Caso Clinico
iPHYSIO PROFILE DESIGNER®: La soluzione vincente
Prof. Jaafar Mouhyi
Dentista
Prof. Jaafar Mouhyi

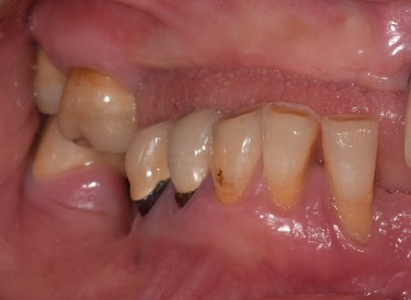
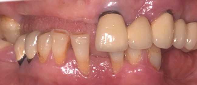
Una paziente di 65 anni si presentava presso la nostra clinica con ampie aree edentule (1° e 3° quadrante), un ponte con mobilità nel 2° quadrante e denti inferiori con scarso supporto parodontale ad eccezione del dente 46 (Fig. 1 a,b,c,d). Dopo un'accurata anamnesi ed esame della CBCT (CS9600®, Carestream Dental, Atlanta, USA) (Fig. 1d), si optava per estrarre le radici e i denti con una prognosi sfavorevole, lasciando 4 molari che credevamo potessero essere conservati (denti 16,17, 26 e 47) al fine di mantenere la dimensione verticale di occlusione (DVO) originale. Si progettava il posizionamento di 12 impianti: 6 impianti nella mascella e 6 nell'arcata inferiore.


Situazione pre operatoria 1
Fig. 1(a)
Situazione pre operatoria 2
Fig. 1(b)
Situazione pre operatoria 3
Fig. 1(c)
Situazione pre operatoria 4
Fig. 1(d) Situazione pre-operatoria.


Prima dell’intervento, il posizionamento degli impianti veniva attentamente pianificato utilizzando il software SMOP® (Fig. 2 a) e la guida aperta TwinGuide® che era progettata di conseguenza (Fig. 2 b,c).
 


Pianificazione del caso
Fig. 2(a)
Preparazione del caso 2
Fig. 2(b)
Preparazione del caso 3
Fig. 2(c) Pianificazione del caso all’interno di software per la chirurgia guidata.


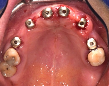
Durante l'intervento chirurgico si posizionava la guida (Fig. 3a) e i siti implantari venivano fresati secondo le sequenze previste. Posizionavamo gli impianti (LYRA ETK, Sallanches, Francia) e gli abutment iPhysio® Profile Designer (Fig. 3 b) che erano selezionati in base al profilo di emergenza desiderato del futuro restauro.
Questi healing abutments vengono avvitati sugli impianti durante la prima o la seconda fase chirurgica. Essi poi restano in posizione durante tutta la guarigione ossea e gengivale e durante la presa dell'impronta, indipendentemente dall'area di impianto. Il Profile Designer iPhysio® viene essere rimosso solo una volta, per posizionare il restauro finale. Gli abutment provvisori in polieter-eter-chetone (PEEK) venivano agganciati agli iPhysio® Profile Designers, sui quali venivano adattati i restauri provvisori (Fig. 3c). Il carico immediato degli impianti è stato eseguito utilizzando una protesi provvisoria in PMMA (Fig. 3d). Al rientro per un controllo, si osservava una corretta guarigione dei tessuti attorno agli impianti e attorno agli abutment iPhysio®.
 


Posizionamento degli impianti attraverso la dima chirurgica
Fig. 3(a)  Posizionamento degli impianti attraverso la dima chirurgica.
Fotografia degli impianti appena inseriti con iPhysio® avvitati
Fig. 3(b) Fotografia degli impianti appena inseriti con iPhysio® avvitati.
Monconi provvisori in PEEK inseriti
Fig. 3(c) Monconi provvisori in PEEK inseriti.
Provvisorio in situ
Fig. 3(d) Provvisorio in situ.


Si procedeva quindi alla scansione degli iPhysio® utilizzando uno scanner intraorale (IS 3600®, Dexis, Envista Holding Corporation, Brea, USA) (Fig. 4 a). Inviavamo i file STL al laboratorio odontotecnico per progettare e realizzare la protesi finale (Fig. 4 b,c,d,e,f). 
 


Progetto CAD finale
Fig. 4(a)
Progetto CAD finale 2
Fig. 4(b)
Progetto CAD finale 3
Fig. 4(c)
Progetto CAD finale 4
Fig. 4(d)
Progetto CAD finale 5
Fig. 4(e)
Progetto CAD finale 6
Fig. 4(f) Progetto CAD finale della protesi.


