richiedeva soltanto 15-20 minuti. Dopo la polimerizzazione, il restauro era successivamente caratterizzato (OptiglazeTM color, GC corporation) prima di essere cementato in bocca alla paziente (Figura 25). Il restauro era accurato, e mostrava un’ottima integrazione estetico-funzionale. Anche in questo caso, la procedura veniva realizzata con il paziente in poltrona, attraverso procedura #chairside.

Fig. 25. Consegna del restauro stampato in 3D dopo ulteriore caratterizzazione.
Ringraziamenti:
Si ringraziano il Dr. Sergio Montini e l’Odt. Roberto Cavagna per il contributo clinico e tecnico utile alla finalizzazione dei due presenti casi.