Caso Clinico
Come marinai al canto delle sirene: scorciatoie e compromessi per credibili insuccessi
"Come i marinai al canto di sirene.
Come falene al danzare della fiamma.
Come un'opinione segregata in un pregiudizio".
Dr. Diego Penna
Dentista

Odontoiatra, specialista in chirurgia orale
 

Dr. Diego Penna

Oggi in questo racconto parleremo di protocolli. Sono loro i veri protagonisti, sono loro gli strumenti che oggi ci permetteranno di ottimizzare una già buona tecnica di scansione intraorale, semplificando e migliorando i dati acquisiti e garantendo una validazione finale indipendente dal flusso digitale utilizzato.
Scevri da pregiudizi abbiamo cercato e probabilmente trovato la miglior soluzione protesica per garantire al nostro paziente predicibilità, qualità e soprattutto una cura al suo problema. Perché prima di tutto siamo noi che curiamo, liberi da pregiudizi, in scienza e coscienza.

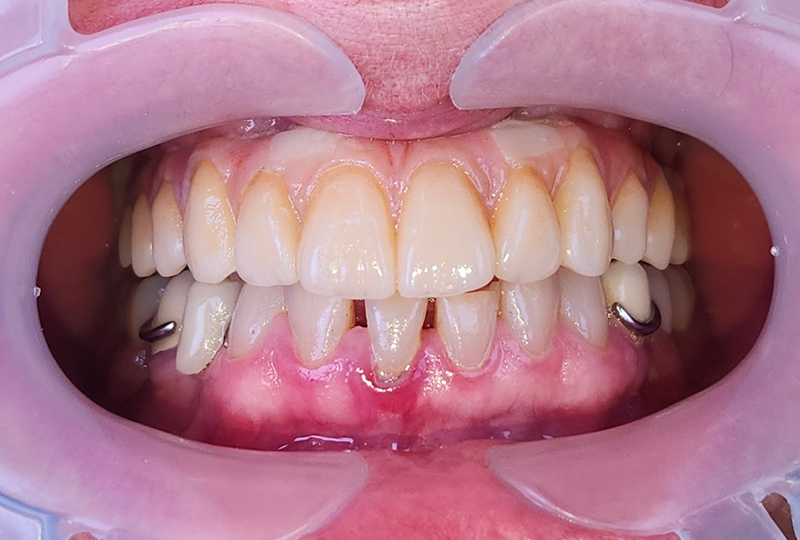
ODT Giovanni Rossi: Il paziente ci è ben noto, è una nostra conoscenza recente ma importante. Con lui abbiamo intrapreso un percorso di pianificazione chirurgica, riabilitato in carico immediato con una protesi stampata e caratterizzata nei toni rosa in composito.
Dopo alcuni mesi abbiamo finalmente raggiunto la completa maturazione dei tessuti e la perfetta integrazione degli impianti. Il paziente è soddisfatto del suo provvisorio, tanto da chiedere più volte: "Perché non lasciamo questa protesi? È perfetta!" (Figure 1, 2).


Situazione clinica iniziale
Fig. 1
protesi provvisoria a carico immediato dopo l'integrazione degli impianti
Fig. 2

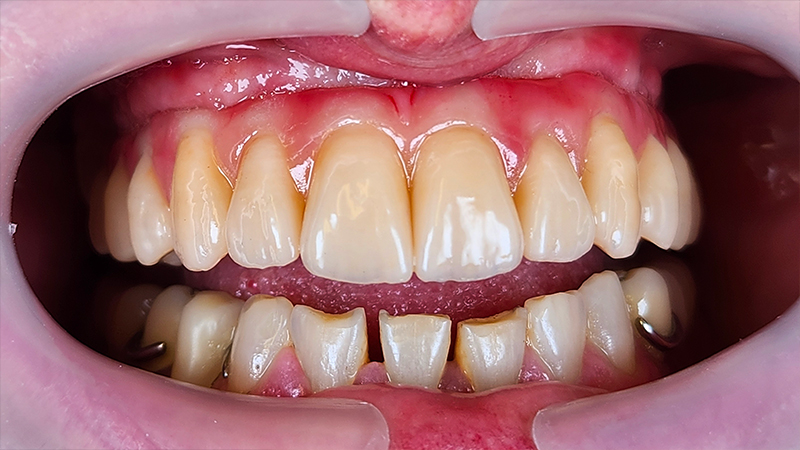
Effettivamente, il provvisorio è molto piacevole. Le resine da stampa 3D e i moderni compositi stanno cambiando il nostro approccio alla produzione dei dispositivi protesici, ma avevamo bisogno di una sottostruttura che garantisse una durata adeguata per la protesi, mirata a sopravvivere oltre i 15-20 anni della vite utile di un impianto dentale.
L’idea per il definitivo era quella di utilizzare una sottostruttura tipo I-Bar fresata in fibra di vetro Zantex, metal-free, e la parte estetica stampata in materiale definitivo certificato, ridotta solo sulla componente rosa, dove un composito a copertura risulta esteticamente più valido. Anche se i materiali scelti non hanno moduli di elasticità comparabili a metalli o zirconia, è necessario avere controlli lungo il flusso di lavoro e un sistema di validazione finale per incollare i tibase nella barra. Contrariamente a quanto si pensa, materiali "morbidi" possono nascondere i problemi, anche all’occhio esperto di un clinico come Diego. Le tensioni, nascoste, scaricano forze incontrollate sugli impianti, portando a problemi di integrazione delle fixture.

