Caso Clinico
Il metodo Re-smiling per le riabilitazioni estetiche
Prima e dopo Metodo Re-smiling
Dr. Mario Imburgia, DDS
Dentista
Dr. Mario Imburgia

Le riabilitazioni estetiche hanno sempre rappresentato per il clinico una sfida, e nella carriera del dentista probabilmente rappresentano il gesto tecnico più complesso da realizzare con successo e con piena soddisfazione del paziente. I fattori che rendono spesso imprevedibile il risultato possono essere diversi, e non sempre chiaramente riconoscibili, se non dai più esperti protesisti. L'introduzione delle nuove tecnologie digitali, e dei software di pianificazione hanno reso queste riabilitazioni più predicibili, più facilmente comunicabili al paziente, e con un risultato spesso molto ma molto vicino a ciò che è stato pianificato. Ho accumulato una notevole esperienza in questo tipo di riabilitazioni, raccogliendo dati relativamente a nuove tecniche e miglioramento di tecniche esistenti nella riabilitazione con faccette.

L'enorme numero di informazioni, ottenute grazie a diversi studi clinici, unitamente ai numerosi casi trattati hanno consentito di poter sviluppare delle solide basi scientifiche ed iconografiche per un progetto editoriale insieme a Quintessence publishing di Berlino che raccogliesse in un testo unico e completo tutte le informazioni per potere realizzare una riabilitazione con faccette con un metodo innovativo, predicibile, e minimamente invasivo.


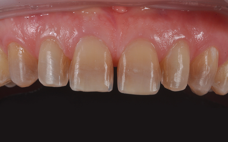
discomfort estetico paziente

Fig. 1 - La paziente si presenta alla mia osservazione lamentando un discomfort estetico.

 

presenza di diffusa pigmentazione su entrambe le arcate

Fig. 2 - All'esame obiettivo si rileva la presenza di una diffusa pigmentazione, probabilmente farmaco indotta, su entrambe le arcate.

 

dettaglio dell'arcata superiore

Fig. 3 - Dettaglio dell'arcata superiore, oltre alla diffusa pigmentazione si rileva la presenza di un diastema. La richiesta della paziente è un miglioramento del colore e della forma dei denti con chiusura del diastema.

Tutto questo è il metodo Re-Smiling , sintesi della frase Restyling smiles with vertical veneers. Alcuni dei punti essenziali della riabilitazione con faccette con il metodo Re-Smiling sono:

 

1. l'analisi estetica digitale del sorriso

L’analisi estetica del sorriso inizia sempre considerando il volto del paziente. Infatti, i parametri estetici facciali sono quelli che determinano la corretta posizione degli elementi dentari da un punto di vista estetico. Tra questi i più importanti sono la linea mediana del volto, la linea del sorriso ed il piano dell’orizzonte. Ciò che per anni abbiamo fatto con vari programmi e con passaggi spesso complicati, oggi può essere realizzato in maniera più semplice, e graficamente molto accattivante, tramite un software di intelligenza artificiale. Il software consente di ottenere un rendering del sorriso ideale del paziente in pochi clic, inoltre, grazie all'intelligenza artificiale che ne regola il funzionamento, le proposte terapeutiche possono essere diverse, con diversi scenari che possono essere scelti di comune accordo con il paziente.
Aggiungendo anche le scansioni del paziente è possibile ottenere un progetto tridimensionale dove l'80% del posizionamento degli elementi dentari viene eseguito dall'intelligenza artificiale, e l'operatore clinico dovrà limitarsi a quei piccoli aggiustamenti di fine Tuning per ottimizzare il caso. Il dato estremamente interessante è che il progetto 3D, esportabile in qualunque momento, è sempre legato a un rendering 2D che cambia simultaneamente alle modifiche del 3D. Il metodo Re-Smiling si basa su un breve questionario sottoposto al paziente che consente di ottenere una accettazione molto elevata del piano di trattamento, allineando le aspettative del paziente al progetto estetico sviluppato.


progettazione estetica in 2D

Fig. 4 - La progettazione estetica 2D realizzata tramite Smile Cloud. Le modifiche di forma vengono sviluppate tramite una smile frame che può essere modificata in termini di posizione e dimensione.

 

sviluppo diverse forme dentali con AI

Fig. 5 - Grazie all'intelligenza artificiale vengono sviluppate diverse forme dentali all'interno della smile frame.

 

sviluppo diverse forme dentali con AI

Fig. 6 - Grazie all'intelligenza artificiale vengono sviluppate diverse forme dentali all'interno della smile frame.

 

sviluppo forme dentali con AI

Fig. 7 - Grazie all'intelligenza artificiale vengono sviluppate diverse forme dentali all'interno della smile frame.

2. La preparazione VertiCAD

Una preparazione moderna e minimamente invasiva. La preparazione presentata nel libro Re-Smiling è una preparazione VertiCAD, cioè una preparazione di tipo verticale (senza linea di finitura) realizzata attraverso il progetto tridimensionale del Mock-Up con delle caratteristiche geometriche ottimizzate per la progettazione digitale mediante software CAD. La preparazione verticale per anni è stata definita come incompatibile con un flusso di lavoro digitale, oggi, la sua versione aggiornata (preparazione VertiCAD) rappresenta una procedura valida e minimamente invasiva per la realizzazione di preparazioni in restauri parziali e completi da realizzare con flusso di lavoro completamente digitale. La preparazione deve essere studiata in ogni suo aspetto tale da non compromettere la fase di manufacturing del restauro che verrà realizzato. Bisogna sempre pensare che la geometria che il clinico realizzerà mediante la preparazione dovrà essere poi copiata in negativo da un macchinario che potrà essere una stampante 3D o un fresatore. La conoscenza delle fasi di realizzazione dei restauri rappresenta un punto fondamentale per ottenere il massimo dal connubio verticale/digitale.


anatomie 3D

Fig. 8 - Partendo dal progetto 2D il software posiziona delle mesh sulle impronte digitali. Queste anatomie 3D possono essere facilmente modificate con degli strumenti CAD essenziali ma estremamente funzionali.

