Autori: Dr. Karl Ulrich Volz, Dr. Fabian Schick, Dr. Ilian Dargel, Dr. Robert Bauder, Dr. Tobias Wilck, Dr.ssa Etyene Schnurr.
Gli impianti dentali in ceramica sono oggi molto apprezzati per l’elevata estetica e biocompatibilità (1). Il loro colore mima quello dei denti naturali, ed è ideale per i pazienti con gengiva sottile, e linea del sorriso alta. Nel presente case series, abbiamo valutato il comportamento nel tempo di impianti ceramici mono e bifasici, posizionati direttamente in alveoli post-estrattivi, in varie situazioni cliniche, attraverso protocolli chirurgici standardizzati. Il nostro obiettivo era quello di esaminare i risultati ottenuti a breve e lungo termine, fornendo preziose indicazioni cliniche a tutti i colleghi interessati all’implantologia ceramica.
Fig. 1 (caso 1) - Radiografia panoramica pre-operatoria
Procedura chirurgica
I denti erano estratti in modo minimamente invasivo, in anestesia locale, in parte con l'ausilio della piezochirurgia. Gli alveoli post-estrattivi venivano completamente degranulati, per rimuovere tutti i residui di tessuto molle, le aree osteolitiche e i materiali estranei. Gli impianti in ceramica di Swiss Dental Solutions (SDS) venivano inseriti immediatamente negli alveoli freschi, dopo la preparazione del sito implantare con frese anch’esse in ceramica, seguendo i protocolli stabiliti per l'osteotomia. Il PRF era posizionato attorno agli impianti, negli alveoli post-estrattivi. A questo scopo veniva utilizzato il concetto di centrifugazione a bassa velocità (LSCC) (2). Gli impianti erano manualmente portati nelle posizioni protesicamente corrette con un torque di 35-60 N/cm.
Fig. 2 (caso 1) - Vista clinica occlusale immediatamente dopo l'inserimento degli impianti in zirconia. Impianti SDS ovali nella regione anteriore, posizioni 11 e 21, fixtures classiche nelle posizioni 12 e 22, ed inserimento delle matrici PRF
Fig. 3 (caso 2) - Procedura mini-invasiva con conservazione della teca ossea vestibolare
Fig. 4 (caso 2) - Osteotomia secondo protocollo SDS
Fig. 5 (caso 2) - Impianto SDS
Fig. 6 (caso 2) - Situazione immediatamente dopo il posizionamento dell'impianto e l'inserimento di matrici PRF
Dati descrittivi
Analizzavamo gli impianti inseriti in 4 diversi pazienti (2 donne, 2 uomini; età media di 47 anni), uno dei quali era un forte fumatore (Fig. 18 - Caso 4). I chirurghi erano dotati tutti di grande esperienza (almeno 200 impianti in ceramica inseriti). Le ragioni dell’estrazione e del posizionamento immediato dell’impianto variavano, annoverando peri-implantite, cisti periapicali oppure motivazioni del paziente. La valutazione includeva impianti con follow-up a breve termine (2.5 ± 1 mesi dopo il carico) e a lungo termine (6 anni ± 3 mesi), con dimensioni e posizioni diverse (Tabella 1). Venivano valutati parametri estetici come il Pink Esthetic Score (PES), la presenza di papilla, tessuti molli, altezza gengivale marginale, processi alveolari, colore e struttura dei tessuti molli (3). I risultati estetici miglioravano nel tempo, confermando l'efficacia dei protocolli di carico immediato (Tabella 2).


Venivano valutati in tutto 19 impianti. Di questi, l'84.2% (16 impianti) era inserito nel mascellare superiore, mentre il 15.8% (3 impianti) nella mandibola. Il 57.9% (11 impianti) era inserito nella regione anteriore, e il 42.1% (8 impianti) nella regione posteriore dei mascellari (Tabella 1). Gli impianti variavano in diametro, da 3,8 a 5,4 mm, e in lunghezza, da 8 mm fino a 17 mm (Tabella 1).
Per un impianto, si rendeva necessario un innesto di tessuto connettivo prelevato dal palato. Ciò attraverso una singola incisione, un tunnel buccale e il posizionamento dell'innesto (Fig. 13,14 - Caso 3). Tutti gli impianti erano protesizzati con corone singole splintate agli elementi adiacenti. Nel caso 4 erano posizionate 4 corone in ceramica.
Tutti gli impianti sopravvivevano, per un tasso di sopravvivenza del 100%. L'analisi dell'osso marginale era limitata a un impianto, che rientrava nel Gruppo I (classificazione mista) (4), indicando una perdita di osso crestale inferiore a 2-4 mm (vedere Fig. 17 - Caso 3). Una limitazione di questo studio era rappresentata dal fatto che le cartelle cliniche e i dati basati esclusivamente sulla CBCT o sulle radiografie panoramiche venivano esclusi dai controlli poiché non adatti alla valutazione della perdita ossea marginale attorno agli impianti in ceramica (5).