I controlli di verifica lungo il flusso digitale sono permessi dalle procedure di scansione CSS|Strategy, riscansione Re|Scan e validazione De|Bug permessi tramite l’utilizzo del corpo di scansione Scan|Transfer (IPD Dental Group / AbutmentCompatibili.com). La scansione degli ScanBody avviene con una replica forata in prossimità degli impianti della protesi provvisoria (Figura 3). Questa procedura permette di riportare correttamente la posizione degli impianti, la masticazione, la dimensione verticale, la linea mediana e l’estetica per il definitivo (Figura 4).

Il bloccaggio tra protesi forata e Scan|Transfer effettuato con compositi iniettati , eseguito da Diego sul paziente, ottimizza il processo di scansione creando aree facilmente rilevabile dallo scanner intraorale utilizzato, PrimeScan Sirona (Figura 5).


duplicato in cad del provvisorio
Fig. 3
stampato del provvisorio usato come ferula di bloccaggio degli Scan| Transfer
Fig. 4
concetto di CSS| Strategy: creare un percorso facilmente leggibile dagli scanner attraverso il collegamento alle teste degli scanbody
Fig. 5

Dr. Diego Penna: Grazie per l’introduzione eloquente, Giovanni. Ora continuo io con le fasi clinico/operative.

La maggiore difficoltà nella scansione delle arcate intere è la ripetibilità del processo. Piccole differenze, errori, distrazioni o movimenti imprevisti del paziente possono causare errori di deformazione o di posizione. La capacità del paziente di permettere l’accesso alle zone posteriori o di tollerare l’uso dello scanner intraorale può creare difficoltà. Molteplici situazioni possono inserire errori nella scansione. La procedura di ottimizzazione offerta da Scan|Transfer, la CSS|Strategy, consente al clinico di operare con grande sicurezza e fiducia nello strumento scelto.

La CSS|Strategy, propedeutica alla successiva procedura, prevede la solidarizzazione degli ScanBody/Scan|Transfer con la protesi duplicata e forata, riducendo la scansione intraorale al minimo necessario, da canino a canino, continuando l’acquisizione fuori dal cavo orale senza mantenere il paziente in poltrona, procedura di Re|Scan (Figure 6, 7).

La riscansione (Re|Scan) consente di aggiungere aree non acquisite inizialmente o verificare la sovrapposizione delle scansioni. È difficile anche per un operatore esperto individuare le piccole deformazioni dell’intero arco oppure arrivare in zonde inaccessibili per la ridotta capacità del paziente di eseguire un'ampia apertura orale.
Integrata, corretta e validata, la scansione viene inviata con le scansioni accessorie (tessuti, antagonista, buccal bite) al laboratorio. E qui torno a passare la parola, anzi , la penna a Giovanni.


Concetto di Re|Scan: semplificare la scansione permettendo al clinico di aggiungere o corregere aree della scansione fuori dal cavo orale
Fig. 6
Concetto di Re| Scan: semplificare la scansione permettendo al clinico di aggiungere o correggere aree della scansione fuori dal cavo orale
Fig. 7

ODT Giovanni Rossi: Quando le scansioni arrivano al laboratorio, procediamo con due livelli di verifica: ripetiamo la scansione dell’arco per confrontare quelle del clinico con quelle del laboratorio e montiamo sull’arco di bloccaggio degli analoghi in gesso per creare una chiave di precisione (Figure 8, 9 e 10).


Accoppiamento "Only Top" delle librerie sulla scansione importata in cad
Fig. 8
Accoppiamento "Only Top" delle librerie sulla scansione importata in cad
Fig. 9
Concetto di De|Bug: utilizzando la ferula che incorpora gli ScanTransfer si costruisce una chiave in gesso con la posizione degli analoghi da laboratorio
Fig. 10

Le scansioni sono importate in Exocad per lo sviluppo del progetto protesico e per quello del modello stampato (Figure 11, 12). Il progetto protesico viene esportato da Exocad e importato in Blender per la riduzione della parte rosa e la separazione della barra primaria con il protocollo I-Bar (Figure 13, 14 e 15). Il modello viene stampato con la stampante Dental Makers LB4K 2.0 e resinaDental Makers Pro Model e Dental Makers Gum Mask. Gli analoghi a doppia vite garantiscono una posizione corretta. Effettuiamo comunque un check di verifica del modello con l’arco di bloccaggio creato da Diego (Figure 16, 17 e 18).


