DEXIS presenta l'ultima versione di DTX Studio™ Clinic
DTX Studio Clinic
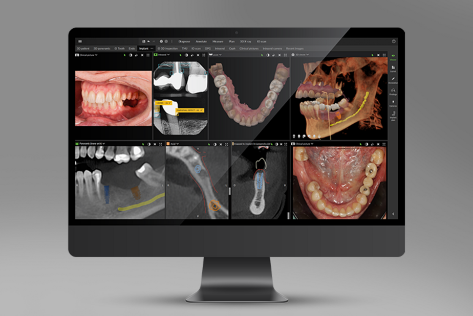
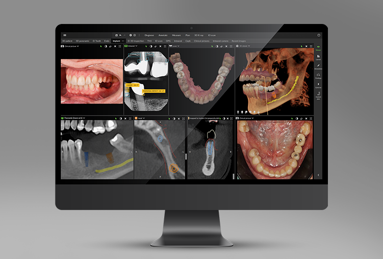
DTX Studio Clinic include funzionalità di Intelligenza Assistita (IA) per un flusso di lavoro digitale ottimizzato

 

DEXIS, una tra le principali aziende del mondo nel campo dell’innovazione delle tecnologie digitali di imaging per il settore dentale, rende disponibili nuove funzionalità di Intelligenza Assistita (IA) nell'ultima versione del suo premiato software DTX Studio Clinic.

Questa nuova release, grazie all’Intelligenza Assistita di cui è provvista, è in grado di effettuare una “scansione” delle immagini radiografiche acquisite e di riconoscere le aree di interesse diagnostico, aiutando pertanto l’odontoiatra a prendere decisioni con maggiore consapevolezza. Grazie a queste nuove funzionalità, i medici potranno illustrare ai propri pazienti la diagnosi effettuata e il piano di trattamento conseguente in modo più comprensibile, alimentandone la fiducia e ottimizzando, allo stesso tempo, l’efficienza dello Studio.

Con il rilascio dell'ultima versione di DTX Studio Clinic, la funzionalità MagicSort porta l’Intelligenza Assistita a nuovi livelli, grazie al riconoscimento, alla messa in ordine e al posizionamento delle immagini all’interno della videata; inoltre, non solo le immagini 2D ma anche quelle fotografiche saranno ora automaticamente orientate in modo corretto. Questa funzione semplifica notevolmente l’organizzazione, facilita la visualizzazione e il confronto e riduce i passaggi manuali richiesti all’operatore, permettendo di risparmiare tempo e sforzi da dedicare invece alla diagnosi e alla programmazione del trattamento.

Un’altra novità è rappresentata da SmartFusionTM, funzionalità che permette al clinico di vedere sovrapposti i dati provenienti dalla presa di una impronta ottica con i dati provenienti da una scansione CBCT, per disporre di una visualizzazione 3D altamente dettagliata e accurata dell’anatomia del paziente. 

Oltre alle funzioni descritte, la nuova versione di DTX Studio Clinic include altre funzionalità di IA ottimizzate. Una delle più entusiasmanti è il tracciamento automatico del canale del nervo mandibolare in un’immagine CBCT. Il tracciamento manuale del canale del nervo solitamente richiede uno sforzo considerevole, e gli strumenti standard non sono sempre in grado di identificare il canale in modo appropriato. L’IA di cui è dotato DTX Studio Clinic aiuta a rilevare il canale del nervo mandibolare in questa fase cruciale del trattamento, facendo risparmiare tempo al clinico ed aumentando notevolmente la sicurezza del paziente durante le procedure complesse.

Queste continue ottimizzazioni hanno consentito a DTX Studio Clinic di ricevere per due anni di fila il riconoscimento all’Innovazione Tecnologica chiamato “Cellerant Best of Class Technology Award”, nonché numerosi elogi da parte degli utilizzatori. 

"DEXIS è impegnata a facilitare l’adozione delle applicazioni odontoiatriche digitali negli Studi, per migliorare l’efficienza e i risultati per i pazienti", sostiene JC Kyrillos, SVP e Presidente della Divisione per le Soluzioni di diagnostica e digitali. "Con il rilascio sul mercato della nuova versione di DTX Studio Clinic, dotata di funzionalità di IA incorporate e ottimizzate gli odontoiatri dispongono ora di una soluzione su misura per il loro flusso di lavoro digitale, dalla diagnosi alla programmazione del trattamento e all’erogazione delle cure."


Scopri di più 

 

Materiale informativo
Non ci sono materiali per questa news.
Video
Non ci sono video per questa news.
A cura di
DEXIS
Viale Monza, 347
Milano (MI)
T. E. ordini.clienti@dexis.com, helpdeskitalia@dexis.com W. https://dexis.com