Fig. 7 (caso 2) - Preparazione all'inserimento della corona protesica. L'abutment personalizzabile del sistema implantare in ceramica SDS è conforme alla normativa DIN ISO 14801
Fig. 8 (caso 2) - Cementazione della corona definitiva
Fig. 9 (caso 2) - Visione laterale con preservazione della cresta alveolare buccale
Fig. 10 (caso 2) - Vista frontale dopo 3 mesi dall'inserimento dell'impianto
Follow-up a breve termine
Caso 1: Un paziente, maschio di 59 anni, si presentava con cisti apicali sugli incisivi centrali e laterali mascellari con trattamento canalare inadeguato. Seguiva posizionamento immediato di impianto in ceramica SDS con carico immediato per un periodo di 2 mesi. (Fig. 1,2).
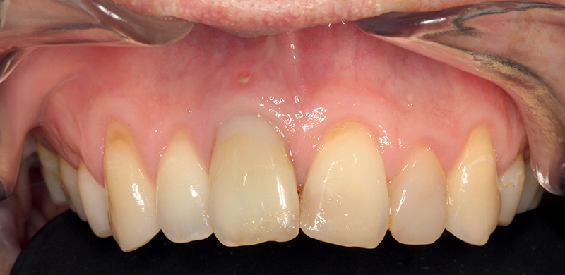
Caso 2: Una paziente di 33 anni si presentava con corona clinica del dente 11 scolorita, associata ad una linea del sorriso alta, che rappresentava una sfida per il risultato estetico. Il dente era associato a riassorbimento apicale, cisti e sintomi dolorosi. Veniva estratto e la paziente riceveva un impianto SDS. L'intervento seguiva scrupolosamente il protocollo di perforazione ossea suggerito dal produttore, e l'intervento mini-invasivo manteneva intatte la parete buccale dell'alveolo dentale. La competenza del chirurgo si rivelava fondamentale per ottenere un risultato estetico favorevole, fin dai primi passi. Lo spazio tra l'impianto e la parete vestibolare (circa 0,5-1 mm) veniva riempito con matrici PRF, per stimolare la formazione di nuovo osso. In questo caso non era necessaria la sutura. Dopo 3 mesi l’impianto era preparato e la paziente riceveva la corona definitiva. La paziente era soddisfatta del trattamento (Fig. 3-10).
Follow-up a lungo termine
Caso 3: Un paziente maschio subiva un trauma durante l'infanzia e si presentava con una fistola associata al dente 11 e un difetto della cresta alveolare vestibolare. Il paziente era sottoposto a posizionamento immediato di un impianto SDS. In questo caso, l'aumento veniva combinato con il prelievo di tessuto connettivo subepiteliale (SCTG) dal palato, attraverso una singola incisione, tunnellizzazione buccale e inserimento dell’innesto. I successivi appuntamenti di follow-up rivelavano il successo della preservazione della cresta alveolare vestibolare, e della guarigione dei tessuti molli attorno all'impianto. L'osteointegrazione avveniva senza problemi e si poteva iniziare la pianificazione della corona definitiva. Questo caso era seguito per 5 anni e anche dopo questo periodo il contorno alveolare era estremamente soddisfacente. La guarigione e la gestione dei tessuti molli erano adeguate, suggerendo come l'applicazione dell'innesto di tessuto connettivo abbia contribuito positivamente al risultato estetico (Fig. 11-17).
Fig. 11 (caso 3) - Quadro clinico iniziale
Fig. 12 (caso 3) - Pianificazione implantare con CBCT
Fig. 13 (caso 3) - Procedura clinica dell'innesto di tessuto connettivo. Vista del palato
Fig. 14 (caso 3) - Decordo clinico dell'innesto di tessuto connettivo dopo l'inserimento dell'impianto
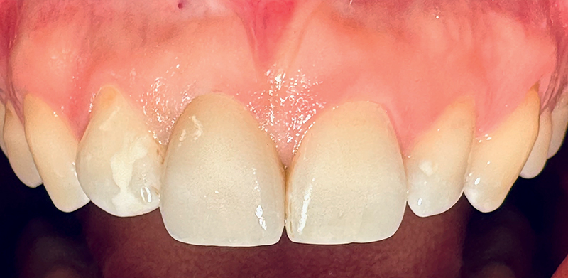
Fig. 15 (caso 3) - Quadro clinico occlusale 5 anni dopo l'impianto. Conservazione della cresta alveolare
Fig. 16 (caso 3) - Quadro clinico frontale 5 anni dopo l'impianto
Fig. 17 (caso 3) - Radiografia 5 anni dopo l'inserimento dell'impianto. Marginal bone loss (MBL) 0 1.24 mm
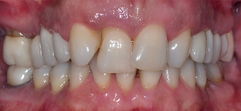
Caso 4: Una paziente, fumatrice, con parodontite avanzata e numerose cisti periapicali in entrambe le regioni superiori posteriori, presentava perimplantite terminale a carico degli impianti in titanio pre-esistenti, grave mobilità dei denti e marcata perdita ossea in tutte le regioni del mascellare. Inoltre, si osservava uno spostamento della linea mediana di ca. 4 mm, con denti mancanti (12 e 22). La maggior parte dell'osso alveolare buccale dei denti 11 e 21 era già andata perduta, e la linea del sorriso alta del paziente presentava sfide estetiche. Per compensare lo spostamento della linea mediana e creare una dentatura regolare da 16-26, la paziente optava per il posizionamento immediato di impianti a carico immediato (attraverso riabilitazione con protesi provvisoria a lungo termine), per un totale di 10 fixtures nell'arcata superiore. Gli impianti venivano attentamente monitorati, così come le condizioni parodontali della paziente. Dopo 6 mesi gli impianti venivano finalmente preparati e dotati di corone in ceramica definitive. Nello stesso periodo la paziente acconsentiva anche all’inserimento di un impianto nella regione dei molari inferiori, che portava ad una completa riabilitazione orale. Subito dopo il primo intervento chirurgico (rimozione di tutti i denti infiammati e degli impianti in titanio nel mascellare superiore, ed inserimento immediato di 10 impianti in ceramica a carico immediato), lo stato di salute generale del paziente migliorava notevolmente, come chiaramente veniva confermato 7 anni dopo (Fig. 18-21).
