Peptidi biomimetici: la tecnologia alla base di CURODONT™ REPAIR
Questa nuova metodologia si basa sull'utilizzo di una matrice peptidica biomimetica, capace di guidare selettivamente la mineralizzazione attraverso l’attrazione di ioni calcio e fosfato, replicando in modo naturale i processi biologici di formazione di idrossiapatite. Tra i peptidi auto-assemblanti, il peptide P11-4 si trova attualmente disponibile all’uso nella pratica clinica.
Questo peptide ha dimostrato una capacità unica di auto-organizzarsi in condizioni di pH acido e alta concentrazione ionica1. In queste condizioni, il P11-4 forma una matrice tridimensionale (Self-Assembling Peptide Matrix)2, che funge da impalcatura molecolare per la deposizione e la formazione di cristalli di idrossiapatite, il principale minerale dello smalto dentale. Studi spettroscopici e microscopici hanno confermato che la matrice peptidica si lega agli ioni calcio e fosfato, sia quando provenienti dalla saliva che se presenti nei cristalli di idrossiapatite dello smalto residuo, stabilizzando la struttura e promuovendo una rigenerazione ordinata e controllata3-10.
Questo processo, noto come Rigenerazione Biomimetica Guidata dello Smalto (Guided Enamel Regeneration), si ispira all’amelogenesi naturale, il processo attraverso il quale si forma lo smalto dentale durante lo sviluppo.
La tecnologia peptidica nella pratica clinica
Tecniche avanzate di analisi, come fluorescenza laser, radiografie bite-wing e valutazioni morfometriche, hanno dimostrato un tasso di successo tra l’80% e il 100% nell’arrestare la progressione delle lesioni cariose e favorire la rigenerazione dello smalto nel 40% dei casi5. Questo approccio si è rivelato più efficace rispetto all’utilizzo delle tradizionali vernici al fluoro, grazie alla capacità del P11-4 di penetrare fino alla profondità della lesione e di innescare un processo di remineralizzazione naturale.
Il peptide è ben tollerato dai pazienti, non invasivo e si integra facilmente nelle pratiche cliniche esistenti.

Applicazione clinica di CURODONT™ REPAIR
Il primo passo consiste nell'individuare le lesioni cariose iniziali mediante strumenti diagnostici, come l’esame clinico, radiografie bite-wing, transilluminazione e fluorescenza laser. Le lesioni trattabili con CURODONT™ REPAIR sono le lesioni cariose non cavitate (white spot) che possono trovarsi nelle zone interprossimali, occlusali, su superfici lisce o spesso intorno a bracket ortodontici.
Prima dell’applicazione, è fondamentale detergere accuratamente la superficie dentale al fine di rimuovere la pellicola acquisita mediante ipoclorito di sodio al 2% per 20 secondi e quindi risciacquare e asciugare (Fig. 1). Successivamente è necessario rimuovere eventuali depositi inorganici, mordenzando con Acido Ortofosforico al 35-37% per 20 secondi. Una volta terminato, aspirare e risciacquare (Fig. 2).
Per attivare l’applicatore di CURODONT™ REPAIR, premere la spugna dentro il cilindretto contenente del liquido, così che questo venga assorbito dalla spugna andando ad umettare il peptide in essa contenuto.
Fig. 1 - Rimozione della pellicola organica acquisita con Ipoclorito di sodio al 2% (Da: G. Sammarco. Cariologia Clinica. Quintessence publishing Italia, 2025).
Fig. 2 - Mordenzatura con Acido Ortofosforico al 35-37% (Da: G. Sammarco. Cariologia Clinica. Quintessence publishing Italia, 2025).
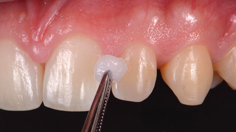
Per applicare il prodotto sulla lesione, isolare l’elemento da trattare con dei semplici rulli di cotone (non è richiesto l’utilizzo della diga di gomma) e distribuire il prodotto uniformemente sulla lesione, premendo bene la spugnetta in modo da far uscire il liquido, anche esercitando una pressione sull’applicatore mediante uno strumento quale una spatola di Heideman (Fig. 3). Grazie alla sua capacità di penetrare nelle microporosità e alla sua elevata affinità per l’idrossiapatite, il peptide riesce a raggiungere i siti danneggiati all'interno dello smalto demineralizzato fino alla profondità della lesione. Così, nel caso di lesioni cariose iniziali prossimali, è sufficiente premere la spugna dal lato buccale e linguale della zona prossimale. Poi, lasciare agire per circa 5 minuti la soluzione, al fine di permettere al peptide di auto-assemblarsi e formare la matrice peptidica che guiderà la remineralizzazione. Al termine del periodo di posa, il paziente può essere dimesso con la raccomandazione di non bere e non mangiare per circa 30 minuti.
