Caso Clinico
La riabilitazione implanto-protesica semplice nell'era della stampa 3d
Prof. Carlo Mangano
Dentista
Prof. Carlo Mangano

Presentiamo un caso di riabilitazione di edentulia parziale ottenuta attraverso un protocollo easy, #fulldigital #model-free. Si trattava di un ponte supportato da impianti stampato in materiale composito ibrido (caricato con ceramica al 42% e certificato come restauro definitivo) con moderna tecnologia TSLA (tilted stereolithography) con stampante Dfab® (DWS Systems, Thiene, Vicenza, Italia). Il restauro veniva cementato su monconi custom fresati dall’Azienda implantare.

Il paziente, maschio di 65 anni senza problemi di salute generale, con una buona igiene orale, si presentava alla nostra attenzione per la risoluzione di un problema di edentulia multipla, a carico degli elementi #14 e #15 (primo e secondo premolare superiore di destra). Gli impianti prescelti per la riabilitazione protesica erano i NATURACTIS® (LYRA ETK, Sallanches, Francia). Contestualmente all’inserimento degli impianti, venivano avvitati su di essi gli scan healing abutments tipo i-PHYSIO® (LYRA ETK) più adatti al caso, selezionati accuratamente in base al tipo di dente da sostituire, ed allo spessore e all’altezza dei tessuti molli peri-implantari presenti. Tali abutments hanno la duplice funzione di viti di guarigione personalizzate, che modellano i tessuti per l’inserimento del restauro definitivo, e di scanbodies per la cattura della posizione dell’impianto attraverso impronta ottica. Pertanto una volta inseriti, non devono essere più rimossi, fino alla consegna dei restauri protesici definitivi (Figure 1, 2).

 


i-Physio in posizione
Fig. 1 
i-Physio in posizione visione laterale
Fig. 2

Passato un periodo di due mesi, necessario al completamento dell’osteointegrazione, si procedeva pertanto alla cattura della posizione degli impianti attraverso impronta ottica con potente scanner intraorale (iTERO Element 5D Plus®, Align Technologies, San Josè, USA). Come già detto, non era necessario montare alcuno scanbody dedicato, in quanto gli scan healing abutments svolgevano la duplice funzione di viti di guarigione personalizzate e di dispositivi di trasferimento della posizione implantare nel CAD. La scansione era pertanto semplificata e consisteva nella cattura del modello master con i-PHYSIO® (LYRA ETK) in situ, del modello antagonista e del bite (Figure 3, 4 e 5).


Scansione intraorale con iTERO Element 5D Plus, visione laterale
Fig. 3
Scansione intraorale con iTERO Element 5D Plus, visione occlusale
Fig. 4
Dettaglio degli i-Physio catturati nella scansione intraorale del modello master
Fig. 5

La scansione veniva inviata al laboratorio odontotecnico che procedeva alla modellazione, attraverso software di computer-assisted-design (CAD) (Galway®, Exocad, Darmstadt, Germania) di monconi personalizzati e ponte definitivo (protesi cementata). I monconi personalizzati venivano inviati all’azienda implantare che li fresava, in questo caso in titanio; il ponte veniva invece realizzato in house attraverso tecnica di stampa TSLA con stampante laser Dfab® (DWS Systems). Il materiale prescelto per la stampa era un composito ibrido (Irix Max® appunto, sempre di DWS Systems), caricato con ceramica al 42%, e pertanto certificato per la stampa di restauri definitivi. Grazie alla tecnologia proprietaria Photoshade® (DWS Systems) l’operatore era in grado di stampare il restauro del colore desiderato, perché poteva scegliere tra diversi gradienti colore naturali. Il ponte veniva polimerizzato in fornelletto Dcure® (DWS Systems), ed era pronto per la consegna (Figure 6, 7, 8 e 9). 


Dettaglio occlusale degli i-Physio nel software di CAD
Fig. 6
Gli i-Physio nel software di CAD visione laterale
Fig. 7
Dettaglio di modellazione CAD del ponte e dei monconi individuali
Fig. 8
La modellazione inserita nel contesto della bocca del paziente virtuale in CAD.
Fig. 9

Il paziente era quindi chiamato per il terzo ed ultimo appuntamento, dopo quelli necessari all’inserimento degli impianti (primo appuntamento) ed alla scansione intraorale (secondo appuntamento): quello della consegna del restauro definitivo. 
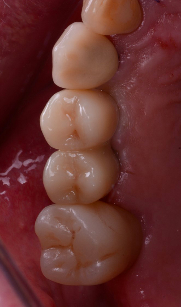
L’operatore svitava gli scan healing abutments i-Physio® (LYRA ETK) e senza alcuna difficoltà (con i tessuti molli già “preparati” all’inserimento dei monconi custom definitivi, la cui porzione inferiore veniva “copiata” da quella dei coded abutments utilizzati) avvitava i monconi personalizzati in titanio Su di essi, infine, cementava il restauro definitivo. La precisione clinica era assoluta, data dall’elevata qualità della scansione intraorale (iTERO Element 5D Plus®, Align) combinata all’alta qualità del fresato customizzato e della stampa 3D del restauro in composito ibrido (Irix Max®, DWS) (Figure 10, 11, 12, 13, 14, 15 e 16). 

Il digitale può essere davvero semplice ed alla portata di tutti, se si scelgono le soluzioni migliori! 


Visione occlusale
Fig. 10
Rendering fotorealistico Truesmile di Exocad della modellazione del restauro
Fig. 11
Rendering fotorealistico Truesmile di Exocad della modellazione del restauro, visione laterale
Fig. 12
file del restauro definitivo e pronto per la stampa
Fig. 13
caricamento del file STL del restauro nel software Nauta Photoshade di DWS System
Fig. 14
Settaggio dei livelli colore
Fig. 15
Dettaglio del restauro pronto per la generazione dei supporti automatici
Fig. 16

Nulla vieta di realizzare tutto addirittura in additive chairside, qualora si opti per una sovrastruttura avvitata: sarebbe teoricamente possibile, con il paziente alla poltrona, preallertare il tecnico, inviargli la scansione e ricevere il modellato CAD (sovrastruttura avvitata) in 5-10 minuti, tempo per un caffè. Ricevuto il modellato, non bisognerebbe far altro che stampare il ponte definitivo in composito ibrido con la stampante Dfab® di DWS, procedura che richiede al massimo 10-15 minuti, inclusa la polimerizzazione in fornelletto proprietario. A questo punto, non bisognerebbe far altro che cementare extraoralmente il restauro stampato sui rispettivi ti-bases, ed avvitarlo su paziente. Si tratterebbe di un chairside di qualità assoluta, come testimoniato da recenti lavori scientifici in vitro ed in vivo, elegante e sostenibile economicamente. 


salute dei tessuti dopo rimozione degli scan healing abutments i-Physio
Fig. 17
Inserimento dei monconi individuali fresati da Lyra Etk.
Fig. 18
restauro stampato con tecnica tilted stereolithography
Fig. 19

Ma noi amiamo la protesi cementata.. e non cambiamo idea, perché riteniamo che il supporto dato al restauro da uno o più monconi individualizzati, siano essi integralmente in titanio o ibridi (titanio e zirconia) sia essenziale, e non ci piacciono i restauri con i fori vite occlusali.
 

Video correlati
Non ci sono video associati a questo articolo.