L’adozione dei device diventa più semplice grazie all’aiuto dei software di ultima generazione
Oggi l’odontoiatria si confronta con pazienti sempre più esigenti e prevede prestazioni sanitarie sempre più complesse. Per questo, oggi più che mai, è fondamentale che le aziende sviluppino nuove tecnologie, evolute, pratiche e performanti, per il nostro settore.
Ma le nuove tecnologie portano con sé un elevato livello di know-how da apprendere. Questo processo di apprendimento richiede ovviamente tempo e manualità, e questo spesso rallenta l’introduzione di una nuova tecnologia nella pratica quotidiana. L’industria informatica ha, quindi, investito per sviluppare software dalle alte performance e al tempo stesso semplici, in modo da agevolare l’introduzione dei nuovi device.
Il risultato di questi investimenti sono moderni software che, sfruttando una rete neurale artificiale, eseguono le operazioni richieste in aiuto del clinico. Una rete neurale, infatti, è in grado di simulare le interazioni a livello celebrale tra neuroni, dendriti e assoni, quindi l’interscambio di informazioni che avviene tra di essi, e di individuare le molteplici possibilità di soluzione ad uno stesso problema.
Ma come fa un programmatore ad insegnare e a trasmettere la propria conoscenza a un software? In una prima fase, quella denominata apprendimento, la rete neurale rimane “in ascolto” e osserva l’operazione eseguita da un tecnico esperto cercando di capire le variabili caso per caso. Questa fase, di durata variabile a seconda della complessità dell’operazione, normalmente viene eseguita da più tecnici esperti, in modo da poter insegnare al software il differente metodo di approccio allo stesso problema.
Creata molta casistica, la rete neurale entra poi nella seconda fase, denominata conoscenza, nella quale inizia di sua iniziativa a eseguire l’operazione a lei insegnata in precedenza e, se esegue errori, viene corretta dai tecnici. Quando la rete neurale non commette più errori passa nella terza fase, denominata consapevolezza, nella quale oltre a eseguire le operazioni inizia a suggerire al software delle variazioni al metodo, mettendo a disposizione degli sviluppatori le sue analisi e le sue considerazioni.
Questo sistema di sviluppo altamente evoluto, inserito nella visione olistica di Dürr Dental, si traduce in una serie di innovazioni tecnologie al servizio dell’odontoiatra. La telecamera VistaCam iX HD Smart permette di conoscere il livello di penetrazione della carie sotto lo smalto e di rilevare le carie interprossimali senza eseguire Rx. La funzione di rotazione automatica delle endorali acquisite tramite scanner della linea VistaScan evita all’operatore di dover rimuovere i guanti e interagire con mouse, eliminando il rischio di contaminazioni crociate.


Il software per analisi cefalometriche VistaSoft Trace esegue in piena autonomia il posizionamento dei punti cefalometrici, rendendo semplice e ripetibile l’esecuzione del tracciato e l’analisi dei problemi dento-scheletrici del paziente.

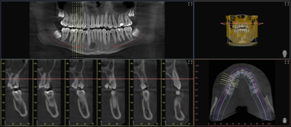
Il software VistaSoft, in sinergia con la CBCT VistaVox S, appena eseguito un esame volumetrico, ricostruisce una vista Panorex perfettamente a fuoco su due linee distinte, una per le radici e le corone, e l’altra per il profilo osseo (esclusiva Dürr Dental), permettendo al clinico di analizzare subito la corretta visualizzazione del caso. Inoltre, sempre tramite l’algoritmo della rete neurale, traccia il decorso del nervo alveolare inferiore, con un livello di precisione superiore al 98%. Al clinico non resta che verificare l’operato dell’intelligenza artificiale e dedicare il suo prezioso tempo all’analisi del caso e alla risoluzione del quesito diagnostico.


E cosa ci riserverà il team di sviluppo di Dürr Dental nel prossimo futuro? Sicuramente altre innovative applicazioni per rendere i device tecnologici sempre più semplici, pratici e accessibili, veramente complementari del lavoro quotidiano degli studi dentistici.
GUARDA LA VIDEO INTERVISTA AD EXPODENTAL 2022
GUARDA LA PLAYLIST DEL CANALE YOUTUBE DÜRR DENTAL