Fig. 3 - Applicazione di CURODONT™ REPAIR (Da: G. Sammarco. Cariologia Clinica. Quintessence publishing Italia, 2025).
Mantenimento e follow up
Al paziente può essere consegnato CURODONT™ PROTECT (Fig. 4): un gel remineralizzante da applicare sull’area trattata 2 volte a settimana fino ad esaurimento del tubetto. La rimozione quotidiana del biofilm batterico e l’utilizzo di dentifrici contenenti fluoro sono raccomandati per mantenere i risultati ottenuti.
Fig. 4 - CURODONT™ PROTECT
Risultati tangibili con CURODONT™ REPAIR
CASO CLINICO 1 - White spots post-ortodontiche su superfici vestibolari
Durante l’esame di routine in un paziente di 25 anni (sottoposto a terapia ortodontica fissa tra gli 11 e 15 anni) vengono rilevate delle ipomineralizzazioni, che si presentano come white spots post-ortodontiche, sugli elementi 21 e 22 (Fig. 5).
Le lesioni sono state trattate in clinica con una singola applicazione di CURODONT™ REPAIR. Al trattamento seguono le istruzioni di igiene ed al paziente viene consegnato un tubetto di CURODONT™ PROTECT da applicare a casa, in piccola quantità, due volte alla settimana sull’area trattata prima del sonno. Sedici mesi dopo il trattamento, alla visita di follow-up, si osserva che clinicamente le white spots non sono più visibili (Fig. 6).
Fig. 5 - White spots postortodontiche, elementi 21 e 22 prima dell’applicazione di CURODONT™ REPAIR (Da: G. Sammarco. Cariologia Clinica. Quintessence publishing Italia, 2025).
Fig. 6 - Elementi 21 e 22 a distanza di 16 mesi dall’applicazione di CURDONT™ REPAIR (Da: G. Sammarco. Cariologia Clinica. Quintessence publishing Italia, 2025).
CASO CLINICO 2 - Lesione cariosa iniziale prossimale adiacente ad un intervento restaurativo di seconda classe.
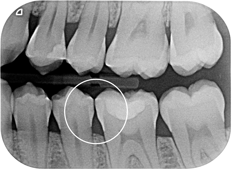
In una paziente di 30 anni, durante un esame radiografico di routine viene rilevata una lesione cariosa interprossimale cavitata sul 36 mesiale ed una lesione cariosa interprossimale non cavitata sul 35 distale coinvolgente radiologicamante la metà interna dello smalto (E2, Fig. 7 e Fig. 8).
In fase di trattamento restaurativo del 36 mesiale, la paziente viene trattata con una singola applicazione di CURODONT™ REPAIR sul 35 distale. Una volta concluso il trattamento, alla paziente vengono fornite le istruzioni di igiene orale di routine e le viene consegnato un tubetto di CURODONT™ PROTECT (Fig. 9). Sei mesi dopo il trattamento, alla visita di follow-up, si osserva radiologicamente la regressione della lesione.
Fig. 7 - Immagine radiografica prima dell’applicazione, lesione cariosa interprossimale cavitata
sul 36 mesiale e non cavitata sul 35 distale.
Fig. 8 - Immagine della lesione prima dell’applicazione di CURODONT™ REPAIR.
Fig. 9 - Immagine radiografica a distanza di 6 mesi dall’applicazione di CURODONT™ REPAIR.
Bibliografia
1. Aggeli et al. JACS 2003.
2. Brunton et al. British Dental Journal, 2013.
3. Skeie et al. BMC Oral Health 2022.
4. Jacobsen ID et al. Eur Arch Paediatr Dent 2019.
5. Godenzi D et al. J Am Dent Assoc. 2023.
6. Bröseler F et al. Clin Oral Investig 2020.
7. Welk A et al. Sci Rep 2020.
8. Alkilzy M et al. J Dent Res 2018.
9. Doberdoli D et al. Sci Rep 2020.
10. Kind L et al. J Dent Res 2017.