 

anatomie 3D

Fig. 9 - Partendo dal progetto 2D il software posiziona delle mesh sulle impronte digitali. Queste anatomie 3D possono essere facilmente modificate con degli strumenti CAD essenziali ma estremamente funzionali.

 

preparazioni VertiCAD

Fig. 10 - Le preparazioni VertiCAD.

 

preparazioni definitive

Fig. 11 - Le preparazioni definitive all'interno del Software CAD per la progettazione definitiva dei files.

 

preparazioni definitive

Fig. 12 - Le preparazioni definitive all'interno del Software CAD per la progettazione definitiva dei files.

3. Un flusso di lavoro completamente digitale

Questo ci consente di poter ottenere un risultato uguale se non migliore della pre-visualizzazione che abbiamo ottenuto dall’inizio, le modifiche per l'integrazione facciale sono praticamente ridotte al minimo, così come le prove intermedie. Grazie al perfezionamento delle tecniche di realizzazione dei restauri parziali, si possono ottenere degli ottimi fitting e una conseguente salute ottimale dei tessuti parodontali. Le tecnologie che utilizziamo prevalentemente sono lo scanner intraorale per rilevamento delle impronte preliminari e definitive, scanner che deve avere delle caratteristiche di precisione alte, così come una grande affidabilità nel rilevamento delle relazioni inter-mascellari. Uno scanner di alto livello consente il rilevamento dell'impronta intra-sulculare con facilità, in maniera tale da ottenere un'area in cui può essere sviluppato il profilo emergente del restauro. Il design definitivo dei nostri restauri verrà sviluppato tramite software CAD che hanno tutte le funzionalità per tenere sotto controllo in qualunque punto profili emergenti e anatomia; in fase di manufacturing, invece le tecnologie che andiamo a utilizzare sono fondamentalmente il milling, o in alternativa il 3D print and press.


cut view morfologia gengivale

Fig. 13 - La cut views consente di poter sviluppare un profilo emergente nel rispetto della morfologia gengivale. Il margine di finitura viene posizionato sulla parte più apicale della parete verticale della preparazione.

 

cut view morfologia gengivale

Fig. 14 - La cut view consente di poter sviluppare un profilo emergente nel rispetto della morfologia gengivale. Il margine di finitura viene posizionato sulla parte più apicale della parete verticale della preparazione.

 

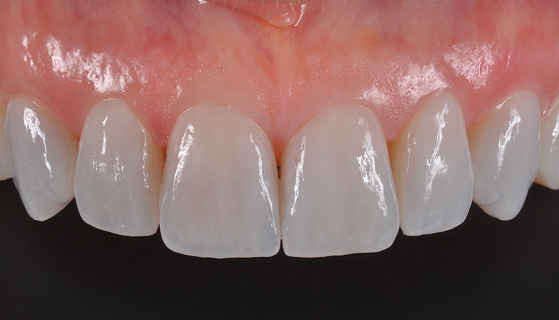
faccette arcata superiore

Fig. 15 - Le faccette dell'arcata superiore e la loro integrazione con i tessuti gengivali.

 

faccette arcata superiore

Fig. 16 - Le faccette dell'arcata superiore e la loro integrazione con i tessuti gengivali.

 

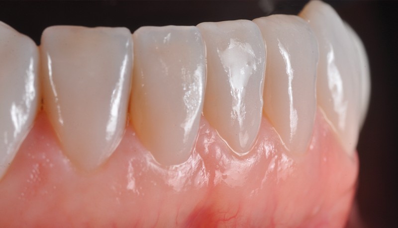
faccette arcata inferiore

Fig. 17 - Le faccette dell'arcata inferiore e la loro integrazione con i tessuti gengivali.

 

faccette arcata inferiore

Fig. 18 - Le faccette dell'arcata inferiore e la loro integrazione con i tessuti gengivali.

Tutti i vari step, dalla comunicazione col paziente alla gestione delle complicanze, sono stati affrontati in maniera approfondita all'interno del libro che ho dedicato a questo argomento. Grandissimo peso, più di un terzo del libro, è stato dedicato alla riabilitazione dei pazienti con usure dentali gravi, utilizzando un approccio in uno step unico, che consente di ridurre i tempi di trattamento e aumentare la predicibilità al tempo stesso con casi con follow up a lungo termine. L’usura dentale è una patologia emergente che interessa un’alta percentuale dei nostri pazienti. Il protocollo Re-Smiling consente di ottenere un risultato ottimale con un tempo di trattamento ridotto ed una invasività minima.


Integrazione della riabilitazione con faccette

Figs. 19, 20 - L'integrazione facciale della riabilitazione con faccette.

Si ringraziano Nicola Palladino e Fabrizio Pasini per l'eccellente lavoro odontotecnico.

Video correlati
Non ci sono video associati a questo articolo.