Fig. 18 (caso 4) - Situazione clinica iniziale
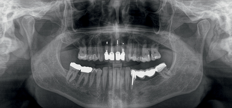
Fig. 19 (caso 4) - Radiografia e CBCT che mostrano difetto e perdita di struttura ossea
Fig. 20 (caso 4) - Immagine di controllo radiografica a 12 mesi dall'inserimento degli impianti
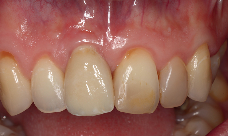
Fig. 21 (caso 4) - Visione finale del sorriso dopo 7 anni. Completo recupero dell'estetica e osteointegrazione nonostante la condizione clinica iniziale
Discussione e conclusioni
Gli impianti dentali in ceramica offrono vantaggi estetici, con risultati clinici ed affidabilità paragonabili agli impianti in titanio (6). Il carico immediato, sebbene non funzionale, può aumentare il rischio di fallimento; ma tale rischio può essere mitigato da fattori quali l'uso di PRF ed impiego di fixtures più lunghe per aumentare la stabilita, e abutments personalizzati. Nel presente case series, i risultati estetici hanno dimostrato un significativo miglioramento nel tempo (Tabella 2), confermando l'efficacia dei protocolli di carico immediato. Nonostante i limiti, questo report clinico evidenzia che è possibile ottenere risultati estetici favorevoli con impianti in ceramica a carico immediato, sia a breve che a lungo termine; fornisce inoltre un utile approfondimento pratico ai medici che vogliono ridurre i tempi e i costi del trattamento, migliorando i risultati per i pazienti.
Bibliografia essenziale:
1. S3-Leitlinie (Langfassung) Keramikimplantate. AWMF-Registernummer: 083-039. Dez 2022.
https://www.dginet.de/wp-content/uploads/sites/4/2024/02/20240130_LL_083-039_S3_Keramikimplantate_lang_2022_meta.pdf. Accessed 11.03.2024.
2. K. El Bagdadi, A. Kubesch, X. Yu, S. Al-Maawi, A. Orlowska, A. Dias, P. Booms, E. Dohle, R. Sader, C.J. Kirkpatrick, J. Choukroun, S. Ghanaati, Reduction of relative centrifugal forces increases growth factor release within solid platelet-rich-fibrin (PRF)-based matrices: a proof of concept of LSCC (low speed centrifugation concept), Eur J Trauma Emerg Surg. 2019; 45 (3): 467-479.
3. R. Rutkowski, R. Smeets, L. Neuhöffer, C. Stolzer, K. Strick, M. Gosau, S. Sehner, K.U. Volz, A. Henningsen, Success and patient satisfaction of immediately loaded zirconia implants with fixed restorations one year after loading, BMC Oral Health. 2022; 22 (1):198.
4. C.E. Misch, M.L. Perel, H.L. Wang, et al, Implant success, survival, and failure: the international congress of oral Implantologists (ICOI) Pisa Consensus conference. Implant Dent 2008; 17: 5-15.
5. J. Neugebauer, T.R. Schoenbaum, J. Pi-Anfruns, M. Yang, B. Lander, M.B. Blatz, J.P. Fiorellini, Ceramic Dental Implants: A Systematic Review and Meta-analysis, Int J Oral Maxillofac Implants. 2023; 38(suppl): 30-36.
6. R.J. Kohal, B.C. Spies, K. Vach, M. Balmer, S. Pieralli, A Prospective Clinical Cohort Investigation on Zirconia Implants: 5-Year Results, J Clin Med. 2020; 9 (8): 2585.