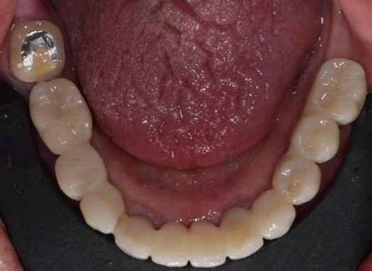
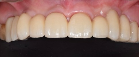
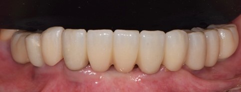
Il laboratorio odontotecnico utilizzava le più recenti tecnologie CAD/CAM per produrre una protesi dentale personalizzata e di alta qualità che si adattasse perfettamente e garantisse funzionalità ed estetica ottimali. Il concetto iPhysio® facilita il recupero automatico del profilo di emergenza sottogengivale da parte dell'odontotecnico per la realizzazione di soluzioni personalizzate sia con la protesi cementata che con la protesi avvitata (Fig. 5 a,b,c). La paziente tornava per il posizionamento del restauro finale in zirconio avvitato (Fig. 6 a,b).
 


Profili di emergenza ideali disegnati dagli iPhysio
Fig. 5(a)
Profili di emergenza ideali disegnati dagli iPhysio 2
Fig. 5(b)
Profili di emergenza ideali disegnati dagli iPhysio 3
Fig. 5(c) Profili di emergenza ideali disegnati dagli iPhysio®.
Protesi finale
Fig. 6(a)
Protesi finale 2
Fig. 6(b) Protesi finale.


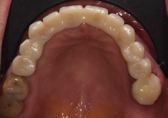
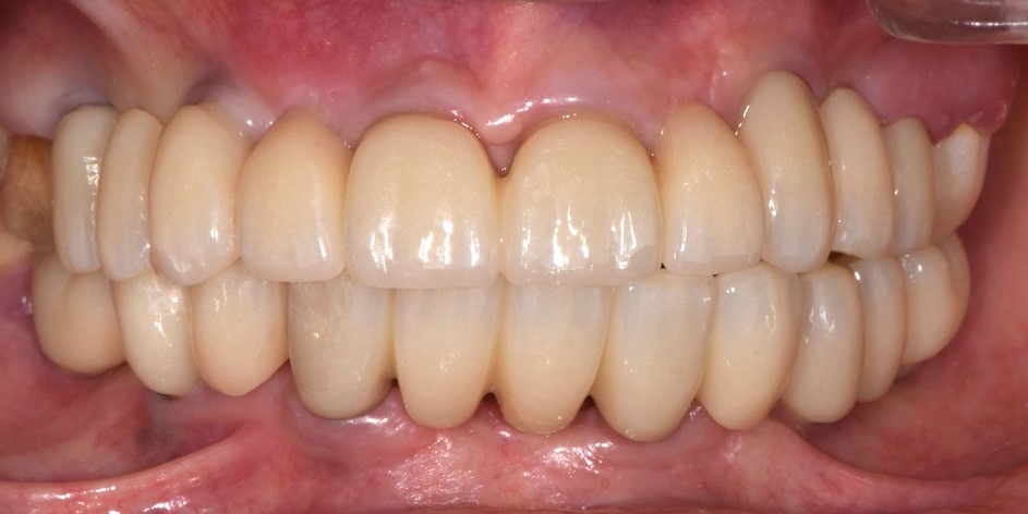
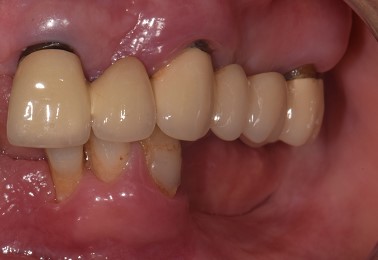
I restauri si adattavano perfettamente, poiché il design dell'abutment iPhysio® aveva modellato i tessuti molli in modo così predicibile da poter essere riprodotto digitalmente sul profilo di emergenza della protesi finale (Fig. 7 a,b,c,d,e,f).
 


Il restauro definitivo alla consegna
Fig. 7(a)
Il restauro definitivo alla consegna 2
Fig. 7(b)
Il restauro definitivo alla consegna 3
Fig. 7(c)
Il restauro definitivo alla consegna 4
Fig. 7(d)
Il restauro definitivo alla consegna 5
Fig. 7(e)
Il restauro definitivo alla consegna 6
Fig. 7(e) Il restauro definitivo alla consegna.

Video correlati
Non ci sono video associati a questo articolo.