Passaggi in cad per la costruzione della iBar.
Fig. 11, 12
Separazione della parte estetica da quella di supporto (iBar) in Blander
Fig. 13
Separazione della parte estetica da quella di supporto (iBar) in Blander
Fig. 14, 15
Progettazione, stampa e validazione del modello stampato
Fig. 16
Progettazione, stampa e validazione del modello stampato
Fig. 17
Progettazione stampa e validazione del modello stampato
Fig. 18

La struttura estetica in resina BEGO Triniq viene stampata sempre con la stampante Dental Makers LB4K 2.0. La parte "bianca" viene finita con Shofu lite art e glasata, avendo già caratteristiche estetiche idonee, mentre la parte rosa viene caratterizzata con uno strato in composito Shofu Ceramage (Figure 19, 20 e 21).


Stampa della parte estetica definitiva e caratterizzazione tramite composito
Fig. 19
Stampa della parte estetica definitiva e caratterizzazione tramite composito
Fig. 20, 21

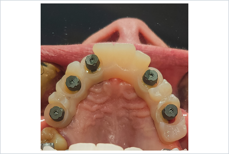
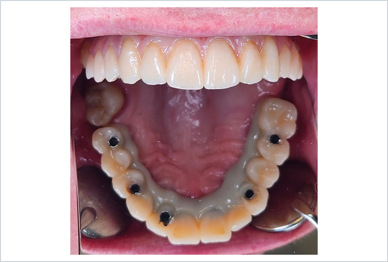
La barra, fresata in materiale metal-free su fresatore a 5 assi, sarà la trave portante della protesi, assemblata e incollata sul modello stampato (Figura 22). L’accoppiamento tra barra e impianti è affidato a TiBase Custom-Interface (IPD Dental Group / AbutmentCompatibili.com). I TiBase sono incollati con OT-Cem (Rhein83) sulla chiave in gesso di validazione finale per garantire la totale passività della struttura sia in laboratorio che sul paziente (Figure 23, 24). La consegna e la validazione finale avvengono con il serraggio della vite più distale e l’osservazione clinica della staticita’ struttura, seguita dal classico check radiologico mirato. (Figure 25, 26 e 27).


Barra fresata in 5 assi, verifica della passività su modello stampato con Tibase
Fig. 22
Barra fresata in 5 assi, verifica della passività su modello stampato con Tibase
Fig. 23
Incollaggio dei TiBase su chiave in gesso master
Fig. 24
Conclusione delle fasi di laboratorio su modello stampato
Fig. 25
Consegna e RX controllo
Fig. 26, 27
Consegna e RX di controllo
Fig. 27

Considerazioni finali

 

Dr. Diego Penna: Da clinico, ritengo che non possiamo e non dobbiamo radicalizzare il concetto di flussi digitali. Il digitale non è una fede ma un modo per ottenere di più, a un costo economico e temporale inferiore, con ripetibilità e maggiore comunicazione con il paziente. Qualsiasi strumento, analogico, digitale o ibrido, che mi permette di ottenere di più e in minor tempo, è apprezzabile.
Ottenere dei sistemi di verifica indipendenti, ottimizzare i flussi esaltando le già buonissime caratteristiche dei nostri scanner intraorali e permettendo di integrare e confrontare più scansioni sono procedure che un protesista non può più ignorare o far finta che non esistano solo perché non sono presenti nel catalogo ufficiale di una azienda che produce impianti dentali. Oggi vedo in Scan|Transfer e nelle procedure CSS|Strategy, Re|Scan e De|Bug un innegabile aiuto per clinici esperti e inesperti. Ottenere sistemi di verifica indipendenti, ottimizzare i flussi e migliorare le caratteristiche dei nostri scanner intraorali sono procedure indispensabili.

ODT Giovanni Rossi: Da odontotecnico, cerco sempre il prodotto che mi crea meno problemi con il miglior risultato, cerco il protocollo che mi permette di consegnare un lavoro senza doverci rimettere mano, cerco prodotti che mi consentano di utilizzare tecnologie predicibili per la realizzazione dei dispositivi protesici. I componenti protesici non originali sono una realtà che dobbiamo guardare con fiducia e interesse, senza pregiudizi, per le soluzioni innovative e la rassicuranti semplificazione dei flussi che apportano all’odontoiatria.

 

Video correlati
Non ci sono video associati a questo articolo.